Suppr超能文献

1例von Hippel-Lindau病合并肾细胞癌患者,采用术前及术后阿昔替尼治疗的部分肾切除术进行治疗。

A case of von Hippel-Lindau disease with renal cell carcinoma treated by partial nephrectomy with pre- and post-surgical axitinib therapy.

作者信息

Akioka Takahiro, Terada Naoki, Takamori Hiroki, Kamimura Toshio, Mukai Shoichiro, Kamoto Toshiyuki

机构信息

Department of Urology, Miyazaki University, Miyazaki, Japan.

出版信息

Urol Case Rep. 2021 Oct 30;40:101925. doi: 10.1016/j.eucr.2021.101925. eCollection 2022 Jan.

Abstract

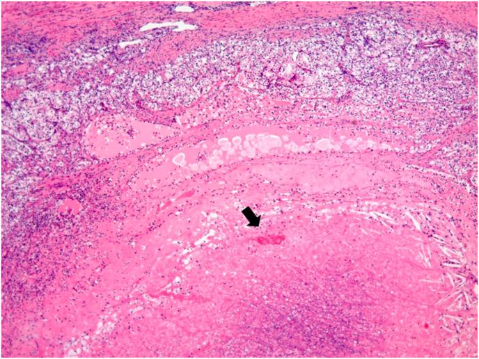
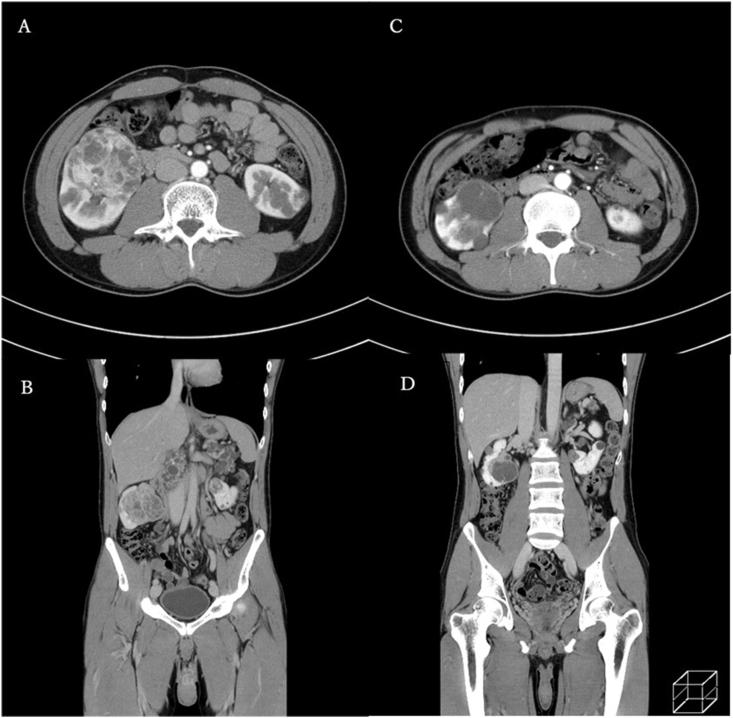
von Hippel-Lindau (VHL) disease is an autosomal dominant hereditary disease with benign and malignant tumors occurring in various organs including the kidneys. In patients with renal cell carcinoma (RCC) lesions in both kidneys, it is difficult to determine the treatment strategy. We report a case of VHL disease with RCC treated via partial nephrectomy after 6 months of axitinib therapy. Then, the patient continued to receive low-dose axitinib therapy without any signs of tumor progression for 3 years after surgery. Axitinib combined with surgery might be a treatment option for patients with VHL disease harboring bilateral RCC.

摘要

希佩尔-林道(VHL)病是一种常染色体显性遗传病,在包括肾脏在内的多个器官中会出现良性和恶性肿瘤。对于双侧肾脏均有肾细胞癌(RCC)病变的患者,很难确定治疗策略。我们报告了1例VHL病合并RCC的患者,在接受阿昔替尼治疗6个月后行部分肾切除术。术后,患者继续接受低剂量阿昔替尼治疗,术后3年无任何肿瘤进展迹象。阿昔替尼联合手术可能是治疗双侧RCC的VHL病患者的一种治疗选择。

https://cdn.ncbi.nlm.nih.gov/pmc/blobs/46b5/8579142/97da59627e20/gr1.jpg

文献检索

告别复杂PubMed语法,用中文像聊天一样搜索,搜遍4000万医学文献。AI智能推荐,让科研检索更轻松。

立即免费搜索

文件翻译

保留排版,准确专业,支持PDF/Word/PPT等文件格式,支持 12+语言互译。

免费翻译文档

深度研究

AI帮你快速写综述,25分钟生成高质量综述,智能提取关键信息,辅助科研写作。

立即免费体验