Suppr超能文献

piRNA-63049 通过 Wnt/β-catenin 信号通路抑制骨形成。

PiRNA-63049 inhibits bone formation through Wnt/β-catenin signaling pathway.

机构信息

Department of Spine Surgery, the Second Clinical Medical College, Jinan University (Shenzhen People's Hospital), Shenzhen Key Laboratory of Musculoskeletal Tissue Reconstruction and Function Restoration, Shenzhen 518020, China.

The First Affiliated Hospital, Jinan University, Guangzhou 510630, China.

出版信息

Int J Biol Sci. 2021 Oct 25;17(15):4409-4425. doi: 10.7150/ijbs.64533. eCollection 2021.

Abstract

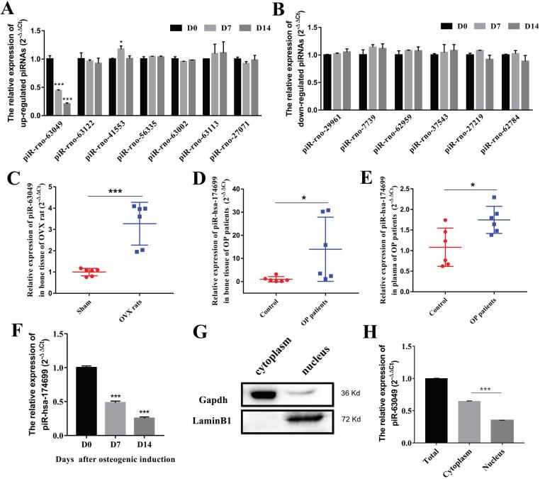
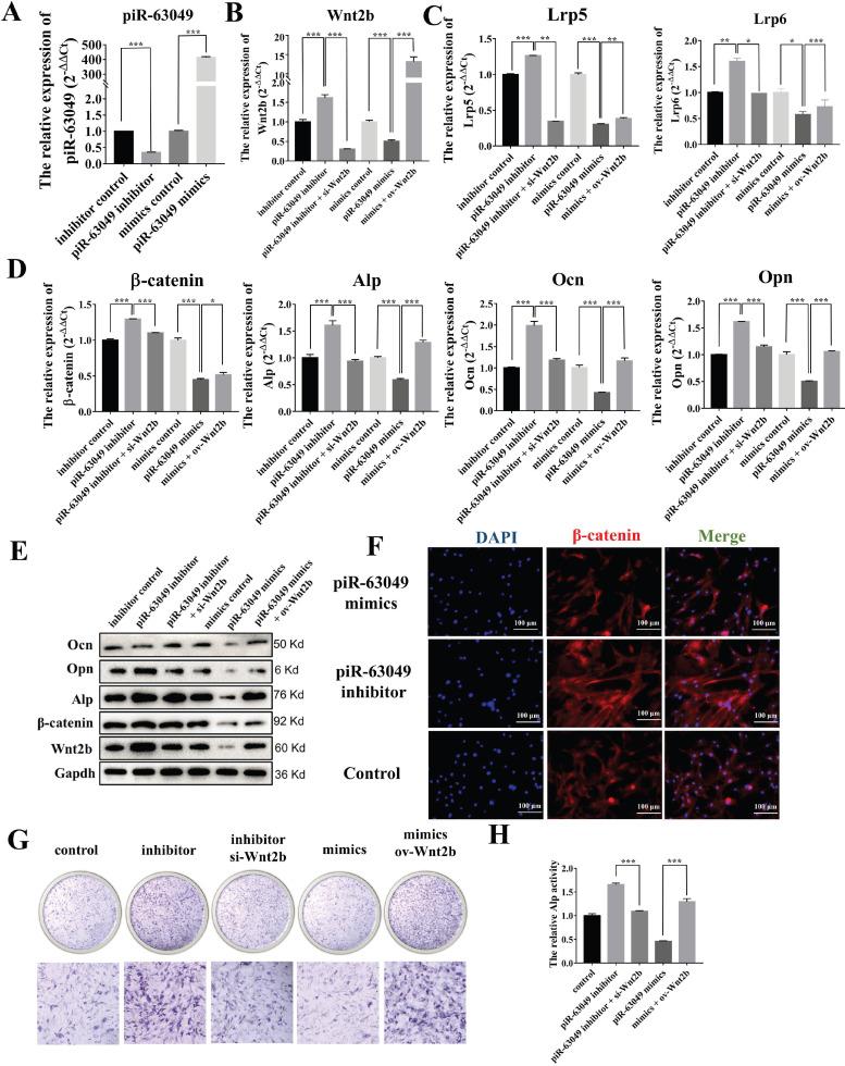
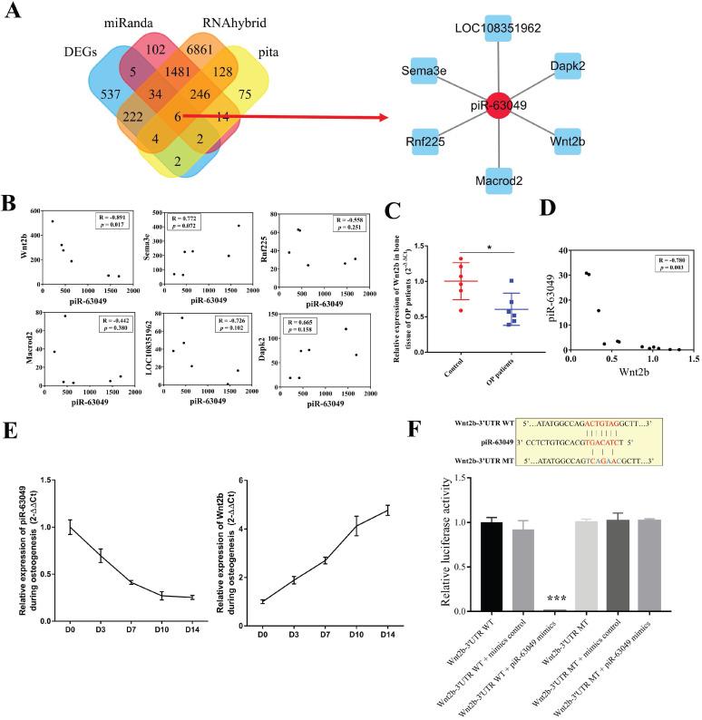
Bone remodeling is a dynamic process between bone formation mediated by osteoblasts and bone resorption mediated by osteoclasts. Disrupted bone remodeling is a key factor in postmenopausal osteoporosis, a metabolic disorder characterized by deteriorated bone microarchitecture and increased risk of fracture. Recent studies have shown that piwi-binding RNA (piRNA) is involved in the pathogenesis of certain diseases at the post-transcriptional level. Here, we analyzed piRNA-63049 (piR-63049), which may play an essential role in bone remodeling. The expression of piR-63049 significantly increased in both bone tissues and plasma of osteoporotic rats and postmenopausal osteoporotic patients. Overexpressing piR-63049 could inhibit the osteoblastogenesis of bone marrow stromal cells (BMSCs) while knocking down piR-63049 could promote the osteoblastogenesis of BMSCs through the Wnt2b/β-catenin signaling pathway. Moreover, knocking-down piR-63049 (piR-63049-antagonist) could attenuate the bone loss in ovariectomized rats by promoting bone formation. Taken together, the current study shows that piR-63049 inhibits bone formation through Wnt2b/β-catenin signaling pathway. This novel piRNA may be a potential target to increase bone formation in bone loss disorders such as postmenopausal osteoporosis.

摘要

骨重建是成骨细胞介导的骨形成和破骨细胞介导的骨吸收之间的动态过程。骨重建紊乱是绝经后骨质疏松症的一个关键因素,绝经后骨质疏松症是一种以骨微观结构恶化和骨折风险增加为特征的代谢紊乱。最近的研究表明,piwi 结合 RNA(piRNA)在某些疾病的转录后水平参与发病机制。在这里,我们分析了 piwi 结合 RNA-63049(piR-63049),它可能在骨重建中发挥重要作用。骨质疏松症大鼠的骨组织和血浆中,piR-63049 的表达明显增加,绝经后骨质疏松症患者也是如此。过表达 piR-63049 可抑制骨髓基质细胞(BMSCs)的成骨作用,而敲低 piR-63049 可通过 Wnt2b/β-catenin 信号通路促进 BMSCs 的成骨作用。此外,敲低 piR-63049(piR-63049 拮抗剂)可通过促进骨形成来减轻去卵巢大鼠的骨丢失。总之,本研究表明 piR-63049 通过 Wnt2b/β-catenin 信号通路抑制骨形成。这种新的 piRNA 可能是增加骨丢失疾病(如绝经后骨质疏松症)中骨形成的潜在靶点。

https://cdn.ncbi.nlm.nih.gov/pmc/blobs/8d31/8579447/6f06fcd66220/ijbsv17p4409g001.jpg

文献AI研究员

20分钟写一篇综述,助力文献阅读效率提升50倍。

立即体验

用中文搜PubMed

大模型驱动的PubMed中文搜索引擎

马上搜索

文档翻译

学术文献翻译模型,支持多种主流文档格式。

立即体验