Suppr超能文献

程序性细胞死亡蛋白 4 特异性 siRNA 通过脑靶向递送至保护小鼠免受 CRS 诱导的抑郁行为。

The brain targeted delivery of programmed cell death 4 specific siRNA protects mice from CRS-induced depressive behavior.

机构信息

Shandong Key Laboratory of Infection and Immunity, Department of Immunology, School of Basic Medical Sciences, Shandong University, 250012, Jinan, Shandong, China.

Department of Pathogenic Biology, School of Basic Medical Science, Shandong University, 250012, Jinan, Shandong, China.

出版信息

Cell Death Dis. 2021 Nov 12;12(11):1077. doi: 10.1038/s41419-021-04361-9.

Abstract

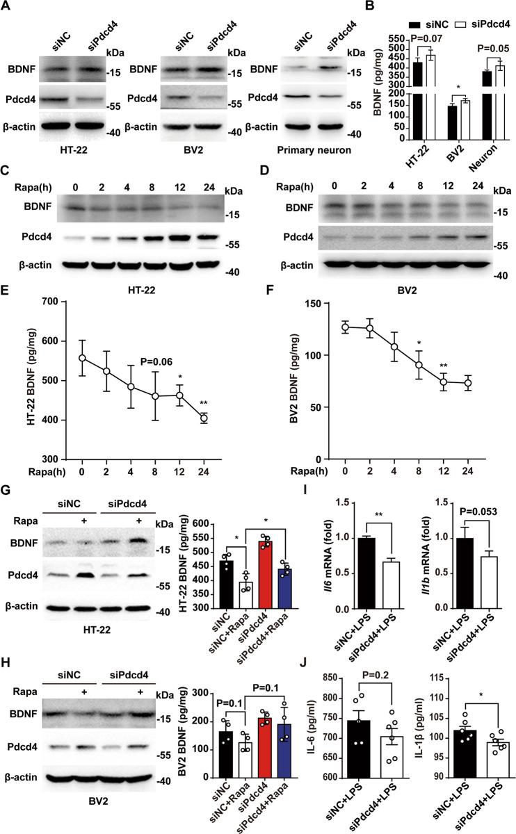
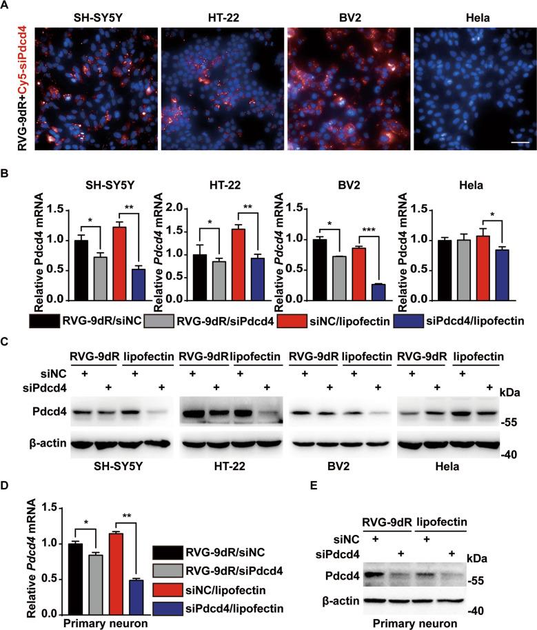
Depression is one of the most common psychiatric disorders. Recently, studies demonstrate that antidepressants generating BDNF not only maintain synaptic signal transmission but also repress neuroinflammatory cytokines such as IL-6 and IL-1β. Therefore, promoting BDNF expression provides a strategy for the treatment of depression. Our recent research has indicated that programmed cell death 4 (Pdcd4) is a new target for antidepressant treatment by facilitating BDNF. Herein, we modified Pdcd4 specific small interfering RNA (siPdcd4) with the rabies virus glycoprotein peptide (RVG/siPdcd4) which enables it cross the blood-brain barrier (BBB). We found that RVG/siPdcd4 complex was selectively delivered to neurons and microglia and silenced the expression of Pdcd4, thereby up-regulating the level of BDNF and down-regulating IL-6 and IL-1β expression. More importantly, RVG/siPdcd4 injection attenuated synaptic plasticity impairment and protected mice from CRS-induced depressive behavior. These findings suggest that RVG/siPdcd4 complex is a potential therapeutic medicine for depression.

摘要

抑郁症是最常见的精神障碍之一。最近的研究表明,产生脑源性神经营养因子 (BDNF) 的抗抑郁药不仅能维持突触信号传递,还能抑制白细胞介素-6 (IL-6) 和白细胞介素-1β (IL-1β) 等神经炎性细胞因子。因此,促进 BDNF 的表达为治疗抑郁症提供了一种策略。我们最近的研究表明,程序性细胞死亡因子 4 (Pdcd4) 通过促进 BDNF 的表达成为一种新的抗抑郁治疗靶点。在此,我们用狂犬病毒糖蛋白肽 (RVG/siPdcd4) 修饰了 Pdcd4 特异性小干扰 RNA (siPdcd4),使其能够穿过血脑屏障 (BBB)。我们发现 RVG/siPdcd4 复合物被选择性递送至神经元和小胶质细胞,并沉默了 Pdcd4 的表达,从而上调了 BDNF 的水平,并下调了 IL-6 和 IL-1β 的表达。更重要的是,RVG/siPdcd4 注射减轻了突触可塑性损伤,并保护了 CRS 诱导的抑郁行为的小鼠。这些发现表明,RVG/siPdcd4 复合物是一种治疗抑郁症的潜在治疗药物。

https://cdn.ncbi.nlm.nih.gov/pmc/blobs/c3b9/8590023/ea44dd2bffa0/41419_2021_4361_Fig1_HTML.jpg

文献AI研究员

20分钟写一篇综述,助力文献阅读效率提升50倍。

立即体验

用中文搜PubMed

大模型驱动的PubMed中文搜索引擎

马上搜索

文档翻译

学术文献翻译模型,支持多种主流文档格式。

立即体验