Akella Jagadish, Fuentes Gilda-Diaz, Kaur Sunjeet, Venkatram Sindhaghatta
Division of Pulmonary Medicine and Critical Care Medicine, Bronx Lebanon Hospital Center, Affiliated with Albert Einstein College of Medicine, Bronx, NY, USA.
Department of Medicine, Bronx Lebanon Hospital Center, Bronx, NY, USA.
Gastroenterology Res. 2011 Apr;4(2):76-79. doi: 10.4021/gr287w. Epub 2011 Mar 20.
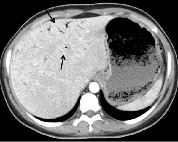
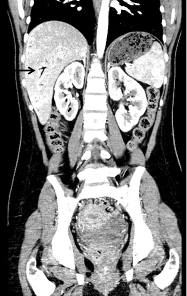
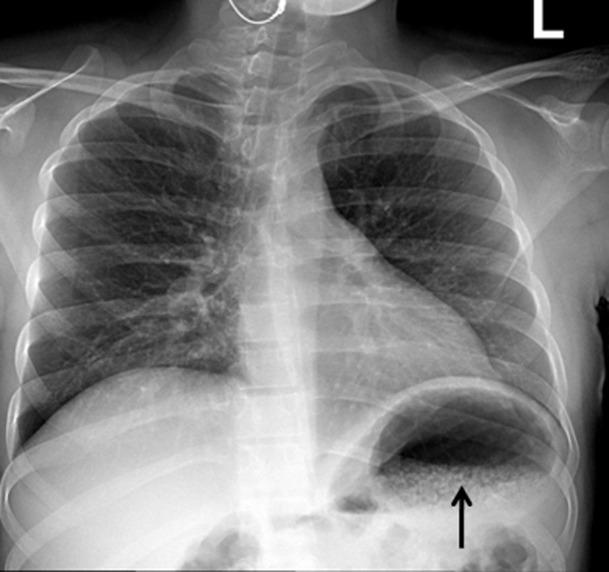
Emphysematous gastritis with portal venous air is a rare condition usually caused by gas forming organisms. This may be secondary to local spread of an infection through the mucosa or rarely hematogenous dissemination from a distant focus. We present a young diabetic woman with uncontrolled diabetes mellitus who was admitted with sepsis and severe abdominal symptoms. Investigation revealed emphysematous pyelonephritis due to E. coli infection associated with emphysematous gastritis and air in the portal tract. She improved with broad spectrum antibiotics, fluid resuscitation and electrolyte and diabetic management. To our knowledge this is the first report showing the association between emphysematous pyelonephritis and gastritis with air in the portal system.
伴有门静脉积气的气肿性胃炎是一种罕见疾病,通常由产气微生物引起。这可能继发于感染通过黏膜的局部扩散,或很少见地由远处病灶经血行播散所致。我们报告一例年轻的糖尿病女性患者,其糖尿病控制不佳,因脓毒症和严重腹部症状入院。检查发现由大肠杆菌感染引起的气肿性肾盂肾炎,伴有气肿性胃炎和门静脉积气。她通过广谱抗生素、液体复苏以及电解质和糖尿病管理后病情好转。据我们所知,这是首例显示气肿性肾盂肾炎和气肿性胃炎与门静脉系统积气之间关联的报告。