Suppr超能文献

患者单克隆丙种球蛋白血症相关的原发性口腔黏膜相关淋巴组织(MALT)淋巴瘤:罕见病例报告。

Primary oral mucosa-associated lymphoid tissue (MALT) lymphoma in patient with monoclonale gammopathy: a rare case report.

机构信息

Département Médecine et Chirurgie Orales, Faculté d'Odontologie, Université de Reims Champagne Ardenne, 2, Rue du Général Koenig, 51100, Reims, France.

Service de Chirurgie Orale, Centre Hospitalier Universitaire de Reims, Hôpital Maison Blanche, 45, Rue Cognac Jay, 51100, Reims, France.

出版信息

BMC Oral Health. 2021 Nov 23;21(1):597. doi: 10.1186/s12903-021-01960-y.

Abstract

BACKGROUND

Monoclonal gammopathy is a biological reality encountered in approximately 1% of the general population. In the absence of clinical and biological signs, it is considered of undetermined significance; however, it can be a biological signature of a monoclonal lymphocytic or plasma-cell proliferation. Their localisation to the oral mucosa remains rare and difficult to diagnose, particularly in indolent forms that escape imaging techniques.

CASE PRESENTATION

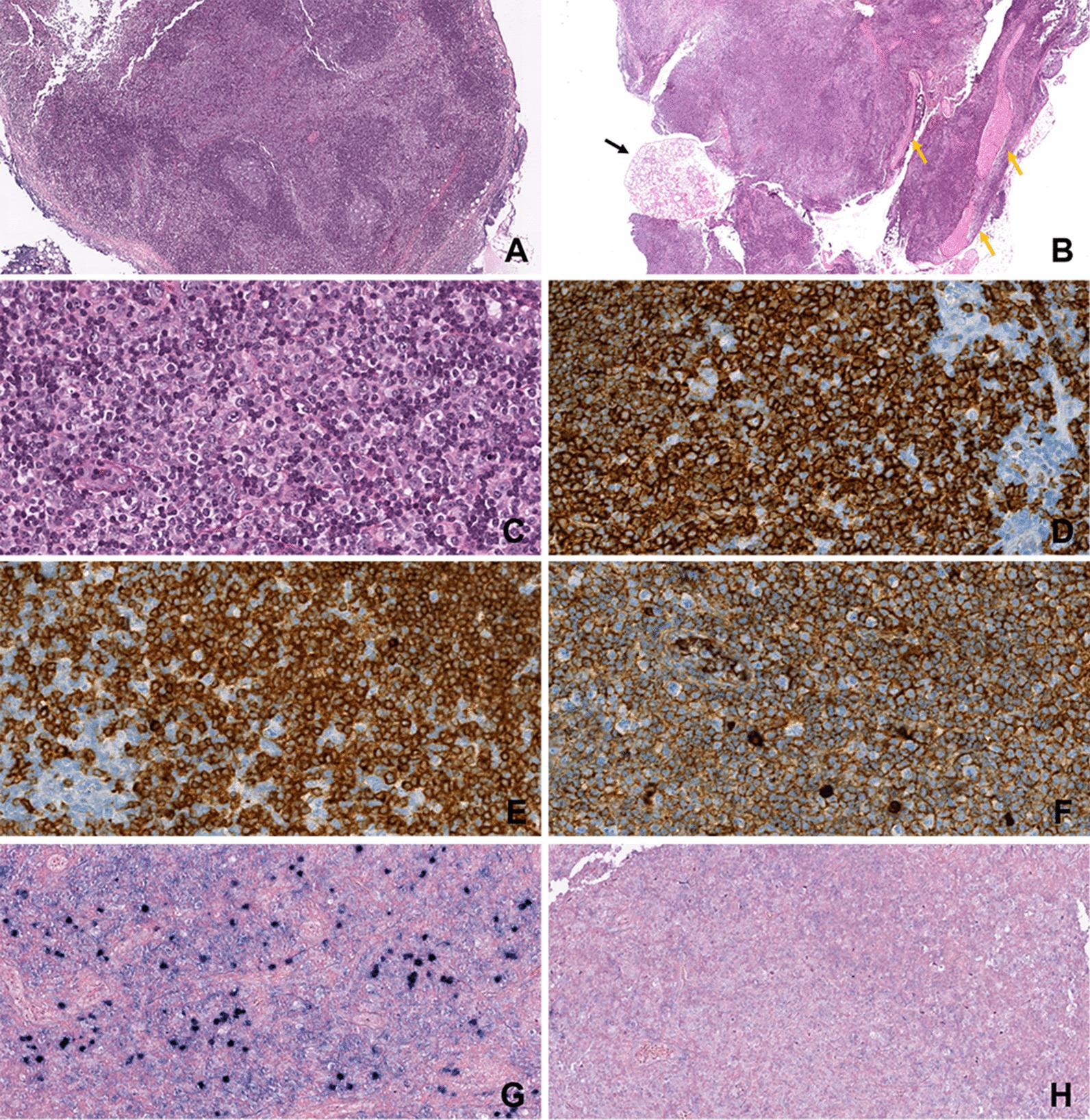
Here, we report the case of a 73-year-old woman with a history of IgM kappa gammopathy followed for 13 years. The patient did not have a chronic infection or an autoimmune disease, and all the biological investigations and radiological explorations were unremarkable during this period. The discovery of a submucosal nodule in the cheek led to the diagnosis of MALT lymphoma and regression of half of the IgM kappa level after resection. The review of the literature shows the dominance of clinical signs (i.e., a mass or swelling) in the diagnosis of primary MALT lymphomas of the oral cavity after surgical resection.

CONCLUSIONS

Our case illustrates the role of examination of the oral cavity in the context of a monoclonal gammopathy. The absence of clinical and radiological evidence in favor of lymphoplasmacytic proliferation, does not exclude a primary indolent MALT lymphoma of the oral mucosa.

摘要

背景

单克隆丙种球蛋白病是一种在约 1%的普通人群中出现的生物学现象。在没有临床和生物学迹象的情况下,它被认为是意义未明的;然而,它可能是单克隆淋巴细胞或浆细胞增殖的生物学标志。其定位于口腔黏膜仍然很少见,难以诊断,特别是在逃避影像学技术的惰性形式中。

病例介绍

在这里,我们报告了一例 73 岁女性的病例,其病史为 IgM kappa 丙种球蛋白病,已随访 13 年。该患者无慢性感染或自身免疫性疾病,在此期间所有的生物学检查和影像学探索均无异常。颊黏膜下结节的发现导致了 MALT 淋巴瘤的诊断,并在切除后 IgM kappa 水平的一半得到了消退。文献复习表明,在手术切除后,口腔原发性 MALT 淋巴瘤的诊断主要依赖于临床症状(即肿块或肿胀)。

结论

我们的病例说明了在单克隆丙种球蛋白病的情况下,检查口腔的作用。在没有支持淋巴浆细胞增殖的临床和影像学证据的情况下,并不能排除口腔黏膜原发性惰性 MALT 淋巴瘤。

https://cdn.ncbi.nlm.nih.gov/pmc/blobs/5814/8609828/cc483afd3879/12903_2021_1960_Fig1_HTML.jpg

文献检索

告别复杂PubMed语法,用中文像聊天一样搜索,搜遍4000万医学文献。AI智能推荐,让科研检索更轻松。

立即免费搜索

文件翻译

保留排版,准确专业,支持PDF/Word/PPT等文件格式,支持 12+语言互译。

免费翻译文档

深度研究

AI帮你快速写综述,25分钟生成高质量综述,智能提取关键信息,辅助科研写作。

立即免费体验