Suppr超能文献

多种 RNA 病毒基质蛋白与 SLD5 相互作用以操纵宿主细胞周期。

Multiple RNA virus matrix proteins interact with SLD5 to manipulate host cell cycle.

机构信息

CAS Key Laboratory of Pathogenic Microbiology and Immunology, Institute of Microbiology, Chinese Academy of Sciences, Beijing 100101, PR China.

State Key Laboratory of Veterinary Biotechnology, Harbin Veterinary Research Institute, The Chinese Academy of Agricultural Sciences, Harbin 150069, PR China.

出版信息

J Gen Virol. 2021 Dec;102(12). doi: 10.1099/jgv.0.001697.

Abstract

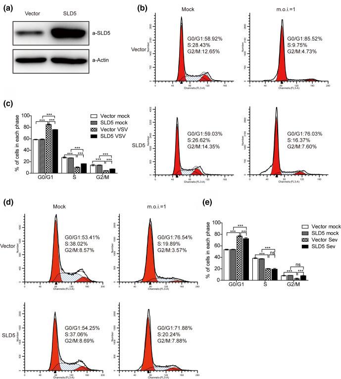
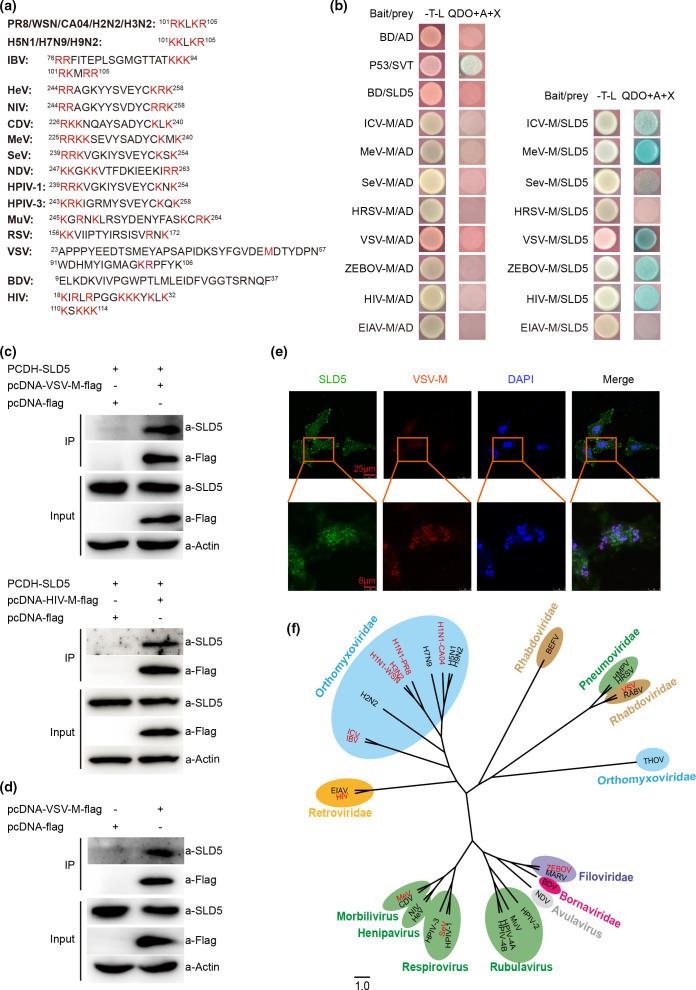
The matrix protein of many enveloped RNA viruses regulates multiple stages of viral life cycle and has the characteristics of nucleocytoplasmic shuttling. We have previously demonstrated that matrix protein 1 (M1) of an RNA virus, influenza virus, blocks host cell cycle progression by interacting with SLD5, a member of the GINS complex, which is required for normal cell cycle progression. In this study, we found that M protein of several other RNA viruses, including VSV, SeV and HIV, interacted with SLD5. Furthermore, VSV/SeV infection and M protein of VSV/SeV/HIV induced cell cycle arrest at G0/G1 phase. Importantly, overexpression of SLD5 partially rescued the cell cycle arrest by VSV/SeV infection and VSV M protein. In addition, SLD5 suppressed VSV replication and , and enhanced type Ⅰ interferon signalling. Taken together, our results suggest that targeting SLD5 by M protein might be a common strategy used by multiple enveloped RNA viruses to block host cell cycle. Our findings provide new mechanistic insights for virus to manipulate cell cycle progression by hijacking host replication factor SLD5 during infection.

摘要

许多包膜 RNA 病毒的基质蛋白调节病毒生命周期的多个阶段,具有核质穿梭的特性。我们之前已经证明,RNA 病毒流感病毒的基质蛋白 1(M1)通过与 GINS 复合物的成员 SLD5 相互作用来阻止宿主细胞周期进程,这是正常细胞周期进程所必需的。在这项研究中,我们发现几种其他 RNA 病毒(包括 VSV、SeV 和 HIV)的 M 蛋白与 SLD5 相互作用。此外,VSV/SeV 感染和 VSV/SeV/HIV 的 M 蛋白诱导细胞周期停滞在 G0/G1 期。重要的是,SLD5 的过表达部分挽救了 VSV/SeV 感染和 VSV M 蛋白引起的细胞周期停滞。此外,SLD5 抑制了 VSV 的复制 和 ,并增强了 I 型干扰素信号。总之,我们的结果表明,包膜 RNA 病毒的 M 蛋白通过靶向 SLD5 来阻止宿主细胞周期可能是一种常见策略。我们的发现为病毒在感染期间劫持宿主复制因子 SLD5 来操纵细胞周期进程提供了新的机制见解。

https://cdn.ncbi.nlm.nih.gov/pmc/blobs/ae2a/8744269/4851331bbc83/jgv-102-1697-g001.jpg

文献AI研究员

20分钟写一篇综述,助力文献阅读效率提升50倍。

立即体验

用中文搜PubMed

大模型驱动的PubMed中文搜索引擎

马上搜索

文档翻译

学术文献翻译模型,支持多种主流文档格式。

立即体验