Suppr超能文献

妊娠小鼠子宫平滑肌中体积调节阴离子通道的表达和功能维持。

Expression and functional maintenance of volume-regulated anion channels in myometrial smooth muscles of pregnant mice.

机构信息

Department of Obstetrics and Gynecology, Shiga University of Medical Science, Setatsukinowa-cho, Otsu-shi, Shiga, 520-2192, Japan.

Department of Physiology, Shiga University of Medical Science, Setatsukinowa-cho, Otsu-shi, Shiga 520-2192, Japan.

出版信息

Exp Anim. 2022 May 20;71(2):123-130. doi: 10.1538/expanim.21-0111. Epub 2021 Nov 16.

Abstract

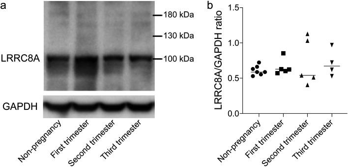
Pregnancy causes changes in the uterus, such as increased cell volume and altered water content. However, the mechanisms that protect the structure and maintain the function of uterine smooth muscle cells against these changes during pregnancy have not been clarified. This study focused on the volume-regulated anion channel (VRAC), which opens with cell swelling under low osmotic pressure and releases Cl ions and various organic osmolytes to resist cell swelling and regulates a wide range of biological processes such as cell death. In this study, myometrial smooth muscle (MSM) tissues and cells (MSMCs) were collected from non-pregnant and pregnant mice. Using western blotting and immunocytochemistry, leucine-rich repeat containing protein 8A (LRRC8A), an essential membrane protein that constitutes part of the VRAC, was determined to be diffused throughout MSMCs including in the cell membrane. Patch-clamp experiments were performed to investigate the electrophysiology of swelling-induced Cl currents (I) mediated by the VRAC. No significant changes between non-pregnancy and pregnancy groups were observed in either the expression density of LRRC8A or the current density of I, however the presence of LRRC8A on the cell membrane was significantly increased in the third trimester of pregnancy compared to the non-pregnancy. This study suggests that the VRAC may play a role, such as maintaining cellular homeostasis in the pregnant MSM.

摘要

妊娠导致子宫发生变化,如细胞体积增加和含水量改变。然而,在妊娠期间保护子宫平滑肌细胞结构和功能的机制仍不清楚。本研究集中于体积调节阴离子通道(VRAC),在低渗透压下细胞肿胀时开放,并释放 Cl 离子和各种有机渗透物以抵抗细胞肿胀,调节广泛的生物学过程,如细胞死亡。在这项研究中,从非妊娠和妊娠小鼠中收集了子宫平滑肌(MSM)组织和细胞(MSMCs)。通过 Western blot 和免疫细胞化学,确定富含亮氨酸重复蛋白 8A(LRRC8A)是构成 VRAC 一部分的必需膜蛋白,它弥散于 MSMCs 中,包括细胞膜。进行膜片钳实验以研究 VRAC 介导的肿胀诱导的 Cl 电流(I)的电生理学。在 LRRC8A 的表达密度或 I 的电流密度方面,非妊娠组和妊娠组之间没有观察到显著变化,然而,与非妊娠相比,妊娠晚期 LRRC8A 存在于细胞膜上的数量明显增加。本研究表明,VRAC 可能在妊娠 MSM 中发挥作用,例如维持细胞内稳态。

https://cdn.ncbi.nlm.nih.gov/pmc/blobs/575c/9130036/13667098d6b0/expanim-71-123-g001.jpg

文献AI研究员

20分钟写一篇综述,助力文献阅读效率提升50倍。

立即体验

用中文搜PubMed

大模型驱动的PubMed中文搜索引擎

马上搜索

文档翻译

学术文献翻译模型,支持多种主流文档格式。

立即体验