• 文献检索
  • 文档翻译
  • 深度研究
  • 学术资讯
  • Suppr Zotero 插件Zotero 插件
  • 邀请有礼
  • 套餐&价格
  • 历史记录
应用&插件
Suppr Zotero 插件Zotero 插件浏览器插件Mac 客户端Windows 客户端微信小程序
定价
高级版会员购买积分包购买API积分包
服务
文献检索文档翻译深度研究API 文档MCP 服务
关于我们
关于 Suppr公司介绍联系我们用户协议隐私条款
关注我们

Suppr 超能文献

核心技术专利:CN118964589B侵权必究
粤ICP备2023148730 号-1Suppr @ 2026

文献检索

告别复杂PubMed语法,用中文像聊天一样搜索,搜遍4000万医学文献。AI智能推荐,让科研检索更轻松。

立即免费搜索

文件翻译

保留排版,准确专业,支持PDF/Word/PPT等文件格式,支持 12+语言互译。

免费翻译文档

深度研究

AI帮你快速写综述,25分钟生成高质量综述,智能提取关键信息,辅助科研写作。

立即免费体验

内镜超声引导下门静脉线圈栓塞术:介入性内镜超声检查的故障排除

Endoscopic ultrasound-guided portal vein coiling: troubleshooting interventional endoscopic ultrasonography.

作者信息

Haba Shin, Hara Kazuo, Mizuno Nobumasa, Kuwahara Takamichi, Okuno Nozomi, Miyano Akira, Fumihara Daiki, Elshair Moaz

机构信息

Department of Gastroenterology, Aichi Cancer Center Hospital, Nagoya, Japan.

出版信息

Clin Endosc. 2022 May;55(3):458-462. doi: 10.5946/ce.2021.114. Epub 2021 Nov 30.

DOI:10.5946/ce.2021.114
PMID:34844401
原文链接:https://pmc.ncbi.nlm.nih.gov/articles/PMC9178145/
Abstract

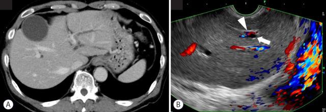
Endoscopic ultrasound (EUS)-guided hepaticogastrostomy (HGS) is widely performed not only as an alternative to transpapillary biliary drainage, but also as primary drainage for malignant biliary obstruction. For anatomical reasons, this technique carries an unavoidable risk of mispuncturing intrahepatic vessels. We report a technique for troubleshooting EUS-guided portal vein coiling to prevent bleeding from the intrahepatic portal vein after mispuncture during interventional EUS. EUS-HGS was planned for a 59-year-old male patient with unresectable pancreatic cancer. The dilated bile duct (lumen diameter, 2.8 mm) was punctured with a 19-gauge needle, and a guidewire was inserted. After bougie dilation, the guidewire was found to be inside the intrahepatic portal vein. Embolizing coils were placed to prevent bleeding. Embolization coils were successfully inserted under stabilization of the catheter using a double-lumen cannula with a guidewire. Following these procedures, the patient was asymptomatic. Computed tomography performed the next day revealed no complications.

摘要

内镜超声(EUS)引导下肝胃吻合术(HGS)不仅作为经乳头胆管引流的替代方法被广泛应用,还作为恶性胆管梗阻的主要引流手段。由于解剖学原因,该技术存在不可避免的误穿肝内血管的风险。我们报告一种用于解决EUS引导下门静脉盘绕的技术,以防止介入性EUS过程中误穿后肝内门静脉出血。计划对一名59岁不可切除胰腺癌男性患者行EUS-HGS。用19号针穿刺扩张的胆管(管腔直径2.8mm),并插入导丝。探条扩张后,发现导丝位于肝内门静脉内。放置栓塞线圈以防止出血。使用带导丝的双腔套管在导管稳定的情况下成功插入栓塞线圈。经过这些操作,患者无症状。次日进行的计算机断层扫描显示无并发症。

https://cdn.ncbi.nlm.nih.gov/pmc/blobs/c583/9178145/0beabf5dac5c/ce-2021-114f3.jpg
https://cdn.ncbi.nlm.nih.gov/pmc/blobs/c583/9178145/cd847e280f0c/ce-2021-114f1.jpg
https://cdn.ncbi.nlm.nih.gov/pmc/blobs/c583/9178145/40ce26643341/ce-2021-114f2.jpg
https://cdn.ncbi.nlm.nih.gov/pmc/blobs/c583/9178145/0beabf5dac5c/ce-2021-114f3.jpg
https://cdn.ncbi.nlm.nih.gov/pmc/blobs/c583/9178145/cd847e280f0c/ce-2021-114f1.jpg
https://cdn.ncbi.nlm.nih.gov/pmc/blobs/c583/9178145/40ce26643341/ce-2021-114f2.jpg
https://cdn.ncbi.nlm.nih.gov/pmc/blobs/c583/9178145/0beabf5dac5c/ce-2021-114f3.jpg

相似文献

1
Endoscopic ultrasound-guided portal vein coiling: troubleshooting interventional endoscopic ultrasonography.内镜超声引导下门静脉线圈栓塞术:介入性内镜超声检查的故障排除
Clin Endosc. 2022 May;55(3):458-462. doi: 10.5946/ce.2021.114. Epub 2021 Nov 30.
2
A novel method of bilateral biliary decompression by EUS-guided hepaticogastrostomy with bridging stenting using the partial stent-in-stent method for reintervention of multiple metal stent failure.一种通过内镜超声引导下肝胃吻合术及使用部分支架套叠法进行桥接支架置入的双侧胆管减压新方法,用于对多个金属支架失败的再次干预。
VideoGIE. 2024 Mar 5;9(6):286-289. doi: 10.1016/j.vgie.2024.02.015. eCollection 2024 Jun.
3
Endoscopic Ultrasound-Guided Biliary Drainage: Endoscopic Ultrasound-Guided Hepaticogastrostomy in Malignant Biliary Obstruction.内镜超声引导下胆道引流:恶性胆道梗阻的内镜超声引导肝胃吻合术。
J Vis Exp. 2022 Mar 25(181). doi: 10.3791/63146.
4
Expanding indications for endoscopic ultrasound-guided hepaticogastrostomy for patients with insufficient dilatation of the intrahepatic bile duct using a 22G needle combined with a novel 0.018-inch guidewire (with video).使用22G针联合新型0.018英寸导丝对肝内胆管扩张不足患者进行内镜超声引导下肝胃吻合术的适应证扩展(附视频)
Dig Endosc. 2022 Jan;34(1):222-227. doi: 10.1111/den.14101. Epub 2021 Aug 17.
5
Utility of Endoscopic Ultrasound-Guided Hepaticogastrostomy with Antegrade Stenting for Malignant Biliary Obstruction after Failed Endoscopic Retrograde Cholangiopancreatography.内镜逆行胰胆管造影失败后,内镜超声引导下顺行支架置入肝胃吻合术治疗恶性胆管梗阻的效用
Oncology. 2017;93 Suppl 1:69-75. doi: 10.1159/000481233. Epub 2017 Dec 20.
6
Double guidewire technique stabilization procedure for endoscopic ultrasound-guided hepaticogastrostomy involving modifying the guidewire angle at the insertion site.双导丝技术稳定程序,用于内镜超声引导下肝胃造口术,包括在插入部位修改导丝角度。
Surg Endosc. 2022 Dec;36(12):8981-8991. doi: 10.1007/s00464-022-09350-3. Epub 2022 Aug 4.
7
Outcomes and limitations of endoscopic ultrasound-guided hepaticogastrostomy in malignant biliary obstruction.内镜超声引导下肝胃吻合术治疗恶性胆道梗阻的疗效和局限性。
BMC Gastroenterol. 2021 May 5;21(1):202. doi: 10.1186/s12876-021-01798-2.
8
Usefulness of endoscopic ultrasound-guided transhepatic biliary drainage with a 22-gauge fine-needle aspiration needle and 0.018-inch guidewire in the procedure's induction phase.在手术诱导阶段,使用22号细针穿刺针和0.018英寸导丝进行内镜超声引导下经肝胆汁引流的效用。
DEN Open. 2023 Oct 10;4(1):e297. doi: 10.1002/deo2.297. eCollection 2024 Apr.
9
Endoscopic Ultrasound-Guided Hepaticogastrostomy: Technical Review and Tips to Prevent Adverse Events.内镜超声引导下肝胃吻合术:技术综述及预防不良事件的技巧。
Gut Liver. 2021 Mar 15;15(2):196-205. doi: 10.5009/gnl20096.
10
A case of endoscopic ultrasound-guided hepaticogastrostomy for obstructive jaundice caused by intraductal papillary mucinous neoplasm-associated pancreatobiliary fistula.内镜超声引导下经肝胃吻合术治疗胰胆管瘘相关的胆管内乳头状黏液性肿瘤所致阻塞性黄疸 1 例。
Clin J Gastroenterol. 2021 Jun;14(3):893-898. doi: 10.1007/s12328-021-01355-0. Epub 2021 Feb 15.

本文引用的文献

1
Endoscopic Ultrasound-Guided Hepaticogastrostomy: Technical Review and Tips to Prevent Adverse Events.内镜超声引导下肝胃吻合术:技术综述及预防不良事件的技巧。
Gut Liver. 2021 Mar 15;15(2):196-205. doi: 10.5009/gnl20096.
2
Endoscopic ultrasonography-guided deployment of embolization coils and cyanoacrylate injection in gastric varices versus coiling alone: a randomized trial.内镜超声引导下栓塞线圈和氰基丙烯酸酯注射治疗胃静脉曲张与单纯线圈治疗的随机试验。
Endoscopy. 2020 Apr;52(4):268-275. doi: 10.1055/a-1123-9054. Epub 2020 Mar 3.
3
Endoscopic Ultrasound-Guided Vascular Therapy for Portoduodenal Fistula.
内镜超声引导下血管治疗十二指肠瘘
Clin Endosc. 2020 Nov;53(6):750-753. doi: 10.5946/ce.2019.167. Epub 2020 Feb 13.
4
Clinical Impact of the Intra-scope Channel Stent Release Technique in Preventing Stent Migration During EUS-Guided Hepaticogastrostomy.内镜超声引导下肝胆管穿刺引流术中内视镜通道支架释放技术预防支架移位的临床影响。
J Gastrointest Surg. 2018 Jul;22(7):1312-1318. doi: 10.1007/s11605-018-3758-1. Epub 2018 Apr 17.
5
Efficacy of the 6-mm fully covered self-expandable metal stent during endoscopic ultrasound-guided hepaticogastrostomy as a primary biliary drainage for the cases estimated difficult endoscopic retrograde cholangiopancreatography: A prospective clinical study.经内镜超声引导肝胃吻合术作为一种原发性胆汁引流术,6mm 全覆膜自膨式金属支架治疗预计难以行内镜逆行胰胆管造影术的病例的疗效:一项前瞻性临床研究。
J Gastroenterol Hepatol. 2018 Jul;33(7):1413-1421. doi: 10.1111/jgh.14112. Epub 2018 Mar 30.
6
Is EUS-guided drainage a suitable alternative technique in case of proximal biliary obstruction?对于近端胆管梗阻,超声内镜引导下引流是否是一种合适的替代技术?
Therap Adv Gastroenterol. 2017 Jul;10(7):537-544. doi: 10.1177/1756283X17702614. Epub 2017 Apr 20.
7
Optimal biliary access point and learning curve for endoscopic ultrasound-guided hepaticogastrostomy with transmural stenting.经壁支架置入内镜超声引导下肝胃吻合术的最佳胆管入路点及学习曲线
Therap Adv Gastroenterol. 2017 Jan;10(1):42-53. doi: 10.1177/1756283X16671671. Epub 2016 Oct 22.
8
Long-term outcomes of a newly developed hybrid metal stent for EUS-guided biliary drainage (with videos).一种新开发的用于超声内镜引导下胆道引流的混合金属支架的长期疗效(附视频)
Gastrointest Endosc. 2017 May;85(5):1067-1075. doi: 10.1016/j.gie.2016.09.010. Epub 2016 Sep 17.
9
Multicenter retrospective study of endoscopic ultrasound-guided biliary drainage for malignant biliary obstruction in Japan.日本内镜超声引导下恶性胆道梗阻胆道引流的多中心回顾性研究。
J Hepatobiliary Pancreat Sci. 2014 May;21(5):328-34. doi: 10.1002/jhbp.27. Epub 2013 Sep 11.
10
Management of bleeding after percutaneous transhepatic cholangiography or transhepatic biliary drain placement.经皮肝穿刺胆管造影术或经肝胆汁引流置管术后出血的处理
Tech Vasc Interv Radiol. 2008 Mar;11(1):60-71. doi: 10.1053/j.tvir.2008.05.007.