Suppr超能文献

胰腺实性假乳头状瘤:E-钙黏蛋白、β-连环蛋白、CD99 的新有用标志物,具有特征性表达(附两例报告)。

Solid pseudopapillary tumor of the pancreas: E-cadherin, β-catenin, CD99 new useful markers with characteristic expression (about two case reports).

机构信息

Department of Pathology, Salah Azaiez Institut, Tunis, Tunisia.

出版信息

Pan Afr Med J. 2021 Oct 19;40:110. doi: 10.11604/pamj.2021.40.110.2423. eCollection 2021.

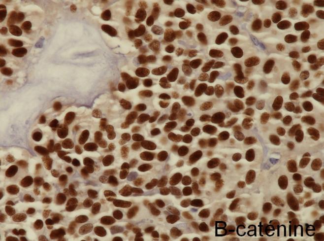
Abstract

Solid pseudopapillary neoplasm of the pancreas is a rare tumor that has favorable prognosis. It poses frequently diagnostic challenges. We describe two cases of solid pseudopapillary tumor of the pancreas managed in our department between 2007 and 2011. Two females have mean age of 36.5 years. Clinical presentation include: abdominal pain, bloating and palpable abdominal mass. Tumor is localized in the head of the pancreas in one case and in the tail in the other case. The mean size of the mass was 6 cm (range: 5 to 7 cm). Surgical treatment was performed in two cases. Histological examination confirms the diagnosis of solid pseudopapillary tumor of the pancreas. Immunohistochemical analysis was concordant to the literature data especially concerning CD99 which positivity was in dot, loss of positivity of E-cadherin and nuclear staining of β-catenin. CD10 and α-1-antitrypsin were also positive. One patient was dead 3 days postoperative and neither cancer recurrence nor distant metastases were detected on the follow up of the other. However, solid pseudo-papillary tumor of the pancreas has a distinctive histological appearance; some cases are problematic requiring the use of immunohistochemistry to distinguish it from other pancreatic neoplasm which prognosis is different.

摘要

胰腺实性假乳头状瘤是一种罕见的肿瘤,具有良好的预后。它常常带来诊断上的挑战。我们描述了 2007 年至 2011 年期间在我们科室诊治的 2 例胰腺实性假乳头状瘤。2 例患者均为女性,平均年龄 36.5 岁。临床表现包括:腹痛、腹胀和可触及的腹部肿块。肿瘤 1 例位于胰头部,1 例位于胰尾部。肿瘤的平均大小为 6cm(范围:5-7cm)。2 例患者均接受了手术治疗。组织学检查证实了胰腺实性假乳头状瘤的诊断。免疫组织化学分析与文献数据一致,特别是 CD99 呈点状阳性,E-钙黏蛋白失去阳性表达,β-连环蛋白核染色阳性。CD10 和α-1-抗胰蛋白酶也呈阳性。1 例患者术后 3 天死亡,另 1 例患者在随访中未发现癌症复发或远处转移。然而,胰腺实性假乳头状瘤具有独特的组织学表现;有些病例存在问题,需要使用免疫组织化学来区分它与其他具有不同预后的胰腺肿瘤。

https://cdn.ncbi.nlm.nih.gov/pmc/blobs/8765/8627137/50e6f3936bc4/PAMJ-40-110-g001.jpg

文献AI研究员

20分钟写一篇综述,助力文献阅读效率提升50倍。

立即体验

用中文搜PubMed

大模型驱动的PubMed中文搜索引擎

马上搜索

文档翻译

学术文献翻译模型,支持多种主流文档格式。

立即体验