• 文献检索
  • 文档翻译
  • 深度研究
  • 学术资讯
  • Suppr Zotero 插件Zotero 插件
  • 邀请有礼
  • 套餐&价格
  • 历史记录
应用&插件
Suppr Zotero 插件Zotero 插件浏览器插件Mac 客户端Windows 客户端微信小程序
定价
高级版会员购买积分包购买API积分包
服务
文献检索文档翻译深度研究API 文档MCP 服务
关于我们
关于 Suppr公司介绍联系我们用户协议隐私条款
关注我们

Suppr 超能文献

核心技术专利:CN118964589B侵权必究
粤ICP备2023148730 号-1Suppr @ 2026

文献检索

告别复杂PubMed语法,用中文像聊天一样搜索,搜遍4000万医学文献。AI智能推荐,让科研检索更轻松。

立即免费搜索

文件翻译

保留排版,准确专业,支持PDF/Word/PPT等文件格式,支持 12+语言互译。

免费翻译文档

深度研究

AI帮你快速写综述,25分钟生成高质量综述,智能提取关键信息,辅助科研写作。

立即免费体验

低剂量与优化长度计算机断层扫描(CT)扫描在CT引导下经皮肺穿刺活检肺结节中的价值

Value of low-dose and optimized-length computed tomography (CT) scan in CT-guided percutaneous transthoracic needle biopsy of pulmonary nodules.

作者信息

Yuan Hui, Li Da, Zhang Yan, Xie Xiaozhen, Shen Lujun

机构信息

Sun Yat-sen University Cancer Center, China.

State Key Laboratory of Oncology in South China, Collaborative Innovation Center of Cancer Medicine, Sun Yat-Sen University, Guangzhou 510060, People's Republic of China.

出版信息

J Interv Med. 2021 May 21;4(3):143-148. doi: 10.1016/j.jimed.2021.05.005. eCollection 2021 Aug.

DOI:10.1016/j.jimed.2021.05.005
PMID:34805963
原文链接:https://pmc.ncbi.nlm.nih.gov/articles/PMC8562293/
Abstract

OBJECTIVE

To investigate the value of application of low-dose and optimized length CT scan on puncture results, complications and patients' radiation dosage during CT-guided percutaneous biopsy of pulmonary nodules (PTNB).

METHODS

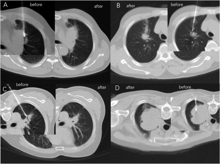
A total of 231 patients with PTNB under CT guidance were collected. Low dose scanning utilized tube current of 20 mA as compared with 40 mA in conventional dosage. Optimized length in CT is defined as intentionally narrowing the range of CT scanning just to cover 25 mm (5 layers) around the target layer during needle adjustment. According to whether low-dose scans and optimized length scans techniques were utilized, patients were divided into three groups: conventional group (conventional sequence + no optimization), optimized length group (conventional sequence + optimized length), and low-dose optimized length group (low dose sequence + optimized length). The ED (effective dose), the DLP (dose length product), the average CTDIvol (Volume CT dose index), total milliampere second between subgroups were compared.

RESULTS

Compared with the conventional group, ED, intraoperative guidance DLP, total milliseconds and operation time in the optimized length group were reduced by 18.2% (P=0.01), 37% (P=0.003), 17.5% (P=0.013) and 13.3% (P=0.021) respectively. Compared with the optimized length group, the ED was reduced by 87%, preoperative positioning, intraoperative guidance and postoperative review DLP were also reduced by 88%, total milliampere second was reduced by 79%, with an average CTDIvol was reduced by 86%, in the low-dose optimized length group (P<0.001 for all).

CONCLUSION

Optimizing the length during CT scanning can effectively reduce the intraoperative radiation dose and reduce the operation time compared with conventional plan; low-dose and optimized length CT scan can further reduce the total radiation dose compared with optimized length group with no differences on intraoperative complications, biopsy results and operation time.

摘要

目的

探讨低剂量及优化扫描长度CT扫描在CT引导下肺结节经皮穿刺活检(PTNB)中对穿刺结果、并发症及患者辐射剂量的应用价值。

方法

收集231例CT引导下PTNB患者。低剂量扫描采用20 mA管电流,传统剂量为40 mA。CT优化扫描长度定义为在进针调整过程中,有意缩小CT扫描范围,仅覆盖目标层面周围25 mm(5层)。根据是否采用低剂量扫描及优化扫描长度技术,将患者分为三组:传统组(传统序列+未优化)、优化长度组(传统序列+优化长度)和低剂量优化长度组(低剂量序列+优化长度)。比较亚组间的有效剂量(ED)、剂量长度乘积(DLP)、平均容积CT剂量指数(CTDIvol)、总毫安秒。

结果

与传统组相比,优化长度组的ED、术中引导DLP、总毫秒数及手术时间分别降低了18.2%(P = 0.01)、37%(P = 0.003)、17.5%(P = 0.013)和13.3%(P = 0.021)。与优化长度组相比,低剂量优化长度组的ED降低了87%,术前定位、术中引导及术后复查DLP也降低了88%,总毫安秒降低了79%,平均CTDIvol降低了86%(所有P < 0.001)。

结论

与传统方案相比,CT扫描时优化扫描长度可有效降低术中辐射剂量并缩短手术时间;低剂量及优化扫描长度CT扫描与优化长度组相比可进一步降低总辐射剂量,且术中并发症、活检结果及手术时间无差异。

https://cdn.ncbi.nlm.nih.gov/pmc/blobs/c69a/8562293/2f31eed30aba/gr3.jpg
https://cdn.ncbi.nlm.nih.gov/pmc/blobs/c69a/8562293/638cc6a2b2db/gr1.jpg
https://cdn.ncbi.nlm.nih.gov/pmc/blobs/c69a/8562293/d7f1618dd62f/gr2.jpg
https://cdn.ncbi.nlm.nih.gov/pmc/blobs/c69a/8562293/2f31eed30aba/gr3.jpg
https://cdn.ncbi.nlm.nih.gov/pmc/blobs/c69a/8562293/638cc6a2b2db/gr1.jpg
https://cdn.ncbi.nlm.nih.gov/pmc/blobs/c69a/8562293/d7f1618dd62f/gr2.jpg
https://cdn.ncbi.nlm.nih.gov/pmc/blobs/c69a/8562293/2f31eed30aba/gr3.jpg

相似文献

1
Value of low-dose and optimized-length computed tomography (CT) scan in CT-guided percutaneous transthoracic needle biopsy of pulmonary nodules.低剂量与优化长度计算机断层扫描(CT)扫描在CT引导下经皮肺穿刺活检肺结节中的价值
J Interv Med. 2021 May 21;4(3):143-148. doi: 10.1016/j.jimed.2021.05.005. eCollection 2021 Aug.
2
Diagnostic performance of CT-guided percutaneous transthoracic core needle biopsy using low tube voltage (100 kVp): comparison with conventional tube voltage (120 kVp).使用低管电压(100 kVp)的CT引导下经皮经胸芯针活检的诊断性能:与传统管电压(120 kVp)的比较。
Acta Radiol. 2018 Apr;59(4):425-433. doi: 10.1177/0284185117719589. Epub 2017 Jul 10.
3
[New Potential Method for Optimizing the ATCM Technique in Pediatric CT Examination].[优化儿科CT检查中自动管电流调制技术的新潜在方法]
Nihon Hoshasen Gijutsu Gakkai Zasshi. 2020;76(8):802-807. doi: 10.6009/jjrt.2020_JSRT_76.8.802.
4
Flat detector C-arm CT-guidance system in performing percutaneous transthoracic needle biopsy of small (≤3 cm) pulmonary lesions.平板探测器C型臂CT引导系统在对小(≤3厘米)肺部病变进行经皮经胸针吸活检中的应用
Acta Radiol. 2016 Jun;57(6):677-83. doi: 10.1177/0284185115603419. Epub 2015 Sep 16.
5
Data analysis of low dose multislice helical CT scan in orbital trauma.眼眶创伤低剂量多层螺旋CT扫描的数据分析
Int J Ophthalmol. 2012;5(3):366-9. doi: 10.3980/j.issn.2222-3959.2012.03.22. Epub 2012 Jun 18.
6
Ultra-low-dose CT-guided lung biopsy in clinic: radiation dose, accuracy, image quality, and complication rate.低剂量 CT 引导下肺活检的临床应用:辐射剂量、准确性、图像质量和并发症发生率。
Acta Radiol. 2021 Feb;62(2):198-205. doi: 10.1177/0284185120917622. Epub 2020 May 27.
7
Feasibility and safety of fine positioning needle-mediated breathing control in CT-guided percutaneous puncture of small lung/liver nodules adjacent to diaphragm.在 CT 引导下经皮穿刺毗邻膈肌的小肺/肝结节中应用细定位针介导呼吸控制的可行性和安全性。
Sci Rep. 2021 Feb 9;11(1):3411. doi: 10.1038/s41598-021-83036-z.
8
Comparison of lung lesion biopsies between low-dose CT-guided and conventional CT-guided techniques.低剂量CT引导与传统CT引导技术下肺病变活检的比较。
Acta Radiol. 2013 Oct;54(8):909-15. doi: 10.1177/0284185113485937. Epub 2013 Jul 1.
9
The application value of computed tomography in combination with intraoperative noninvasive percutaneous ultrasonic localisation of subpleural pulmonary nodules/ground-glass opacity in uniportal video-assisted thoracoscopy.计算机断层扫描联合术中无创经皮超声定位在单孔胸腔镜下亚胸膜肺结节/磨玻璃影中的应用价值
Wideochir Inne Tech Maloinwazyjne. 2021 Jun;16(2):382-389. doi: 10.5114/wiitm.2020.101238. Epub 2020 Nov 27.
10
Spiral CT evaluation of pulmonary emphysema using a low-dose technique.使用低剂量技术的螺旋CT对肺气肿的评估
Radiol Med. 2002 Jul-Aug;104(1-2):13-24.

引用本文的文献

1
Diagnostic yield and complication rates of percutaneous transthoracic CT-guided coaxial needle biopsy in persistent pulmonary consolidation.经皮 CT 引导同轴针穿刺活检持续性肺部实变的诊断率和并发症发生率。
Jpn J Radiol. 2024 Nov;42(11):1305-1314. doi: 10.1007/s11604-024-01623-2. Epub 2024 Jun 28.
2
Preoperative CT-guided localization of pulmonary nodules with low-dose radiation.术前低剂量辐射CT引导下肺结节定位
Quant Imaging Med Surg. 2023 Jul 1;13(7):4295-4304. doi: 10.21037/qims-22-1362. Epub 2023 May 11.
3
CT-guided percutaneous transthoracic needle biopsy (PTNB): A thoracic surgeon's learning curve and experience summary.

本文引用的文献

1
2020 Clinical Practice Guideline for Percutaneous Transthoracic Needle Biopsy of Pulmonary Lesions: A Consensus Statement and Recommendations of the Korean Society of Thoracic Radiology.2020 年经胸肺穿刺活检临床实践指南:韩国胸放射学会的共识声明和建议。
Korean J Radiol. 2021 Feb;22(2):263-280. doi: 10.3348/kjr.2020.0137. Epub 2020 Nov 19.
2
Computed tomography-guided lung biopsy: a randomized controlled trial of low-dose versus standard-dose protocol.计算机断层扫描引导下的肺活检:低剂量与标准剂量方案的随机对照试验。
Eur Radiol. 2020 Mar;30(3):1584-1592. doi: 10.1007/s00330-019-06464-6. Epub 2019 Nov 27.
3
CT 引导经皮经胸穿刺活检(PTNB):胸外科医生的学习曲线和经验总结。
Thorac Cancer. 2023 Mar;14(7):673-682. doi: 10.1111/1759-7714.14793. Epub 2023 Jan 17.
Clinical value of a new generation adaptive statistical iterative reconstruction (ASIR-V) in the diagnosis of pulmonary nodule in low-dose chest CT.
新一代自适应统计迭代重建(ASIR-V)在低剂量胸部 CT 诊断肺结节中的临床价值。
Br J Radiol. 2019 Nov;92(1103):20180909. doi: 10.1259/bjr.20180909. Epub 2019 Sep 6.
4
Methylation Density Pattern of Gene in Lung Cancer Cell Lines Detected by Quantitative Methylation Specific PCR and Pyrosequencing.定量甲基化特异性 PCR 和焦磷酸测序检测肺癌细胞系中基因的甲基化密度模式。
Int J Mol Sci. 2019 May 31;20(11):2697. doi: 10.3390/ijms20112697.
5
Investigation of Low-Dose CT Lung Cancer Screening Scan "Over-Range" Issue Using Machine Learning Methods.应用机器学习方法调查低剂量 CT 肺癌筛查扫描“超范围”问题。
J Digit Imaging. 2019 Dec;32(6):931-938. doi: 10.1007/s10278-019-00233-z.
6
Imaging characteristics of BRAF-mutant non-small cell lung cancer by functional class.功能分类下 BRAF 突变型非小细胞肺癌的影像学特征。
Lung Cancer. 2019 Mar;129:80-84. doi: 10.1016/j.lungcan.2019.01.007. Epub 2019 Jan 16.
7
Dose estimation of ultra-low-dose chest CT to different sized adult patients.不同体型成人患者行超低剂量胸部 CT 的剂量估算。
Eur Radiol. 2019 Aug;29(8):4315-4323. doi: 10.1007/s00330-018-5849-5. Epub 2018 Dec 17.
8
Chest CT Scan at Radiation Dose of a Posteroanterior and Lateral Chest Radiograph Series: A Proof of Principle in Lymphangioleiomyomatosis.胸部 CT 扫描在前后位和侧位胸部 X 线摄影系列中的辐射剂量:淋巴管平滑肌瘤病的原理证明。
Chest. 2019 Mar;155(3):528-533. doi: 10.1016/j.chest.2018.09.007. Epub 2018 Oct 3.
9
Chinese multidisciplinary expert consensus: Guidelines on percutaneous transthoracic needle biopsy.中国多学科专家共识:经皮肺穿刺活检指南。
Thorac Cancer. 2018 Nov;9(11):1530-1543. doi: 10.1111/1759-7714.12849. Epub 2018 Sep 17.
10
A survey of UK percutaneous lung biopsy practice: current practices in the era of early detection, oncogenetic profiling, and targeted treatments.英国经皮肺活检实践调查:早期检测、肿瘤基因图谱分析和靶向治疗时代的当前实践
Clin Radiol. 2018 Sep;73(9):800-809. doi: 10.1016/j.crad.2018.05.009. Epub 2018 Jun 18.