Landeiro Luis, Oliveira Renato, Graça Joana, Gouveia Raquel
Internal Medicine, Hospital da Luz Lisboa, Lisboa, PRT.
Neurology, Hospital da Luz Lisboa, Lisboa, PRT.
Cureus. 2021 Oct 18;13(10):e18869. doi: 10.7759/cureus.18869. eCollection 2021 Oct.
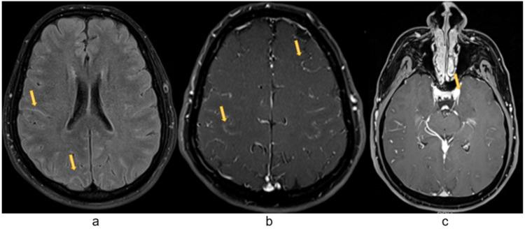
Syphilis is potentially a multisystem chronic infection caused by . Late symptomatic neurosyphilis has been less reported in developed countries, most often seen in untreated patients or in patients with HIV coinfection. We present a case of complicated neurosyphilis with widespread neurological involvement (dementia paralytica, tabes dorsalis, leptomeningitis and left oculomotor nerve involvement) presenting in the 21st century in an urban area of a well-developed European country in an HIV-negative patient.
梅毒可能是一种由……引起的多系统慢性感染。在发达国家,有症状的晚期神经梅毒报告较少,多见于未经治疗的患者或合并感染艾滋病毒的患者。我们报告一例复杂神经梅毒病例,该病例出现广泛的神经系统受累(麻痹性痴呆、脊髓痨、软脑膜炎和左侧动眼神经受累),于21世纪出现在一个欧洲发达国家城市地区的一名艾滋病毒阴性患者身上。