Suppr超能文献

CRMP4 介导的穹窿发育涉及 Semaphorin-3E 信号通路。

CRMP4-mediated fornix development involves Semaphorin-3E signaling pathway.

机构信息

Univ. Grenoble Alpes, Inserm, U1216, CEA, Grenoble Institut Neurosciences, Grenoble, France.

Univ. Grenoble Alpes, Inserm, CEA, UMR BioSanté U1292, CNRS, CEA, Grenoble, France.

出版信息

Elife. 2021 Dec 3;10:e70361. doi: 10.7554/eLife.70361.

Abstract

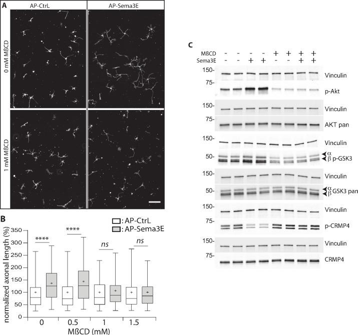
Neurodevelopmental axonal pathfinding plays a central role in correct brain wiring and subsequent cognitive abilities. Within the growth cone, various intracellular effectors transduce axonal guidance signals by remodeling the cytoskeleton. Semaphorin-3E (Sema3E) is a guidance cue implicated in development of the fornix, a neuronal tract connecting the hippocampus to the hypothalamus. Microtubule-associated protein 6 (MAP6) has been shown to be involved in the Sema3E growth-promoting signaling pathway. In this study, we identified the collapsin response mediator protein 4 (CRMP4) as a MAP6 partner and a crucial effector in Sema3E growth-promoting activity. CRMP4-KO mice displayed abnormal fornix development reminiscent of that observed in Sema3E-KO mice. CRMP4 was shown to interact with the Sema3E tripartite receptor complex within detergent- membrane (DRM) domains, and DRM domain integrity was required to transduce Sema3E signaling through the Akt/GSK3 pathway. Finally, we showed that the cytoskeleton-binding domain of CRMP4 is required for Sema3E's growth-promoting activity, suggesting that CRMP4 plays a role at the interface between Sema3E receptors, located in DRM domains, and the cytoskeleton network. As the fornix is affected in many psychiatric diseases, such as schizophrenia, our results provide new insights to better understand the neurodevelopmental components of these diseases.

摘要

神经发育轴突寻路在正确的大脑布线和随后的认知能力中起着核心作用。在生长锥内,各种细胞内效应器通过重塑细胞骨架来转导轴突导向信号。神经调节蛋白-3E(Sema3E)是一种与穹窿发育有关的导向线索,穹窿是连接海马体和下丘脑的神经元束。微管相关蛋白 6(MAP6)已被证明参与 Sema3E 促进生长的信号通路。在这项研究中,我们确定了 collapsin 反应介质蛋白 4(CRMP4)作为 MAP6 的伴侣和 Sema3E 促进生长活性的关键效应物。CRMP4-KO 小鼠表现出穹窿发育异常,类似于 Sema3E-KO 小鼠观察到的异常。CRMP4 被证明与 Sema3E 三聚体受体复合物在去污剂膜(DRM)域内相互作用,并且需要 DRM 域完整性来通过 Akt/GSK3 途径转导 Sema3E 信号。最后,我们表明 CRMP4 的细胞骨架结合域是 Sema3E 促进生长活性所必需的,这表明 CRMP4 在位于 DRM 域中的 Sema3E 受体和细胞骨架网络之间的界面处发挥作用。由于穹窿在许多精神疾病中受到影响,例如精神分裂症,我们的结果为更好地理解这些疾病的神经发育成分提供了新的见解。

https://cdn.ncbi.nlm.nih.gov/pmc/blobs/f6ca/8683083/f8a1769207be/elife-70361-fig1.jpg

文献检索

告别复杂PubMed语法,用中文像聊天一样搜索,搜遍4000万医学文献。AI智能推荐,让科研检索更轻松。

立即免费搜索

文件翻译

保留排版,准确专业,支持PDF/Word/PPT等文件格式,支持 12+语言互译。

免费翻译文档

深度研究

AI帮你快速写综述,25分钟生成高质量综述,智能提取关键信息,辅助科研写作。

立即免费体验