• 文献检索
  • 文档翻译
  • 深度研究
  • 学术资讯
  • Suppr Zotero 插件Zotero 插件
  • 邀请有礼
  • 套餐&价格
  • 历史记录
应用&插件
Suppr Zotero 插件Zotero 插件浏览器插件Mac 客户端Windows 客户端微信小程序
定价
高级版会员购买积分包购买API积分包
服务
文献检索文档翻译深度研究API 文档MCP 服务
关于我们
关于 Suppr公司介绍联系我们用户协议隐私条款
关注我们

Suppr 超能文献

核心技术专利:CN118964589B侵权必究
粤ICP备2023148730 号-1Suppr @ 2026

文献检索

告别复杂PubMed语法,用中文像聊天一样搜索,搜遍4000万医学文献。AI智能推荐,让科研检索更轻松。

立即免费搜索

文件翻译

保留排版,准确专业,支持PDF/Word/PPT等文件格式,支持 12+语言互译。

免费翻译文档

深度研究

AI帮你快速写综述,25分钟生成高质量综述,智能提取关键信息,辅助科研写作。

立即免费体验

一例化疗继发气肿性胃炎的罕见病例。

A Rare Case of Emphysematous Gastritis Secondary to Chemotherapy.

作者信息

Ogbue Olisaemeka D, Haddad Abdo, Daw Hamed

机构信息

Internal Medicine, Cleveland Clinic Fairview Hospital, Cleveland, USA.

Hematology and Oncology, Cleveland Clinic Fairview Hospital, Cleveland, USA.

出版信息

Cureus. 2021 Oct 19;13(10):e18895. doi: 10.7759/cureus.18895. eCollection 2021 Oct.

DOI:10.7759/cureus.18895
PMID:34804737
原文链接:https://pmc.ncbi.nlm.nih.gov/articles/PMC8599462/
Abstract

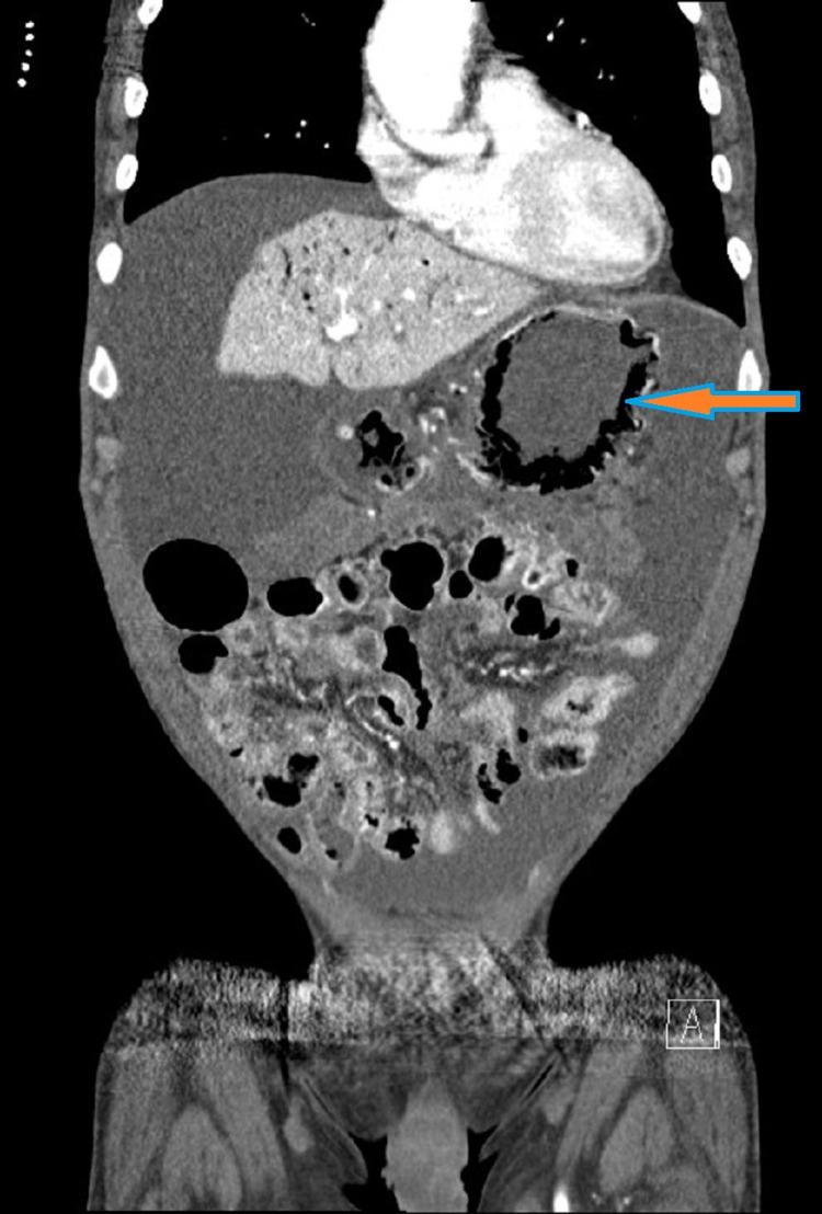
Emphysematous gastritis is a rare medical condition characterized by the presence of intra-mural air in the stomach associated with portal venous air tracking to a variable degree. There are no established guidelines favoring surgery over medical management. We present a case of a 64-year-old Caucasian male with a history of stage four colon adenocarcinoma with peritoneal carcinomatosis, malignant ascites, and liver metastasis status post-three cycles of chemotherapy who presented to the emergency room with complaints of generalized abdominal pain, nausea, non-bilious vomiting, and melena stools. He was managed conservatively as a case of sepsis secondary to emphysematous gastritis and made a full recovery. To our knowledge, this is the first reported case of emphysematous gastritis in an adult with colon cancer. Although we cannot establish a causal link between his chemotherapy regimen and emphysematous gastritis, the combined effect of an immunosuppressive state caused by advanced malignancy and cytotoxic effects of chemotherapy are the probable risk factors in our patient. We described the possible mechanisms of mucosal disruption by fluorouracil and bevacizumab in our case. Despite historically having a poor prognosis, emphysematous gastritis can be managed conservatively on a case-by-case basis. Clinicians should be aware that chemotherapy can be a predisposing factor to developing this rare condition.

摘要

气肿性胃炎是一种罕见的医学病症,其特征是胃壁内存在气体,并伴有不同程度的门静脉气体播散。目前尚无明确的指南支持手术治疗优于药物治疗。我们报告一例64岁的白种男性患者,有四期结肠腺癌病史,伴有腹膜癌转移、恶性腹水和肝转移,在接受三个周期化疗后,因出现全身腹痛、恶心、非胆汁性呕吐和黑便而就诊于急诊室。他被作为气肿性胃炎继发脓毒症的病例进行保守治疗,并完全康复。据我们所知,这是首例在成年结肠癌患者中报道的气肿性胃炎病例。虽然我们无法确定其化疗方案与气肿性胃炎之间的因果关系,但晚期恶性肿瘤导致的免疫抑制状态和化疗的细胞毒性作用的联合效应可能是我们这位患者的危险因素。我们在病例中描述了氟尿嘧啶和贝伐单抗导致黏膜破坏的可能机制。尽管气肿性胃炎以往预后较差,但可根据具体病例进行保守治疗。临床医生应意识到化疗可能是发生这种罕见病症的一个诱发因素。

https://cdn.ncbi.nlm.nih.gov/pmc/blobs/8efd/8599462/0d1f6ea1a2be/cureus-0013-00000018895-i03.jpg
https://cdn.ncbi.nlm.nih.gov/pmc/blobs/8efd/8599462/3b91d7bc8388/cureus-0013-00000018895-i01.jpg
https://cdn.ncbi.nlm.nih.gov/pmc/blobs/8efd/8599462/864cdaa93f43/cureus-0013-00000018895-i02.jpg
https://cdn.ncbi.nlm.nih.gov/pmc/blobs/8efd/8599462/0d1f6ea1a2be/cureus-0013-00000018895-i03.jpg
https://cdn.ncbi.nlm.nih.gov/pmc/blobs/8efd/8599462/3b91d7bc8388/cureus-0013-00000018895-i01.jpg
https://cdn.ncbi.nlm.nih.gov/pmc/blobs/8efd/8599462/864cdaa93f43/cureus-0013-00000018895-i02.jpg
https://cdn.ncbi.nlm.nih.gov/pmc/blobs/8efd/8599462/0d1f6ea1a2be/cureus-0013-00000018895-i03.jpg

相似文献

1
A Rare Case of Emphysematous Gastritis Secondary to Chemotherapy.一例化疗继发气肿性胃炎的罕见病例。
Cureus. 2021 Oct 19;13(10):e18895. doi: 10.7759/cureus.18895. eCollection 2021 Oct.
2
A combination of intramural stomach and portal venous air: conservative treatment.胃壁内积气与门静脉积气并存:保守治疗
J Community Hosp Intern Med Perspect. 2016 Feb 17;6(1):30519. doi: 10.3402/jchimp.v6.30519. eCollection 2016.
3
Conservative Management of Emphysematous Gastritis With Gastric Mucosal Ischaemia: A Case Report.伴有胃黏膜缺血的气肿性胃炎的保守治疗:一例报告
Cureus. 2023 Feb 5;15(2):e34656. doi: 10.7759/cureus.34656. eCollection 2023 Feb.
4
Emphysematous Gastritis with Air in Portal Venous System.伴有门静脉系统积气的气肿性胃炎
J Assoc Physicians India. 2017 May;65(5):105-106.
5
Is surgical intervention avoidable in cases of emphysematous gastritis? A case presentation and literature review.气肿性胃炎病例是否可避免手术干预?病例报告及文献综述。
Int J Surg Case Rep. 2013;4(5):456-9. doi: 10.1016/j.ijscr.2012.12.021. Epub 2013 Mar 5.
6
Emphysematous gastritis in a patient with neutropenic sepsis: A case report and literature review with comment on management.中性粒细胞减少性脓毒症患者的气肿性胃炎:一例报告及文献综述并对管理的评论
J Intensive Care Soc. 2023 Aug;24(3):328-331. doi: 10.1177/17511437231153048. Epub 2023 Feb 12.
7
Emphysematous Pyelonephritis Associated With Emphysematous Gastritis and Air in the Portal Vein.气肿性肾盂肾炎合并气肿性胃炎及门静脉积气
Gastroenterology Res. 2011 Apr;4(2):76-79. doi: 10.4021/gr287w. Epub 2011 Mar 20.
8
Emphysematous gastritis: a case series and review of the current trend favoring conservative management.气肿性胃炎:病例系列及当前倾向于保守治疗的趋势综述。
Clin J Gastroenterol. 2021 Aug;14(4):1042-1045. doi: 10.1007/s12328-021-01425-3. Epub 2021 May 3.
9
A Case of Haemorrhagic Emphysematous Gastritis.一例出血性气肿性胃炎
Cureus. 2024 Aug 3;16(8):e66084. doi: 10.7759/cureus.66084. eCollection 2024 Aug.
10
Successful medical management of emphysematous gastritis with concomitant portal venous air: a case report.伴有门静脉积气的气肿性胃炎的成功内科治疗:一例报告
J Med Case Rep. 2010 May 19;4:140. doi: 10.1186/1752-1947-4-140.

引用本文的文献

1
A Case of Haemorrhagic Emphysematous Gastritis.一例出血性气肿性胃炎
Cureus. 2024 Aug 3;16(8):e66084. doi: 10.7759/cureus.66084. eCollection 2024 Aug.
2
Emphysematous gastritis in a patient with neutropenic sepsis: A case report and literature review with comment on management.中性粒细胞减少性脓毒症患者的气肿性胃炎:一例报告及文献综述并对管理的评论
J Intensive Care Soc. 2023 Aug;24(3):328-331. doi: 10.1177/17511437231153048. Epub 2023 Feb 12.
3
Emphysematous gastritis.气肿性胃炎

本文引用的文献

1
Extreme complications related to bevacizumab use in the treatment of ovarian cancer: a case series from a III level referral centre and review of the literature.贝伐单抗用于治疗卵巢癌的极端并发症:来自三级转诊中心的病例系列及文献综述
Ann Transl Med. 2020 Dec;8(24):1687. doi: 10.21037/atm-20-4448.
2
Emphysematous gastritis: A case series of three patients managed conservatively.气肿性胃炎:三例保守治疗病例系列
Int J Surg Case Rep. 2019;64:80-84. doi: 10.1016/j.ijscr.2019.09.046. Epub 2019 Oct 7.
3
[Emphysematous gastritis: Effectiveness of early antibiotic therapy].
BMJ Case Rep. 2022 Aug 12;15(8):e251314. doi: 10.1136/bcr-2022-251314.
[气肿性胃炎:早期抗生素治疗的有效性]
Gastroenterol Hepatol. 2016 Jun-Jul;39(6):393-5. doi: 10.1016/j.gastrohep.2015.05.008. Epub 2015 Jul 17.
4
Is surgical intervention avoidable in cases of emphysematous gastritis? A case presentation and literature review.气肿性胃炎病例是否可避免手术干预?病例报告及文献综述。
Int J Surg Case Rep. 2013;4(5):456-9. doi: 10.1016/j.ijscr.2012.12.021. Epub 2013 Mar 5.
5
Pneumatosis intestinalis and bowel perforation associated with molecular targeted therapy: an emerging problem and the role of radiologists in its management.肠气肿和肠穿孔与分子靶向治疗相关:一个新出现的问题和放射科医生在其管理中的作用。
AJR Am J Roentgenol. 2012 Dec;199(6):1259-65. doi: 10.2214/AJR.12.8782.
6
Vomiting-induced gastric emphysema: a rare self-limiting condition.呕吐致胃气肿:一种罕见的自限性疾病。
Am J Med Sci. 2012 Jan;343(1):92-3. doi: 10.1097/MAJ.0b013e318232ccc2.
7
5-fluorouracil-induced small bowel toxicity in patients with colorectal carcinoma.5-氟尿嘧啶诱发的结直肠癌患者小肠毒性
Cancer. 1999 Oct 1;86(7):1129-34. doi: 10.1002/(sici)1097-0142(19991001)86:7<1129::aid-cncr5>3.0.co;2-4.
8
Emphysematous gastritis in a leukemic child.一名白血病患儿的气肿性胃炎。
Med Pediatr Oncol. 1976;2(4):433-7. doi: 10.1002/mpo.2950020409.