Suppr超能文献

大鼠肝细胞胆小管区域特异性膜糖蛋白的cDNA克隆

cDNA cloning for a bile canaliculus domain-specific membrane glycoprotein of rat hepatocytes.

作者信息

Hong W, Doyle D

机构信息

Department of Biological Sciences, State University of New York, Buffalo 14260.

出版信息

Proc Natl Acad Sci U S A. 1987 Nov;84(22):7962-6. doi: 10.1073/pnas.84.22.7962.

Abstract

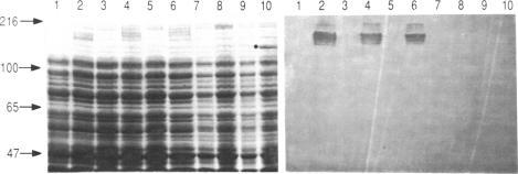
Hepatocytes are polarized cells with distinct sinusoidal, bile canalicular, and basolateral plasma membrane domains. Each domain contains proteins that are specific for it. We have isolated three cDNA clones encoding a rat liver bile canaliculus domain-specific glycoprotein with Mr 110,000 (gp110) by immunologically screening a rat kidney lambda gt11 cDNA library with a rabbit polyclonal antiserum directed against purified gp110. The authenticity of these clones was verified as follows. (i) The antiserum recognizes specifically isopropyl beta-D-thiogalactoside-induced fusion proteins on electrophoretic transfer blots of total lysogen lysates containing these cDNA clones. (ii) Antibodies epitope-selected by these clones are able to interact with gp110 on electrophoretic transfer blots. (iii) The amino acid sequencing derived from the DNA sequence was confirmed by amino acid sequencing of a tryptic peptide of gp110. Rescreening of the same library with the cDNA clones identified a full-length cDNA clone for this glycoprotein. Sequence analysis indicates that the N-linked carbohydrate chains are concentrated on the N-terminal part of this highly glycosylated protein.

摘要

肝细胞是具有独特的窦状、胆小管和基底外侧质膜结构域的极化细胞。每个结构域都含有特定于它的蛋白质。我们通过用针对纯化的 gp110 的兔多克隆抗血清对大鼠肾脏 λgt11 cDNA 文库进行免疫筛选,分离出了三个编码大鼠肝脏胆小管结构域特异性糖蛋白(Mr 110,000,gp110)的 cDNA 克隆。这些克隆的真实性通过以下方式得到验证。(i)该抗血清在含有这些 cDNA 克隆的总溶源菌裂解物的电泳转移印迹上特异性识别异丙基 β-D-硫代半乳糖苷诱导的融合蛋白。(ii)由这些克隆进行表位选择的抗体能够在电泳转移印迹上与 gp110 相互作用。(iii)从 DNA 序列推导的氨基酸序列通过对 gp110 的胰蛋白酶肽段进行氨基酸测序得到证实。用这些 cDNA 克隆对同一文库进行再次筛选,鉴定出了该糖蛋白的一个全长 cDNA 克隆。序列分析表明,N-连接的糖链集中在这种高度糖基化蛋白质的 N 末端部分。

https://cdn.ncbi.nlm.nih.gov/pmc/blobs/9d1e/299456/7b10e546bb10/pnas00337-0172-a.jpg

文献检索

告别复杂PubMed语法,用中文像聊天一样搜索,搜遍4000万医学文献。AI智能推荐,让科研检索更轻松。

立即免费搜索

文件翻译

保留排版,准确专业,支持PDF/Word/PPT等文件格式,支持 12+语言互译。

免费翻译文档

深度研究

AI帮你快速写综述,25分钟生成高质量综述,智能提取关键信息,辅助科研写作。

立即免费体验