Suppr超能文献

糖尿病的进展与 UC Davis 2 型糖尿病大鼠回肠转录组和回肠-结肠形态的变化有关。

Progression of diabetes is associated with changes in the ileal transcriptome and ileal-colon morphology in the UC Davis Type 2 Diabetes Mellitus rat.

机构信息

USDA-ARS Arkansas Children's Nutrition Center, Little Rock, Arkansas, USA.

Department of Pediatrics, University of Arkansas for Medical Sciences, Little Rock, Arkansas, USA.

出版信息

Physiol Rep. 2021 Nov;9(22):e15102. doi: 10.14814/phy2.15102.

Abstract

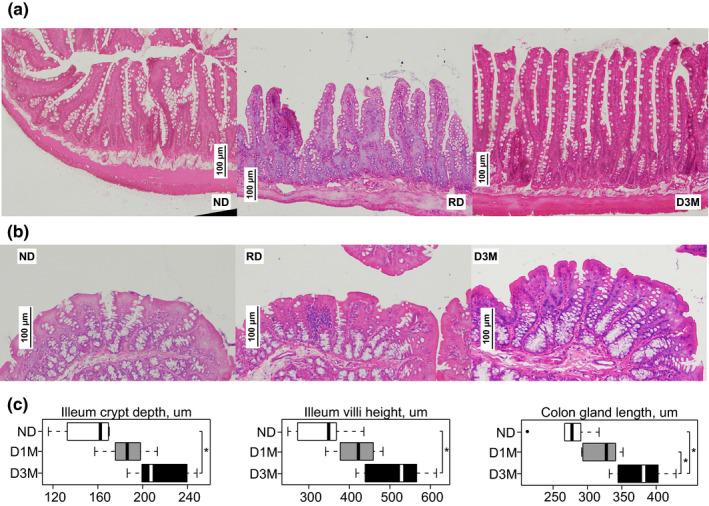
Deterioration in glucose homeostasis has been associated with intestinal dysbiosis, but it is not known how metabolic dysregulation alters the gastrointestinal environment. We investigated how the progression of diabetes alters ileal and colonic epithelial mucosal structure, microbial abundance, and transcript expression in the University of California Davis Type 2 Diabetes Mellitus (UCD-T2DM) rat model. Male UCD-T2DM rats (age ~170 days) were included if <1-month (n = 6, D1M) or 3-month (n = 6, D3M) post-onset of diabetes. Younger nondiabetic UCD-T2DM rats were included as a nondiabetic comparison (n = 6, ND, age ~70 days). Ileum villi height/crypt depths and colon crypt depths were assessed by histology. Microbial abundance of colon content was measured with 16S rRNA sequencing. Ileum and colon transcriptional abundances were analyzed using RNA sequencing. Ileum villi height and crypt depth were greater in D3M rats compared to ND. Colon crypt depth was greatest in D3M rats compared to both ND and D1M rats. Colon abundances of Akkermansia and Muribaculaceae were lower in D3M rats relative to D1M, while Oscillospirales, Phascolarctobacterium, and an unidentified genus of Lachnospiraceae were higher. Only two transcripts were altered by diabetes advancement within the colon; however, 2039 ileal transcripts were altered. Only colonic abundances of Sptlc3, Enpp7, Slc7a15, and Kctd14 had more than twofold changes between D1M and D3M rats. The advancement of diabetes in the UCD-T2DM rat results in a trophic effect on the mucosal epithelia and was associated with regulation of gastrointestinal tract RNA expression, which appears more pronounced in the ileum relative to the colon.

摘要

葡萄糖稳态的恶化与肠道菌群失调有关,但代谢失调如何改变胃肠道环境尚不清楚。我们研究了 2 型糖尿病(UCD-T2DM)大鼠模型中糖尿病的进展如何改变回肠和结肠上皮粘膜结构、微生物丰度和转录表达。如果糖尿病发病后 <1 个月(n=6,D1M)或 3 个月(n=6,D3M),则纳入雄性 UCD-T2DM 大鼠。纳入年轻的非糖尿病 UCD-T2DM 大鼠作为非糖尿病对照(n=6,ND,年龄~70 天)。通过组织学评估回肠绒毛高度/隐窝深度和结肠隐窝深度。使用 16S rRNA 测序测量结肠内容物的微生物丰度。使用 RNA 测序分析回肠和结肠转录丰度。与 ND 相比,D3M 大鼠的回肠绒毛高度和隐窝深度更大。与 ND 和 D1M 大鼠相比,D3M 大鼠的结肠隐窝深度最大。与 D1M 大鼠相比,D3M 大鼠结肠中的 Akkermansia 和 Muribaculaceae 丰度较低,而 Oscillospirales、Phascolarctobacterium 和未鉴定的 Lachnospiraceae 属丰度较高。只有两个转录本在结肠中因糖尿病进展而改变;然而,2039 个回肠转录本被改变。只有结肠 Sptlc3、Enpp7、Slc7a15 和 Kctd14 的丰度在 D1M 和 D3M 大鼠之间有两倍以上的变化。UCD-T2DM 大鼠糖尿病的进展导致粘膜上皮的营养作用,并与胃肠道 RNA 表达的调节有关,与结肠相比,这种作用在回肠中更为明显。

https://cdn.ncbi.nlm.nih.gov/pmc/blobs/a6b4/8606862/33b88886230b/PHY2-9-e15102-g001.jpg

文献AI研究员

20分钟写一篇综述,助力文献阅读效率提升50倍。

立即体验

用中文搜PubMed

大模型驱动的PubMed中文搜索引擎

马上搜索

文档翻译

学术文献翻译模型,支持多种主流文档格式。

立即体验