Suppr超能文献

低剂量甲氧苄啶/磺胺甲恶唑治疗已故供体肾移植受者肺炎的疗效

Efficacy of Low-Dose Trimethoprim/Sulfamethoxazole for the Treatment of Pneumonia in Deceased Donor Kidney Recipients.

作者信息

Ji Jianlei, Wang Qinghai, Huang Tao, Wang Ziyu, He Pingli, Guo Chen, Xu Weijia, Cao Yanwei, Dong Zhen, Wang Hongyang

机构信息

Department of Kidney Transplantation, the Affiliated Hospital of Qingdao University, Qingdao, 266000, People's Republic of China.

出版信息

Infect Drug Resist. 2021 Nov 24;14:4913-4920. doi: 10.2147/IDR.S339622. eCollection 2021.

Abstract

BACKGROUND

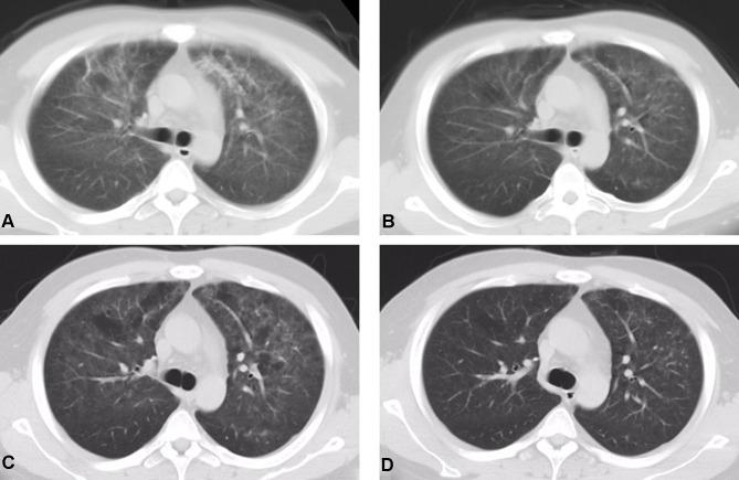
Trimethoprim/sulfamethoxazole (TMP-SMX) is considered the first-choice treatment for pneumonia (PJP) in recipients of solid organ transplantation. However, this treatment is associated with various severe adverse events that might not be tolerable for some renal transplant recipients, and the optimal dose remains elusive. The present study assessed the efficacy of low-dose TMP-SMX in recipients of a deceased donor kidney.

METHODS

A total of 37 adult deceased donor kidney recipients who suffered PJP between January 2015 and June 2020 were included. The survival rates of the patients and grafts, the rate of invasive ventilation, and adverse events, including gastrointestinal discomfort, hematologic side effects, hyperkalemia, and renal function impairments, were assessed.

RESULTS

The patient and graft survival rates were both 100%. Two patients (5.4%) required invasive ventilation. Eight patients (21.6%) reported gastrointestinal discomfort, but none required dose reduction or discontinued treatment. The frequencies of hematologic side effects, hyperkalemia and impaired kidney function were 5.4% (2/37), 2.7% (1/37), and 2.7% (1/37), respectively.

CONCLUSION

Optimization of TMP-SMX dose may reduce the risk of adverse events without compromising efficacy for the treatment of PJP in deceased donor kidney recipients.

摘要

背景

甲氧苄啶/磺胺甲恶唑(TMP-SMX)被认为是实体器官移植受者肺炎(肺孢子菌肺炎,PJP)的首选治疗药物。然而,这种治疗与各种严重不良事件相关,对于一些肾移植受者来说可能无法耐受,并且最佳剂量仍不明确。本研究评估了低剂量TMP-SMX在已故供体肾移植受者中的疗效。

方法

纳入2015年1月至2020年6月期间共37例发生PJP的成年已故供体肾移植受者。评估患者和移植物的生存率、有创通气率以及不良事件,包括胃肠道不适、血液学副作用、高钾血症和肾功能损害。

结果

患者和移植物的生存率均为100%。2例患者(5.4%)需要有创通气。8例患者(21.6%)报告有胃肠道不适,但均无需减量或停药。血液学副作用、高钾血症和肾功能损害的发生率分别为5.4%(2/37)、2.7%(1/37)和2.7%(1/37)。

结论

优化TMP-SMX剂量可降低不良事件风险,且不影响已故供体肾移植受者治疗PJP的疗效。

https://cdn.ncbi.nlm.nih.gov/pmc/blobs/2e28/8628180/3395c082fc70/IDR-14-4913-g0001.jpg

文献AI研究员

20分钟写一篇综述,助力文献阅读效率提升50倍。

立即体验

用中文搜PubMed

大模型驱动的PubMed中文搜索引擎

马上搜索

文档翻译

学术文献翻译模型,支持多种主流文档格式。

立即体验