• 文献检索
  • 文档翻译
  • 深度研究
  • 学术资讯
  • Suppr Zotero 插件Zotero 插件
  • 邀请有礼
  • 套餐&价格
  • 历史记录
应用&插件
Suppr Zotero 插件Zotero 插件浏览器插件Mac 客户端Windows 客户端微信小程序
定价
高级版会员购买积分包购买API积分包
服务
文献检索文档翻译深度研究API 文档MCP 服务
关于我们
关于 Suppr公司介绍联系我们用户协议隐私条款
关注我们

Suppr 超能文献

核心技术专利:CN118964589B侵权必究
粤ICP备2023148730 号-1Suppr @ 2026

文献检索

告别复杂PubMed语法,用中文像聊天一样搜索,搜遍4000万医学文献。AI智能推荐,让科研检索更轻松。

立即免费搜索

文件翻译

保留排版,准确专业,支持PDF/Word/PPT等文件格式,支持 12+语言互译。

免费翻译文档

深度研究

AI帮你快速写综述,25分钟生成高质量综述,智能提取关键信息,辅助科研写作。

立即免费体验

阑尾腔内气体:坏疽性阑尾炎的CT标志物

Appendiceal Intraluminal Gas: A CT Marker for Gangrenous Appendicitis.

作者信息

Ip Chantelle, Wang Edward H, Croft Michael, Lim Wanyin

机构信息

Royal Adelaide Hospital, Port Road, Adelaide 5000, Australia.

Flinders Medical Centre, Flinders Dr, Bedford Park 5042, Australia.

出版信息

Radiol Res Pract. 2021 Nov 22;2021:7191348. doi: 10.1155/2021/7191348. eCollection 2021.

DOI:10.1155/2021/7191348
PMID:34853706
原文链接:https://pmc.ncbi.nlm.nih.gov/articles/PMC8629666/
Abstract

INTRODUCTION

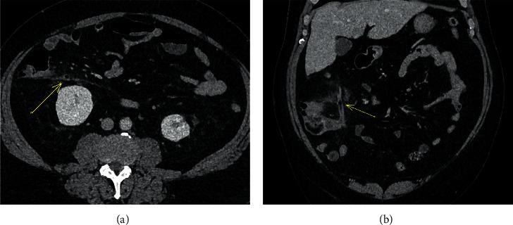
This manuscript aims to investigate the amount of intraluminal gas in acute, nonperforated appendicitis identified on computed tomography (CT) in diagnosing gangrenous appendicitis.

METHODS

This is a retrospective observational, case-control study with consecutive data collected at a tertiary institution over a two-year period, of patients with CT-diagnosed acute appendicitis who subsequently went on for surgery within 48 hours. Patients who were less than 16 years old, who had an interval between CT and surgery of more than 48 hours, or with CT evidence of appendiceal perforation were excluded. Images were independently assessed by 3 radiologists for intraluminal gas, and the results were then correlated with reference standards obtained from surgical and histopathology reports for the diagnosis of nongangrenous versus gangrenous appendicitis. The sensitivity, specificity, and predictive values of CT intraluminal gas in gangrenous appendicitis were calculated.

RESULTS

Our study identified 93 patients with nonperforated acute appendicitis who underwent surgery within the stated timeframe. Intraluminal gas in the appendix was identified in 26 patients (28%), of which 54% had macroscopic and/or microscopic evidence of gangrenous appendicitis. This is in contrast to the subgroup of patients who did not have intraluminal gas (72%), of which only 33% had gangrenous appendicitis. The specificity of intraluminal gas for gangrenous appendicitis is 79%, with a negative predictive value of 86% and likelihood ratio of 1.85.

CONCLUSION

In cases of established acute appendicitis, the presence of intraluminal gas is a moderately specific sign for gangrenous complication. This is worth reporting as it can help prognosticate and triage patients accordingly, for a timelier surgical management and a better outcome.

摘要

引言

本手稿旨在研究计算机断层扫描(CT)诊断急性非穿孔性阑尾炎时阑尾腔内气体量在诊断坏疽性阑尾炎中的作用。

方法

这是一项回顾性观察性病例对照研究,在两年时间内,于一家三级医疗机构连续收集数据,研究对象为CT诊断为急性阑尾炎且随后在48小时内接受手术的患者。排除年龄小于16岁、CT检查与手术间隔超过48小时或有阑尾穿孔CT证据的患者。3名放射科医生独立评估图像中的腔内气体情况,然后将结果与手术和组织病理学报告中用于诊断非坏疽性与坏疽性阑尾炎的参考标准进行对比。计算CT腔内气体对坏疽性阑尾炎的敏感性、特异性和预测值。

结果

我们的研究确定了93例在规定时间内接受手术的非穿孔性急性阑尾炎患者。26例(28%)患者阑尾腔内有气体,其中54%有坏疽性阑尾炎的宏观和/或微观证据。相比之下,阑尾腔内无气体的患者亚组(72%)中,只有33%有坏疽性阑尾炎。腔内气体对坏疽性阑尾炎的特异性为79%,阴性预测值为86%,似然比为1.85。

结论

在已确诊的急性阑尾炎病例中,腔内气体的存在是坏疽性并发症的一个中等特异性体征。这一点值得报告,因为它有助于对患者进行预后评估和分类,从而实现更及时的手术管理并获得更好的治疗效果。

https://cdn.ncbi.nlm.nih.gov/pmc/blobs/0538/8629666/9acbef9a2ab8/RRP2021-7191348.004.jpg
https://cdn.ncbi.nlm.nih.gov/pmc/blobs/0538/8629666/1263a98c68f2/RRP2021-7191348.001.jpg
https://cdn.ncbi.nlm.nih.gov/pmc/blobs/0538/8629666/b4782e90e175/RRP2021-7191348.002.jpg
https://cdn.ncbi.nlm.nih.gov/pmc/blobs/0538/8629666/3fb334d21e72/RRP2021-7191348.003.jpg
https://cdn.ncbi.nlm.nih.gov/pmc/blobs/0538/8629666/9acbef9a2ab8/RRP2021-7191348.004.jpg
https://cdn.ncbi.nlm.nih.gov/pmc/blobs/0538/8629666/1263a98c68f2/RRP2021-7191348.001.jpg
https://cdn.ncbi.nlm.nih.gov/pmc/blobs/0538/8629666/b4782e90e175/RRP2021-7191348.002.jpg
https://cdn.ncbi.nlm.nih.gov/pmc/blobs/0538/8629666/3fb334d21e72/RRP2021-7191348.003.jpg
https://cdn.ncbi.nlm.nih.gov/pmc/blobs/0538/8629666/9acbef9a2ab8/RRP2021-7191348.004.jpg

相似文献

1
Appendiceal Intraluminal Gas: A CT Marker for Gangrenous Appendicitis.阑尾腔内气体:坏疽性阑尾炎的CT标志物
Radiol Res Pract. 2021 Nov 22;2021:7191348. doi: 10.1155/2021/7191348. eCollection 2021.
2
Differentiation of early perforated from nonperforated appendicitis: MDCT findings, MDCT diagnostic performance, and clinical outcome.早期穿孔性阑尾炎与非穿孔性阑尾炎的鉴别:多层螺旋CT表现、多层螺旋CT诊断效能及临床结局
Abdom Imaging. 2014 Jun;39(3):459-66. doi: 10.1007/s00261-014-0117-x.
3
Intraluminal air within an obstructed appendix: a CT sign of perforated or necrotic appendicitis.阑尾腔内积气:穿孔或坏疽性阑尾炎的 CT 征象。
Acad Radiol. 2012 Oct;19(10):1175-80. doi: 10.1016/j.acra.2012.04.018. Epub 2012 Jul 18.
4
The prevalence and patterns of intraluminal air in acute appendicitis at CT.CT检查中急性阑尾炎腔内气体的患病率及表现
Emerg Radiol. 2013 Jan;20(1):51-6. doi: 10.1007/s10140-012-1076-6. Epub 2012 Sep 21.
5
Postoperative Outcomes of Patients With Nonperforated Gangrenous Appendicitis: A National Multicenter Prospective Cohort Analysis.非穿孔坏疽性阑尾炎患者的术后结局:一项全国多中心前瞻性队列分析。
Dis Colon Rectum. 2019 Nov;62(11):1363-1370. doi: 10.1097/DCR.0000000000001466.
6
Perforated versus nonperforated acute appendicitis: accuracy of multidetector CT detection.穿孔性与非穿孔性急性阑尾炎:多层螺旋CT检测的准确性
Radiology. 2006 Dec;241(3):780-6. doi: 10.1148/radiol.2413051896.
7
CT in Differentiating Complicated From Uncomplicated Appendicitis: Presence of Any of 10 CT Features Versus Radiologists' Gestalt Assessment.CT 鉴别复杂与单纯性阑尾炎:10 项 CT 特征的存在与放射科医生的整体评估相比。
AJR Am J Roentgenol. 2019 Nov;213(5):W218-W227. doi: 10.2214/AJR.19.21331. Epub 2019 Aug 15.
8
Clinical predictors of gangrenous appendicitis: elevated total bilirubin level and computed tomography scan findings.坏疽性阑尾炎的临床预测因素:总胆红素水平升高及计算机断层扫描结果。
Acute Med Surg. 2021 Apr 1;8(1):e620. doi: 10.1002/ams2.620. eCollection 2021 Jan-Dec.
9
Dual-Energy CT in Differentiating Nonperforated Gangrenous Appendicitis From Uncomplicated Appendicitis.双能 CT 鉴别非穿孔坏疽性阑尾炎与单纯性阑尾炎。
AJR Am J Roentgenol. 2018 Oct;211(4):776-782. doi: 10.2214/AJR.17.19274. Epub 2018 Jul 31.
10
New CT criterion for acute appendicitis: maximum depth of intraluminal appendiceal fluid.急性阑尾炎的新CT标准:阑尾腔内液体的最大深度。
AJR Am J Roentgenol. 2007 May;188(5):1313-9. doi: 10.2214/AJR.06.1180.

本文引用的文献

1
An investigation into the factors predicting acute appendicitis and perforated appendicitis.探讨预测急性阑尾炎和穿孔性阑尾炎的因素。
Ulus Travma Acil Cerrahi Derg. 2021 Jul;27(4):434-442. doi: 10.14744/tjtes.2020.60344.
2
Imaging Pediatric Appendicitis: Time to Put the Discussion to Bed?小儿阑尾炎的影像学检查:是时候结束讨论了吗?
Radiology. 2018 Mar;286(3):1030-1032. doi: 10.1148/radiol.2017172706.
3
Systematic Review and Meta-Analysis of CT Features for Differentiating Complicated and Uncomplicated Appendicitis.系统评价和 CT 特征对鉴别复杂与单纯性阑尾炎的 Meta 分析
Radiology. 2018 Apr;287(1):104-115. doi: 10.1148/radiol.2017171260. Epub 2017 Nov 27.
4
Emergency appendicectomy in Australia: findings from a multicentre, prospective study.澳大利亚的急诊阑尾切除术:一项多中心前瞻性研究的结果
ANZ J Surg. 2017 Sep;87(9):656-660. doi: 10.1111/ans.14088. Epub 2017 Jul 7.
5
Acute appendicitis: modern understanding of pathogenesis, diagnosis, and management.急性阑尾炎:发病机制、诊断和治疗的现代认识。
Lancet. 2015 Sep 26;386(10000):1278-1287. doi: 10.1016/S0140-6736(15)00275-5.
6
The prevalence and patterns of intraluminal air in acute appendicitis at CT.CT检查中急性阑尾炎腔内气体的患病率及表现
Emerg Radiol. 2013 Jan;20(1):51-6. doi: 10.1007/s10140-012-1076-6. Epub 2012 Sep 21.
7
Gangrenous appendicitis in children: a prospective evaluation of definition, bacteriology, histopathology, and outcomes.儿童坏疽性阑尾炎:定义、细菌学、组织病理学和结局的前瞻性评估。
J Surg Res. 2012 Sep;177(1):123-6. doi: 10.1016/j.jss.2012.03.010. Epub 2012 Mar 30.
8
Reassessment of CT images to improve diagnostic accuracy in patients with suspected acute appendicitis and an equivocal preoperative CT interpretation.重新评估 CT 图像以提高疑似急性阑尾炎且术前 CT 解读不明确患者的诊断准确性。
Eur Radiol. 2012 Jun;22(6):1178-85. doi: 10.1007/s00330-011-2362-5. Epub 2011 Dec 23.
9
Negative appendectomy rate in the era of CT: an 18-year perspective.CT 时代的阴性阑尾切除率:18 年的观察。
Radiology. 2010 Aug;256(2):460-5. doi: 10.1148/radiol.10091570. Epub 2010 Jun 7.
10
Differentiation of perforated from nonperforated appendicitis at CT.CT 上穿孔性阑尾炎与非穿孔性阑尾炎的鉴别
Radiology. 2003 Apr;227(1):46-51. doi: 10.1148/radiol.2272020223. Epub 2003 Feb 28.