• 文献检索
  • 文档翻译
  • 深度研究
  • 学术资讯
  • Suppr Zotero 插件Zotero 插件
  • 邀请有礼
  • 套餐&价格
  • 历史记录
应用&插件
Suppr Zotero 插件Zotero 插件浏览器插件Mac 客户端Windows 客户端微信小程序
定价
高级版会员购买积分包购买API积分包
服务
文献检索文档翻译深度研究API 文档MCP 服务
关于我们
关于 Suppr公司介绍联系我们用户协议隐私条款
关注我们

Suppr 超能文献

核心技术专利:CN118964589B侵权必究
粤ICP备2023148730 号-1Suppr @ 2026

文献检索

告别复杂PubMed语法,用中文像聊天一样搜索,搜遍4000万医学文献。AI智能推荐,让科研检索更轻松。

立即免费搜索

文件翻译

保留排版,准确专业,支持PDF/Word/PPT等文件格式,支持 12+语言互译。

免费翻译文档

深度研究

AI帮你快速写综述,25分钟生成高质量综述,智能提取关键信息,辅助科研写作。

立即免费体验

自噬相关蛋白4B(ATG 4B)在RCE - 4诱导的宫颈癌Ca Ski细胞中对Bcl - 2 - Beclin 1复合物的抑制作用中发挥关键作用。

ATG 4B Serves a Crucial Role in RCE-4-Induced Inhibition of the Bcl-2-Beclin 1 Complex in Cervical Cancer Ca Ski Cells.

作者信息

You Fang-Fang, Zhang Jing, Cheng Fan, Zou Kun, Zhang Xue-Qing, Chen Jian-Feng

机构信息

Hubei Key Laboratory of Natural Products Research and Development, College of Biological and Pharmaceutical Sciences, China Three Gorges University, Yichang 443002, China.

出版信息

Int J Mol Sci. 2021 Nov 14;22(22):12302. doi: 10.3390/ijms222212302.

DOI:10.3390/ijms222212302
PMID:34830185
原文链接:https://pmc.ncbi.nlm.nih.gov/articles/PMC8617943/
Abstract

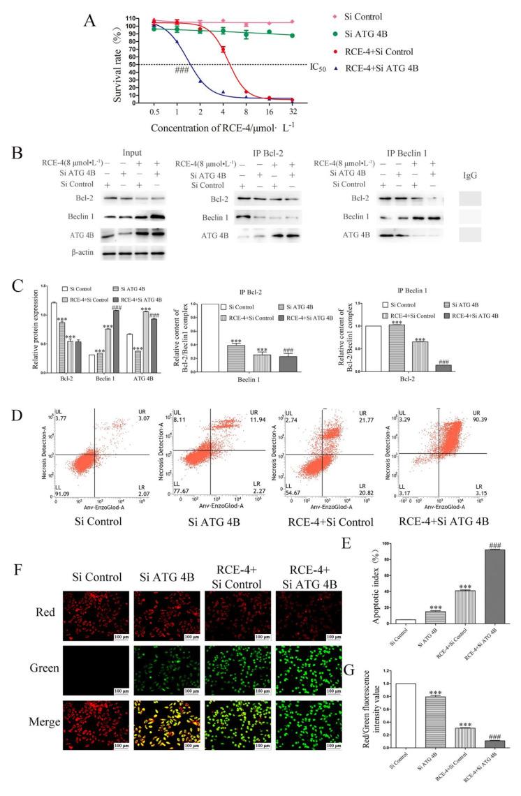
RCE-4, a steroidal saponin isolated from , has been studied previously and has exhibited promising anti-cervical cancer properties by inducing programmed cell death (PCD) of Ca Ski cells. Considering the cancer cells developed various pathways to evade chemotherapy-induced PCD, there is, therefore, an urgent need to further explore the potential mechanisms underlying its actions. The present study focused on targeting the Bcl-2-Beclin 1 complex, which is known as the key regulator of PCD, to deeply elucidate the molecular mechanism of RCE-4 against cervical cancer. The effects of RCE-4 on the Bcl-2-Beclin 1 complex were investigated by using the co-immunoprecipitation assay. In addition, autophagy-related genes (ATG) were also analyzed due to their special roles in PCD. The results demonstrated that RCE-4 inhibited the formation of the Bcl-2-Beclin 1 complex in Ca Ski cells via various pathways, and ATG 4B proteins involved in this process served as a key co-factor. Furthermore, based on the above, the sensitivity of RCE-4 to Ca Ski cells was significantly enhanced by inhibiting the expression of the ATG 4B by applying the ATG 4B siRNA plasmid.

摘要

RCE - 4是一种从[具体来源未给出]中分离出的甾体皂苷,此前已被研究,并且通过诱导Ca Ski细胞的程序性细胞死亡(PCD)展现出了有前景的抗宫颈癌特性。鉴于癌细胞会发展出各种途径来逃避化疗诱导的PCD,因此,迫切需要进一步探索其作用的潜在机制。本研究聚焦于靶向Bcl - 2 - Beclin 1复合物(已知为PCD的关键调节因子),以深入阐明RCE - 4抗宫颈癌的分子机制。通过免疫共沉淀试验研究了RCE - 4对Bcl - 2 - Beclin 1复合物的影响。此外,由于自噬相关基因(ATG)在PCD中的特殊作用,也对其进行了分析。结果表明,RCE - 4通过多种途径抑制Ca Ski细胞中Bcl - 2 - Beclin 1复合物的形成,参与此过程的ATG 4B蛋白作为关键辅助因子。此外,基于上述结果,通过应用ATG 4B siRNA质粒抑制ATG 4B的表达,显著增强了RCE - 4对Ca Ski细胞的敏感性。

https://cdn.ncbi.nlm.nih.gov/pmc/blobs/88ef/8617943/571f1ec07c6a/ijms-22-12302-g007.jpg
https://cdn.ncbi.nlm.nih.gov/pmc/blobs/88ef/8617943/d2a0f113d85a/ijms-22-12302-g001.jpg
https://cdn.ncbi.nlm.nih.gov/pmc/blobs/88ef/8617943/6fb304087d0b/ijms-22-12302-g002a.jpg
https://cdn.ncbi.nlm.nih.gov/pmc/blobs/88ef/8617943/bfe417eb6df6/ijms-22-12302-g003.jpg
https://cdn.ncbi.nlm.nih.gov/pmc/blobs/88ef/8617943/9980d27abe59/ijms-22-12302-g004.jpg
https://cdn.ncbi.nlm.nih.gov/pmc/blobs/88ef/8617943/5b4434a2fc70/ijms-22-12302-g005a.jpg
https://cdn.ncbi.nlm.nih.gov/pmc/blobs/88ef/8617943/cca836c76530/ijms-22-12302-g006.jpg
https://cdn.ncbi.nlm.nih.gov/pmc/blobs/88ef/8617943/571f1ec07c6a/ijms-22-12302-g007.jpg
https://cdn.ncbi.nlm.nih.gov/pmc/blobs/88ef/8617943/d2a0f113d85a/ijms-22-12302-g001.jpg
https://cdn.ncbi.nlm.nih.gov/pmc/blobs/88ef/8617943/6fb304087d0b/ijms-22-12302-g002a.jpg
https://cdn.ncbi.nlm.nih.gov/pmc/blobs/88ef/8617943/bfe417eb6df6/ijms-22-12302-g003.jpg
https://cdn.ncbi.nlm.nih.gov/pmc/blobs/88ef/8617943/9980d27abe59/ijms-22-12302-g004.jpg
https://cdn.ncbi.nlm.nih.gov/pmc/blobs/88ef/8617943/5b4434a2fc70/ijms-22-12302-g005a.jpg
https://cdn.ncbi.nlm.nih.gov/pmc/blobs/88ef/8617943/cca836c76530/ijms-22-12302-g006.jpg
https://cdn.ncbi.nlm.nih.gov/pmc/blobs/88ef/8617943/571f1ec07c6a/ijms-22-12302-g007.jpg

相似文献

1
ATG 4B Serves a Crucial Role in RCE-4-Induced Inhibition of the Bcl-2-Beclin 1 Complex in Cervical Cancer Ca Ski Cells.自噬相关蛋白4B(ATG 4B)在RCE - 4诱导的宫颈癌Ca Ski细胞中对Bcl - 2 - Beclin 1复合物的抑制作用中发挥关键作用。
Int J Mol Sci. 2021 Nov 14;22(22):12302. doi: 10.3390/ijms222212302.
2
Anti-proliferative effect of RCE-4 from Reineckia carnea on human cervical cancer HeLa cells by inhibiting the PI3K/Akt/mTOR signaling pathway and NF-κB activation.万年青中RCE-4通过抑制PI3K/Akt/mTOR信号通路和NF-κB激活对人宫颈癌HeLa细胞的抗增殖作用。
Naunyn Schmiedebergs Arch Pharmacol. 2016 Jun;389(6):573-84. doi: 10.1007/s00210-016-1217-7. Epub 2016 Mar 3.
3
RCE‑4, a potential anti‑cervical cancer drug isolated from Reineckia carnea, induces autophagy via the dual blockade of PI3K and ERK pathways in cervical cancer CaSki cells.从 Reineckia carnea 中分离得到的潜在抗宫颈癌药物 RCE-4 通过双重阻断 PI3K 和 ERK 通路诱导宫颈癌 CaSki 细胞自噬。
Int J Mol Med. 2020 Jan;45(1):245-254. doi: 10.3892/ijmm.2019.4389. Epub 2019 Oct 31.
4
Tubeimoside I induces accumulation of impaired autophagolysosome against cervical cancer cells by both initiating autophagy and inhibiting lysosomal function.竹节香附素 I 通过诱导自噬和抑制溶酶体功能来诱导受损自噬溶酶体在宫颈癌中的积累。
Cell Death Dis. 2018 Nov 2;9(11):1117. doi: 10.1038/s41419-018-1151-3.
5
Rhus coriaria increases protein ubiquitination, proteasomal degradation and triggers non-canonical Beclin-1-independent autophagy and apoptotic cell death in colon cancer cells.漆树增加蛋白泛素化、蛋白酶体降解,并在结肠癌细胞中引发非典型的 Beclin-1 非依赖性自噬和凋亡性细胞死亡。
Sci Rep. 2017 Sep 14;7(1):11633. doi: 10.1038/s41598-017-11202-3.
6
Hsp90 inhibitor gedunin causes apoptosis in A549 lung cancer cells by disrupting Hsp90:Beclin-1:Bcl-2 interaction and downregulating autophagy.热休克蛋白 90 抑制剂格尔德霉素通过破坏热休克蛋白 90:Beclin-1:Bcl-2 相互作用和下调自噬引起 A549 肺癌细胞凋亡。
Life Sci. 2020 Sep 1;256:118000. doi: 10.1016/j.lfs.2020.118000. Epub 2020 Jun 22.
7
Targeting Bcl-2-mediated cell death as a novel therapy in pancreatic cancer.以 Bcl-2 介导的细胞死亡为靶点的胰腺癌新型治疗策略。
J Surg Res. 2010 Oct;163(2):276-81. doi: 10.1016/j.jss.2010.02.021. Epub 2010 Mar 12.
8
Tanshinone I induces apoptosis and pro-survival autophagy in gastric cancers.丹参酮I诱导胃癌细胞凋亡和促生存自噬。
Cancer Chemother Pharmacol. 2016 Jun;77(6):1171-81. doi: 10.1007/s00280-016-3034-6. Epub 2016 Apr 21.
9
Chalcone flavokawain B induces autophagic-cell death via reactive oxygen species-mediated signaling pathways in human gastric carcinoma and suppresses tumor growth in nude mice.查尔酮 flavokawain B 通过活性氧介导的信号通路诱导人胃癌细胞发生自噬性细胞死亡,并抑制裸鼠肿瘤生长。
Arch Toxicol. 2017 Oct;91(10):3341-3364. doi: 10.1007/s00204-017-1967-0. Epub 2017 Apr 3.
10
Growth inhibition and apoptosis-inducing effect on human cancer cells by RCE-4, a spirostanol saponin derivative from natural medicines.天然药物薯蓣皂素衍生化合物 RCE-4 对人癌细胞的生长抑制和诱导凋亡作用。
Int J Mol Med. 2013 Jan;31(1):219-24. doi: 10.3892/ijmm.2012.1178. Epub 2012 Nov 9.

引用本文的文献

1
Overexpression of BNIP3 in renal carcinoma cells can promote apoptosis of renal carcinoma cells through HIF-1α-BNIP3-mediated autophagy.BNIP3在肾癌细胞中的过表达可通过HIF-1α-BNIP3介导的自噬促进肾癌细胞凋亡。
Front Oncol. 2025 Aug 5;15:1614378. doi: 10.3389/fonc.2025.1614378. eCollection 2025.
2
Beclin-1: a therapeutic target at the intersection of autophagy, immunotherapy, and cancer treatment.贝林1:自噬、免疫疗法与癌症治疗交叉领域的一个治疗靶点
Front Immunol. 2024 Nov 22;15:1506426. doi: 10.3389/fimmu.2024.1506426. eCollection 2024.
3
Editorial to Special Issue "Theme Issue Honoring Prof. Dr. Ludger Wessjohann's 60th Birthday: Natural Products in Modern Drug Discovery".

本文引用的文献

1
RCE‑4, a potential anti‑cervical cancer drug isolated from Reineckia carnea, induces autophagy via the dual blockade of PI3K and ERK pathways in cervical cancer CaSki cells.从 Reineckia carnea 中分离得到的潜在抗宫颈癌药物 RCE-4 通过双重阻断 PI3K 和 ERK 通路诱导宫颈癌 CaSki 细胞自噬。
Int J Mol Med. 2020 Jan;45(1):245-254. doi: 10.3892/ijmm.2019.4389. Epub 2019 Oct 31.
2
The crosstalk between autophagy and apoptosis was mediated by phosphorylation of Bcl-2 and beclin1 in benzene-induced hematotoxicity.苯致血液毒性中自噬与细胞凋亡的相互作用是通过 Bcl-2 和 beclin1 的磷酸化介导的。
Cell Death Dis. 2019 Oct 10;10(10):772. doi: 10.1038/s41419-019-2004-4.
3
特刊编辑:“主题特刊纪念 Ludger Wessjohann 教授 60 岁生日:现代药物发现中的天然产物”
Int J Mol Sci. 2022 May 23;23(10):5835. doi: 10.3390/ijms23105835.
Cancer and ER stress: Mutual crosstalk between autophagy, oxidative stress and inflammatory response.
癌症与内质网应激:自噬、氧化应激和炎症反应之间的相互串扰。
Biomed Pharmacother. 2019 Oct;118:109249. doi: 10.1016/j.biopha.2019.109249. Epub 2019 Jul 24.
4
JNK1 regulates RANKL-induced osteoclastogenesis activation of a novel Bcl-2-Beclin1-autophagy pathway.JNK1 调控 RANKL 诱导的破骨细胞生成 激活一种新的 Bcl-2-Beclin1-自噬途径。
FASEB J. 2019 Oct;33(10):11082-11095. doi: 10.1096/fj.201802597RR. Epub 2019 Jul 11.
5
The precision prevention and therapy of HPV-related cervical cancer: new concepts and clinical implications.HPV 相关宫颈癌的精准预防与治疗:新理念与临床意义。
Cancer Med. 2018 Oct;7(10):5217-5236. doi: 10.1002/cam4.1501. Epub 2018 Sep 14.
6
The interaction of Atg4B and Bcl-2 plays an important role in Cd-induced crosstalk between apoptosis and autophagy through disassociation of Bcl-2-Beclin1 in A549 cells.Atg4B 与 Bcl-2 的相互作用通过在 A549 细胞中使 Bcl-2-Beclin1 解聚在 Cd 诱导的细胞凋亡和自噬之间的串扰中发挥重要作用。
Free Radic Biol Med. 2019 Jan;130:576-591. doi: 10.1016/j.freeradbiomed.2018.11.020. Epub 2018 Nov 18.
7
Discovery of a small molecule targeting autophagy via ATG4B inhibition and cell death of colorectal cancer cells in vitro and in vivo.通过抑制 ATG4B 发现一种靶向自噬的小分子,并在体外和体内诱导结直肠癌细胞死亡。
Autophagy. 2019 Feb;15(2):295-311. doi: 10.1080/15548627.2018.1517073. Epub 2018 Sep 20.
8
Disruption of the beclin 1-BCL2 autophagy regulatory complex promotes longevity in mice.自噬调控复合物 beclin 1-BCL2 的破坏可促进小鼠长寿。
Nature. 2018 Jun;558(7708):136-140. doi: 10.1038/s41586-018-0162-7. Epub 2018 May 30.
9
Programmed Cell Death, from a Cancer Perspective: An Overview.程序性细胞死亡,从癌症角度看:概述。
Mol Diagn Ther. 2018 Jun;22(3):281-295. doi: 10.1007/s40291-018-0329-9.
10
Prognostic value of autophagy related proteins ULK1, Beclin 1, ATG3, ATG5, ATG7, ATG9, ATG10, ATG12, LC3B and p62/SQSTM1 in gastric cancer.自噬相关蛋白ULK1、Beclin 1、ATG3、ATG5、ATG7、ATG9、ATG10、ATG12、LC3B和p62/SQSTM1在胃癌中的预后价值
Am J Transl Res. 2016 Sep 15;8(9):3831-3847. eCollection 2016.