Zhongshan Hospital, Institutes of Biomedical Sciences, Fudan University, Shanghai 201508, China.
Shanghai Public Health Clinical Center, Fudan University, Shanghai 201508, China.
Proc Natl Acad Sci U S A. 2021 Dec 14;118(50). doi: 10.1073/pnas.2111011118.
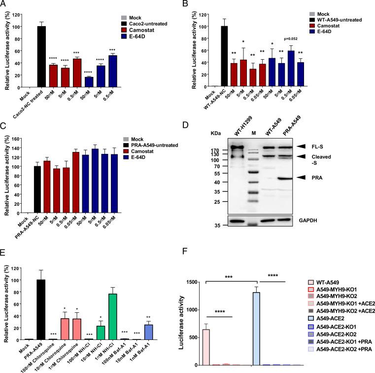
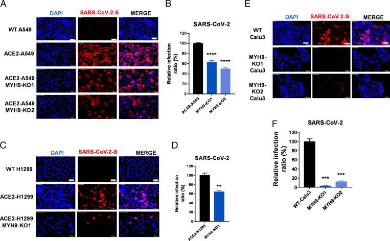
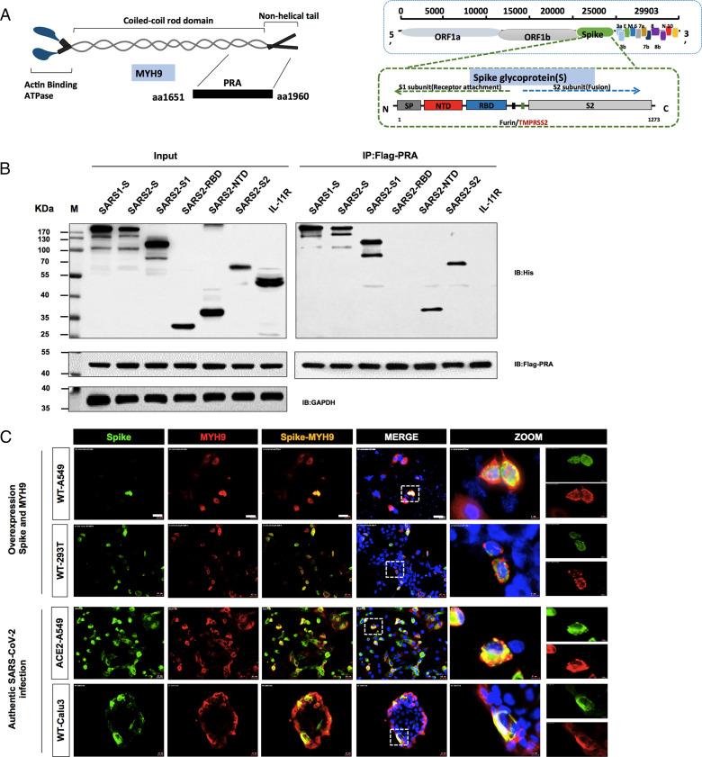
Severe acute respiratory syndrome coronavirus 2 (SARS-CoV-2), the causative agent of coronavirus disease 2019 (COVID-19), binds to host receptor angiotensin-converting enzyme 2 (ACE2) through its spike (S) glycoprotein, which mediates membrane fusion and viral entry. However, the expression of ACE2 is extremely low in a variety of human tissues, especially in the airways. Thus, other coreceptors and/or cofactors on the surface of host cells may contribute to SARS-CoV-2 infection. Here, we identified nonmuscle myosin heavy chain IIA (MYH9) as an important host factor for SARS-CoV-2 infection of human pulmonary cells by using APEX2 proximity-labeling techniques. Genetic ablation of MYH9 significantly reduced SARS-CoV-2 pseudovirus infection in wild type (WT) A549 and Calu-3 cells, and overexpression of MYH9 enhanced the pseudovirus infection in WT A549 and H1299 cells. MYH9 was colocalized with the SARS-CoV-2 S and directly interacted with SARS-CoV-2 S through the S2 subunit and S1-NTD (N-terminal domain) by its C-terminal domain (designated as PRA). Further experiments suggested that endosomal or myosin inhibitors effectively block the viral entry of SARS-CoV-2 into PRA-A549 cells, while transmembrane protease serine 2 (TMPRSS2) and cathepsin B and L (CatB/L) inhibitors do not, indicating that MYH9 promotes SARS-CoV-2 endocytosis and bypasses TMPRSS2 and CatB/L pathway. Finally, we demonstrated that loss of MYH9 reduces authentic SARS-CoV-2 infection in Calu-3, ACE2-A549, and ACE2-H1299 cells. Together, our results suggest that MYH9 is a candidate host factor for SARS-CoV-2, which mediates the virus entering host cells by endocytosis in an ACE2-dependent manner, and may serve as a potential target for future clinical intervention strategies.
严重急性呼吸综合征冠状病毒 2(SARS-CoV-2)是 2019 年冠状病毒病(COVID-19)的病原体,它通过其刺突(S)糖蛋白与宿主受体血管紧张素转换酶 2(ACE2)结合,介导膜融合和病毒进入。然而,ACE2 在多种人体组织中的表达极低,特别是在气道中。因此,宿主细胞表面的其他核心受体和/或辅助因子可能有助于 SARS-CoV-2 的感染。在这里,我们通过 APEX2 邻近标记技术鉴定出非肌肉肌球蛋白重链 IIA(MYH9)是 SARS-CoV-2 感染人肺细胞的重要宿主因子。在野生型(WT)A549 和 Calu-3 细胞中,MYH9 的基因缺失显著降低了 SARS-CoV-2 假病毒感染,而过表达 MYH9 增强了 WT A549 和 H1299 细胞中的假病毒感染。MYH9 与 SARS-CoV-2 S 共定位,并通过其 C 端结构域(命名为 PRA)与 SARS-CoV-2 S 的 S2 亚基和 S1-NTD(N 端结构域)直接相互作用。进一步的实验表明,内体或肌球蛋白抑制剂可有效阻断 SARS-CoV-2 进入 PRA-A549 细胞的病毒进入,而跨膜蛋白酶丝氨酸 2(TMPRSS2)和组织蛋白酶 B 和 L(CatB/L)抑制剂则不能,表明 MYH9 促进 SARS-CoV-2 的内吞作用并绕过 TMPRSS2 和 CatB/L 途径。最后,我们证明 MYH9 的缺失降低了 Calu-3、ACE2-A549 和 ACE2-H1299 细胞中真实 SARS-CoV-2 的感染。总之,我们的研究结果表明,MYH9 是 SARS-CoV-2 的候选宿主因子,它通过 ACE2 依赖性内吞作用介导病毒进入宿主细胞,并可能成为未来临床干预策略的潜在靶点。