• 文献检索
  • 文档翻译
  • 深度研究
  • 学术资讯
  • Suppr Zotero 插件Zotero 插件
  • 邀请有礼
  • 套餐&价格
  • 历史记录
应用&插件
Suppr Zotero 插件Zotero 插件浏览器插件Mac 客户端Windows 客户端微信小程序
定价
高级版会员购买积分包购买API积分包
服务
文献检索文档翻译深度研究API 文档MCP 服务
关于我们
关于 Suppr公司介绍联系我们用户协议隐私条款
关注我们

Suppr 超能文献

核心技术专利:CN118964589B侵权必究
粤ICP备2023148730 号-1Suppr @ 2026

文献检索

告别复杂PubMed语法,用中文像聊天一样搜索,搜遍4000万医学文献。AI智能推荐,让科研检索更轻松。

立即免费搜索

文件翻译

保留排版,准确专业,支持PDF/Word/PPT等文件格式,支持 12+语言互译。

免费翻译文档

深度研究

AI帮你快速写综述,25分钟生成高质量综述,智能提取关键信息,辅助科研写作。

立即免费体验

细胞角蛋白17在口腔癌发生过程中的诊断价值:一项免疫组织化学研究。

Diagnostic Value of Cytokeratin 17 during Oral Carcinogenesis: An Immunohistochemical Study.

作者信息

Sanguansin Sirima, Kosanwat Theerachai, Juengsomjit Rachai, Poomsawat Sopee

机构信息

Department of Oral Biology, Faculty of Dentistry, Mahidol University, Bangkok, Thailand.

Department of Oral and Maxillofacial Pathology, Faculty of Dentistry, Mahidol University, Bangkok, Thailand.

出版信息

Int J Dent. 2021 Nov 22;2021:4089549. doi: 10.1155/2021/4089549. eCollection 2021.

DOI:10.1155/2021/4089549
PMID:34853592
原文链接:https://pmc.ncbi.nlm.nih.gov/articles/PMC8629611/
Abstract

BACKGROUND

Little is known about the role of cytokeratin 17 (CK17) during oral carcinogenesis. CK17 expression in oral leukoplakia (OL), the most encountered oral potentially malignant disorders and oral squamous cell carcinoma (OSCC), remains very limited. To determine the role of CK17 during oral carcinogenesis and its potential diagnostic marker in oral premalignant and malignant lesions, this study evaluated CK17 expression in OL without dysplasia, OL with dysplasia, and OSCC. CK17 expression in these tissues was compared with those of normal oral mucosa (NOM). Additionally, the relationship between CK17 expression and clinicopathologic factors of OSCC was investigated.

METHODS

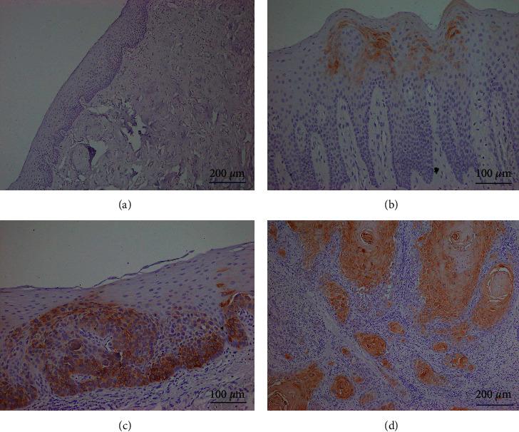
CK17 expression was evaluated in 186 samples consisting of 12 NOM, 33 OL without dysplasia, 58 OL with dysplasia, and 83 OSCC using immunohistochemistry. The proportion of positively immunostained cells was evaluated and scored.

RESULTS

CK17 was expressed in 8.3%, 54.5%, 74.1%, and 90.4% of NOM, OL without dysplasia, OL with dysplasia, and OSCC, respectively. NOM had a significantly lower CK17 score than OL with dysplasia (=0.0003) and OSCC ( < 0.0001). A significant association between CK17 expression and histopathologic differentiation of OSCC was found. Tumors with well differentiation had high CK17 expression compared with those of moderate and poor differentiation.

CONCLUSION

CK17 was overexpressed in OL with dysplasia and OSCC, suggesting that CK17 plays a pivotal role in the development of premalignant lesions and OSCC. Of clinical significance, CK17 may be a good diagnostic marker for oral premalignant lesions and OSCC. Additionally, CK17 could be used as an objective tool to classify histopathologic grade in OSCC. The findings that CK17 expression is high in OSCC but low in NOM imply that CK17 may serve as a potential therapeutic target for OSCC.

摘要

背景

关于细胞角蛋白17(CK17)在口腔癌发生过程中的作用知之甚少。CK17在口腔白斑(OL)、最常见的口腔潜在恶性疾病以及口腔鳞状细胞癌(OSCC)中的表达仍然非常有限。为了确定CK17在口腔癌发生过程中的作用及其在口腔癌前病变和恶性病变中的潜在诊断标志物,本研究评估了CK17在无发育异常的OL、有发育异常的OL以及OSCC中的表达情况。将这些组织中CK17的表达与正常口腔黏膜(NOM)的表达进行了比较。此外,还研究了CK17表达与OSCC临床病理因素之间的关系。

方法

采用免疫组织化学方法评估了186个样本中CK17的表达情况,这些样本包括12例NOM、33例无发育异常的OL、58例有发育异常的OL以及83例OSCC。对免疫染色阳性细胞的比例进行了评估和评分。

结果

CK17在NOM、无发育异常的OL、有发育异常的OL以及OSCC中的表达率分别为8.3%、54.5%、74.1%和90.4%。NOM的CK17评分显著低于有发育异常的OL(=0.0003)和OSCC(<0.0001)。发现CK17表达与OSCC的组织病理学分化之间存在显著关联。与中分化和低分化肿瘤相比,高分化肿瘤的CK17表达较高。

结论

CK17在有发育异常的OL和OSCC中过表达,表明CK17在癌前病变和OSCC的发展中起关键作用。具有临床意义的是,CK17可能是口腔癌前病变和OSCC的良好诊断标志物。此外,CK17可作为一种客观工具来对OSCC的组织病理学分级进行分类。CK17在OSCC中表达高而在NOM中表达低的发现意味着CK17可能作为OSCC的潜在治疗靶点。

https://cdn.ncbi.nlm.nih.gov/pmc/blobs/2264/8629611/7dff33c38743/IJD2021-4089549.003.jpg
https://cdn.ncbi.nlm.nih.gov/pmc/blobs/2264/8629611/41dc83f157ee/IJD2021-4089549.001.jpg
https://cdn.ncbi.nlm.nih.gov/pmc/blobs/2264/8629611/514396d339d1/IJD2021-4089549.002.jpg
https://cdn.ncbi.nlm.nih.gov/pmc/blobs/2264/8629611/7dff33c38743/IJD2021-4089549.003.jpg
https://cdn.ncbi.nlm.nih.gov/pmc/blobs/2264/8629611/41dc83f157ee/IJD2021-4089549.001.jpg
https://cdn.ncbi.nlm.nih.gov/pmc/blobs/2264/8629611/514396d339d1/IJD2021-4089549.002.jpg
https://cdn.ncbi.nlm.nih.gov/pmc/blobs/2264/8629611/7dff33c38743/IJD2021-4089549.003.jpg

相似文献

1
Diagnostic Value of Cytokeratin 17 during Oral Carcinogenesis: An Immunohistochemical Study.细胞角蛋白17在口腔癌发生过程中的诊断价值:一项免疫组织化学研究。
Int J Dent. 2021 Nov 22;2021:4089549. doi: 10.1155/2021/4089549. eCollection 2021.
2
Investigation of the Vascular-Endothelial Pattern of Expression of DAPK-1 in Oral Squamous Cell Carcinoma and Oral Potentially Malignant Disorders Through Immunohistochemistry.通过免疫组织化学法研究口腔鳞状细胞癌和口腔潜在恶性疾病中DAPK-1的血管内皮表达模式
Cureus. 2024 Jun 30;16(6):e63519. doi: 10.7759/cureus.63519. eCollection 2024 Jun.
3
Diagnostic potential of Type VII Collagen during oral carcinogenesis.VII 型胶原蛋白在口腔癌变过程中的诊断潜力。
J Appl Oral Sci. 2023 May 15;31:e20220486. doi: 10.1590/1678-7757-2022-0486. eCollection 2023.
4
Epithelial and fibroblast SPARC expression patterns in oral leukoplakia and oral squamous cell carcinoma.口腔白斑病和口腔鳞状细胞癌中上皮细胞和成纤维细胞 SPARC 的表达模式。
Oral Surg Oral Med Oral Pathol Oral Radiol. 2022 Aug;134(2):e44-e50. doi: 10.1016/j.oooo.2021.10.019. Epub 2021 Oct 31.
5
Association of cytokeratin 17 expression with differentiation in oral squamous cell carcinoma.细胞角蛋白 17 表达与口腔鳞状细胞癌分化的关系。
J Cancer Res Clin Oncol. 2012 Aug;138(8):1299-310. doi: 10.1007/s00432-012-1202-6. Epub 2012 Apr 3.
6
Overexpression of cytokeratin 17 protein in oral squamous cell carcinoma in vitro and in vivo.细胞角蛋白17蛋白在口腔鳞状细胞癌中的体外和体内过表达。
Oral Dis. 2009 Jan;15(1):111-7. doi: 10.1111/j.1601-0825.2008.01501.x. Epub 2008 Nov 3.
7
Subcellular localization and expression of E-cadherin and SNAIL are relevant since early stages of oral carcinogenesis.自口腔癌发生的早期阶段起,E-钙黏蛋白和SNAIL的亚细胞定位及表达就具有相关性。
Pathol Res Pract. 2018 Aug;214(8):1185-1191. doi: 10.1016/j.prp.2018.06.004. Epub 2018 Jun 20.
8
An immunohistochemical evaluation of podoplanin expression in oral leukoplakia and oral squamous cell carcinoma to explore its potential to be used as a predictor for malignant transformation.对口腔白斑和口腔鳞状细胞癌中血小板内皮细胞黏附分子-1表达进行免疫组织化学评估,以探讨其作为恶性转化预测指标的潜力。
J Oral Maxillofac Pathol. 2019 Jan-Apr;23(1):159. doi: 10.4103/jomfp.JOMFP_272_17.
9
Overexpression of survivin and caspase 3 in oral carcinogenesis.生存素与半胱天冬酶-3在口腔癌发生过程中的过表达
Appl Immunohistochem Mol Morphol. 2014 Jan;22(1):65-71. doi: 10.1097/PAI.0b013e31828a0d0c.
10
Evaluation of salivary MMP-9 in oral squamous cell carcinoma and oral leukoplakia using ELISA.使用酶联免疫吸附测定法评估口腔鳞状细胞癌和口腔白斑中唾液基质金属蛋白酶-9的含量。
J Oral Maxillofac Pathol. 2023 Oct-Dec;27(4):649-654. doi: 10.4103/jomfp.jomfp_426_23. Epub 2023 Dec 20.

引用本文的文献

1
Expression of CK17 and SOX2 in Vulvar Intraepithelial Neoplasia: A Comprehensive Analysis of 150 Vulvar Lesions.细胞角蛋白17和SOX2在外阴上皮内瘤变中的表达:150例外阴病变的综合分析
Cancers (Basel). 2024 Nov 26;16(23):3966. doi: 10.3390/cancers16233966.
2
Keratins 6, 16, and 17 in Health and Disease: A Summary of Recent Findings.健康与疾病中的角蛋白6、16和17:近期研究结果总结
Curr Issues Mol Biol. 2024 Aug 6;46(8):8627-8641. doi: 10.3390/cimb46080508.
3
Unraveling the Keratin Expression in Oral Leukoplakia: A Scoping Review.揭开口腔白斑病中角蛋白表达的奥秘:一项范围综述。

本文引用的文献

1
Identification of Novel Candidate Biomarkers for Oral Squamous Cell Carcinoma Based on Whole Gene Expression Profiling.基于全基因表达谱分析鉴定口腔鳞状细胞癌的新型候选生物标志物。
Pathol Oncol Res. 2020 Oct;26(4):2315-2325. doi: 10.1007/s12253-020-00828-w. Epub 2020 May 29.
2
Malignant transformation rate of oral leukoplakia-systematic review.口腔白斑恶变率的系统评价。
Oral Surg Oral Med Oral Pathol Oral Radiol. 2020 Jun;129(6):600-611.e2. doi: 10.1016/j.oooo.2020.02.017. Epub 2020 Apr 2.
3
Atypical immunohistochemical patterns can complement the histopathological diagnosis of oral premalignant lesions.
Int J Mol Sci. 2024 May 21;25(11):5597. doi: 10.3390/ijms25115597.
4
The interplay of EMT and stemness driving malignant transformation of Oral Submucous Fibrosis.上皮-间质转化(EMT)与干性的相互作用驱动口腔黏膜下纤维化的恶性转化。
J Oral Biol Craniofac Res. 2024 Jan-Feb;14(1):63-71. doi: 10.1016/j.jobcr.2023.12.006. Epub 2024 Jan 1.
5
Stress Keratin 17 Is a Predictive Biomarker Inversely Associated with Response to Immune Check-Point Blockade in Head and Neck Squamous Cell Carcinomas and Beyond.应激角蛋白17是一种预测性生物标志物,与头颈部鳞状细胞癌及其他癌症中免疫检查点阻断治疗的反应呈负相关。
Cancers (Basel). 2023 Oct 9;15(19):4905. doi: 10.3390/cancers15194905.
6
Utility of CK8, CK10, CK13, and CK17 in Differential Diagnostics of Benign Lesions, Laryngeal Dysplasia, and Laryngeal Squamous Cell Carcinoma.细胞角蛋白8、细胞角蛋白10、细胞角蛋白13和细胞角蛋白17在良性病变、喉发育异常和喉鳞状细胞癌鉴别诊断中的应用
Diagnostics (Basel). 2022 Dec 16;12(12):3203. doi: 10.3390/diagnostics12123203.
7
Differentially expressed genes related to lymph node metastasis in advanced laryngeal squamous cell cancers.晚期喉鳞状细胞癌中与淋巴结转移相关的差异表达基因。
Oncol Lett. 2022 Sep 26;24(5):409. doi: 10.3892/ol.2022.13529. eCollection 2022 Nov.
8
Diagnostic Utility of Cytokeratin 17 Expression in Oral Squamous Cell Carcinoma: A Review.细胞角蛋白17表达在口腔鳞状细胞癌中的诊断效用:综述
Cureus. 2022 Jul 19;14(7):e27041. doi: 10.7759/cureus.27041. eCollection 2022 Jul.
非典型免疫组化模式可辅助口腔癌前病变的组织病理学诊断。
J Oral Biosci. 2020 Mar;62(1):93-98. doi: 10.1016/j.job.2020.01.003. Epub 2020 Jan 31.
4
Fundamental Concepts for Semiquantitative Tissue Scoring in Translational Research.转化研究中半定量组织评分的基本概念
ILAR J. 2018 Dec 1;59(1):13-17. doi: 10.1093/ilar/ily025.
5
Elevated expression of keratin 17 in oropharyngeal squamous cell carcinoma is associated with decreased survival.角化蛋白 17 在口咽鳞状细胞癌中的高表达与降低的生存率相关。
Head Neck. 2018 Aug;40(8):1788-1798. doi: 10.1002/hed.25164. Epub 2018 Apr 6.
6
Decreasing cytokeratin 17 expression in head and neck cancer predicts nodal metastasis and poor prognosis: The first evidence.头颈部癌中细胞角蛋白17表达降低预示着淋巴结转移和不良预后:首个证据。
Clin Otolaryngol. 2018 Aug;43(4):1010-1018. doi: 10.1111/coa.13092. Epub 2018 Apr 16.
7
Cytokeratin 17 mRNA as a prognostic marker of oral squamous cell carcinoma.细胞角蛋白17信使核糖核酸作为口腔鳞状细胞癌的预后标志物
Oncol Lett. 2017 Dec;14(6):6735-6743. doi: 10.3892/ol.2017.7066. Epub 2017 Sep 26.
8
Keratin 17 Is Induced in Oral Cancer and Facilitates Tumor Growth.角蛋白17在口腔癌中被诱导表达并促进肿瘤生长。
PLoS One. 2016 Aug 11;11(8):e0161163. doi: 10.1371/journal.pone.0161163. eCollection 2016.
9
Proteomics Analysis Reveals Involvement of Krt17 in Areca Nut-Induced Oral Carcinogenesis.蛋白质组学分析揭示角蛋白17参与槟榔诱导的口腔癌发生。
J Proteome Res. 2016 Sep 2;15(9):2981-97. doi: 10.1021/acs.jproteome.6b00138. Epub 2016 Aug 4.
10
Keratins 17 and 19 expression as prognostic markers in oral squamous cell carcinoma.角蛋白17和19的表达作为口腔鳞状细胞癌的预后标志物
Genet Mol Res. 2015 Nov 25;14(4):15123-32. doi: 10.4238/2015.November.24.21.