Suppr超能文献

老年患者的 IgA 血管炎模拟药物诱导的皮肤反应和感染性结肠炎:一例报告。

IgA vasculitis mimicking drug-induced skin reaction and infectious colitis in an elderly patient: A case report.

机构信息

Department of Internal Medicine, Research Institute of Clinical Medicine of Jeonbuk National University-Biomedical Research Institute of Jeonbuk National University Hospital, Jeonju, Republic of Korea.

出版信息

Medicine (Baltimore). 2021 Nov 5;100(44):e27726. doi: 10.1097/MD.0000000000027726.

Abstract

RATIONALE

Immunoglobulin A vasculitis (IgAV) in adults is rare and shows worse symptoms and prognosis. In real-life clinics, IgAV in elderly patients may be difficult to diagnose because of its rarity and other common diseases to consider. This study reports a case of IgAV mimicking drug-induced skin reaction in an elderly patient.

PATIENT CONCERNS

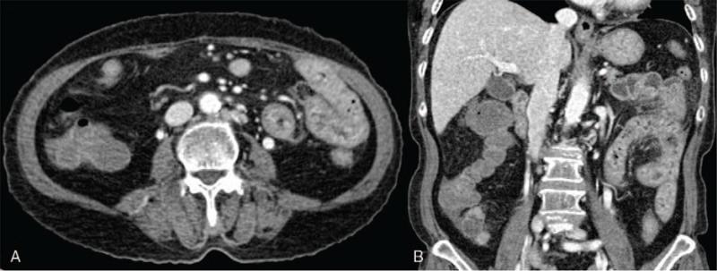
A 74-year-old female without any underlying disease presented to our emergency department as she was suffering from lower abdominal pain and diarrhea for 3 weeks. The patient was diagnosed with infectious colitis, and antibiotic treatment was administered at a local clinic. At presentation, the patient had rashes on both lower legs that developed after the antibiotic treatment, which was assumed as a drug eruption. Although antibiotic treatment was continued, the patient had persistent abdominal pain, diarrhea, hematochezia, and rashes. Proteinuria was developed on urinalysis.

DIAGNOSES

Infectious colitis, IgAV.

INTERVENTIONS

Sigmoidoscopy revealed easily bleeding erythematous mucosal lesions from the descending colon to the rectum. IgAV was suspected, and thus skin biopsy was performed. Histological findings of the skin biopsy showed leukocytoclastic vasculitis, which is compatible with IgAV. A nonsteroidal anti-inflammatory drug was administered for abdominal pain. The patient showed persistent proteinuria and a systemic steroid (prednisolone 50 mg [1 mg/kg]) was started.

OUTCOMES

After administration of the nonsteroidal anti-inflammatory drug, the patient's abdominal pain was resolved rapidly. Under systemic steroid treatment, the patient showed significant symptomatic improvements, and after 2 weeks, the skin and colonic mucosal lesions were completely resolved.

LESSONS

We present a case of adult-onset IgAV, which was initially diagnosed with infectious colitis and drug eruption. The history of skin reaction development after antibiotic treatment and the rarity of IgAV in elderly patients masked the diagnosis of IgAV. Despite its rarity, IgAV should be highly suspected in elderly patients with rashes, proteinuria, and signs of colitis.

摘要

背景

成人免疫球蛋白 A 血管炎(IgAV)较为罕见,症状和预后较差。在实际临床中,由于其罕见性和需要考虑其他常见疾病,老年患者的 IgAV 可能难以诊断。本研究报告了一例老年患者的 IgAV 表现为药物诱导的皮肤反应。

病例描述

一名 74 岁女性,无基础疾病,因腹痛和腹泻 3 周就诊于我院急诊科。患者被诊断为感染性结肠炎,并在当地诊所接受抗生素治疗。就诊时,患者双小腿出现皮疹,出现在抗生素治疗后,被认为是药物性皮疹。尽管继续使用抗生素,但患者仍持续腹痛、腹泻、血便和皮疹。尿液分析显示蛋白尿。

诊断

感染性结肠炎,IgAV。

干预措施

乙状结肠镜检查显示从降结肠到直肠的红斑性易出血黏膜病变。怀疑为 IgAV,因此进行了皮肤活检。皮肤活检的组织学发现为白细胞碎裂性血管炎,符合 IgAV。给予非甾体抗炎药治疗腹痛。患者持续蛋白尿,给予全身性皮质类固醇(泼尼松龙 50mg[1mg/kg])。

结果

给予非甾体抗炎药后,患者腹痛迅速缓解。在全身皮质类固醇治疗下,患者症状显著改善,2 周后皮肤和结肠黏膜病变完全消退。

教训

我们报告了一例成人发病的 IgAV,最初诊断为感染性结肠炎和药物性皮疹。抗生素治疗后出现皮肤反应和老年患者 IgAV 的罕见性掩盖了 IgAV 的诊断。尽管罕见,但对于出现皮疹、蛋白尿和结肠炎迹象的老年患者,应高度怀疑 IgAV。

https://cdn.ncbi.nlm.nih.gov/pmc/blobs/8ba4/8568418/8180d83f3a7f/medi-100-e27726-g001.jpg

文献AI研究员

20分钟写一篇综述,助力文献阅读效率提升50倍。

立即体验

用中文搜PubMed

大模型驱动的PubMed中文搜索引擎

马上搜索

文档翻译

学术文献翻译模型,支持多种主流文档格式。

立即体验