Suppr超能文献

磁共振成像检测到接受质子放射治疗的动静脉畸形患者出现辐射诱导的变化。

Magnetic resonance imaging detected radiation-induced changes in patients with proton radiation-treated arteriovenous malformations.

作者信息

Correia de Verdier Maria, Ronne-Engström Elisabeth, Borota Ljubisa, Nilsson Kristina, Blomquist Erik, Wikström Johan

机构信息

Department of Surgical Sciences, Section of Neuroradiology, Uppsala University, Uppsala, Sweden.

Department of Neuroscience, Section of Neurosurgery, Uppsala University, Uppsala, Sweden.

出版信息

Acta Radiol Open. 2021 Nov 1;10(10):20584601211050886. doi: 10.1177/20584601211050886. eCollection 2021 Oct.

Abstract

BACKGROUND

Treatment of intracranial arteriovenous malformations (AVMs) includes surgery, radiation therapy, endovascular occlusion, or a combination. Proton radiation therapy enables very focused radiation, minimizing dose to the surrounding brain.

PURPOSE

To evaluate the presence of radiation-induced changes on post-treatment MRI in patients with AVMs treated with proton radiation and to compare these with development of symptoms and nidus obliteration.

MATERIAL AND METHODS

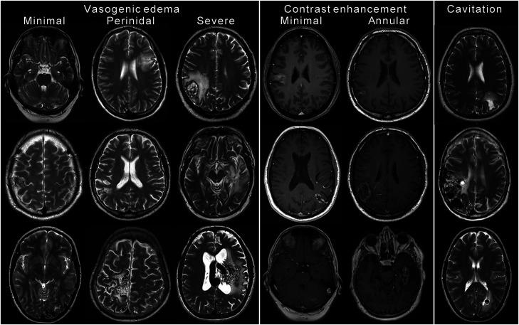
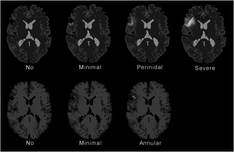
Retrospective review of pre- and post-treatment digital subtraction angiography and MRI and medical records in 30 patients with AVMs treated with proton radiation. Patients were treated with two or five fractions; total radiation dose was 20-35 physical Gy. Vasogenic edema (minimal, perinidal, or severe), contrast enhancement (minimal or annular), cavitation and nidus obliteration (total, partial, or none) were assessed.

RESULTS

26 of 30 patients (87%) developed MRI changes. Vasogenic edema was seen in 25 of 30 (83%), abnormal contrast enhancement in 18 of 26 (69%) and cavitation in 5 of 30 (17%). Time from treatment to appearance of MRI changes varied between 5 and 25 months (median 7, mean 10). Seven patients developed new or deteriorating symptoms that required treatment with corticosteroids; all these patients had extensive MRI changes (severe vasogenic edema and annular contrast enhancement). Not all patients with extensive MRI changes developed symptoms. We found no relation between MRI changes and nidus obliteration.

CONCLUSION

Radiation-induced MRI changes are seen in a majority of patients after proton radiation treatment of AVMs. Extensive MRI changes are associated with new or deteriorating symptoms.

摘要

背景

颅内动静脉畸形(AVM)的治疗方法包括手术、放射治疗、血管内栓塞或联合治疗。质子放射治疗能够实现非常精准的辐射,将对周围脑组织的剂量降至最低。

目的

评估接受质子放射治疗的AVM患者治疗后MRI上辐射诱导变化的存在情况,并将其与症状发展和病灶闭塞情况进行比较。

材料与方法

回顾性分析30例接受质子放射治疗的AVM患者治疗前和治疗后的数字减影血管造影、MRI及病历资料。患者接受2次或5次分割照射;总辐射剂量为20 - 35物理戈瑞。评估血管源性水肿(轻度、病灶周围或重度)、对比增强(轻度或环形)、空洞形成及病灶闭塞情况(完全、部分或无)。

结果

30例患者中有26例(87%)出现MRI变化。30例中有25例(83%)出现血管源性水肿,26例中有18例(69%)出现异常对比增强,30例中有5例(17%)出现空洞形成。从治疗到出现MRI变化的时间在5至25个月之间(中位数7个月,平均10个月)。7例患者出现新的或恶化的症状,需要使用皮质类固醇进行治疗;所有这些患者均有广泛的MRI变化(重度血管源性水肿和环形对比增强)。并非所有有广泛MRI变化的患者都出现症状。我们发现MRI变化与病灶闭塞之间无关联。

结论

大多数接受质子放射治疗的AVM患者出现辐射诱导的MRI变化。广泛的MRI变化与新的或恶化的症状相关。

https://cdn.ncbi.nlm.nih.gov/pmc/blobs/9e01/8649916/164e5b91a8c0/10.1177_20584601211050886-fig1.jpg

文献AI研究员

20分钟写一篇综述,助力文献阅读效率提升50倍。

立即体验

用中文搜PubMed

大模型驱动的PubMed中文搜索引擎

马上搜索

文档翻译

学术文献翻译模型,支持多种主流文档格式。

立即体验