Suppr超能文献

COVID-19 患者的继发性自发性气胸:病例报告。

A Secondary Spontaneous Pneumothorax in a Patient with COVID-19: Case report.

机构信息

Department of Medicine, Sultan Qaboos University Hospital, Muscat, Oman.

出版信息

Sultan Qaboos Univ Med J. 2021 Nov;21(4):660-663. doi: 10.18295/squmj.4.2021.046. Epub 2021 Nov 25.

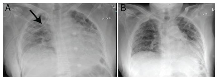
Abstract

Severe acute respiratory syndrome coronavirus 2 (SARS-CoV-2), a novel coronavirus, represents an unprecedented global threat. We report a 78-year-old male patient who presented to the Emergency Department at a tertiary care hospital in Muscat, Oman, in June 2020 with a one-day history of right chest pain and severe breathlessness. The patient was an ex-smoker and known to have idiopathic pulmonary fibrosis (IPF) with two previous pneumothoraces in the left lung. On presentation, the patient was breathless with an oxygen saturation of 90% on room air. Chest X-ray demonstrated bilateral lung infiltrates and right-sided pneumothorax. The patient tested positive for SARS CoV 2. A chest drain was placed which resulted in good resolution of the pneumothorax. The patient's condition improved remarkably and he was discharged after 17 days of hospitalisation. To the best of the authors' knowledge, this was the first case of pneumothorax reported in a patient infected with COVID-19 who was known to have underlying IPF.

摘要

严重急性呼吸综合征冠状病毒 2(SARS-CoV-2),一种新型冠状病毒,代表了前所未有的全球威胁。我们报告了一名 78 岁的男性患者,他于 2020 年 6 月在阿曼马斯喀特的一家三级保健医院的急诊科就诊,病史为一天右侧胸痛和严重呼吸困难。患者曾是一名戒烟者,患有特发性肺纤维化(IPF),左肺曾有两次气胸。就诊时,患者呼吸困难,血氧饱和度在室内空气下为 90%。胸部 X 线片显示双肺浸润和右侧气胸。患者 SARS-CoV-2 检测呈阳性。放置了胸腔引流管,气胸得到了很好的解决。患者的病情显著改善,住院 17 天后出院。据作者所知,这是首例在已知患有特发性肺纤维化的 COVID-19 感染患者中报告的气胸病例。

https://cdn.ncbi.nlm.nih.gov/pmc/blobs/88ff/8631211/12e76fa95a35/squmj2111-660-663f1.jpg

相似文献

1
A Secondary Spontaneous Pneumothorax in a Patient with COVID-19: Case report.
Sultan Qaboos Univ Med J. 2021 Nov;21(4):660-663. doi: 10.18295/squmj.4.2021.046. Epub 2021 Nov 25.
2
Case Report: Massive Spontaneous Pneumothorax-A Rare Form of Presentation for Severe COVID-19 Pneumonia.
Medicina (Kaunas). 2021 Jan 20;57(2):82. doi: 10.3390/medicina57020082.
3
Secondary tension pneumothorax in a COVID-19 pneumonia patient: a case report.
Infection. 2020 Dec;48(6):941-944. doi: 10.1007/s15010-020-01457-w. Epub 2020 Jun 18.
4
Delayed Spontaneous Bilateral Pneumothorax in a Previously Healthy Nonventilated COVID-19 Patient.
J Emerg Med. 2021 Jun;60(6):793-795. doi: 10.1016/j.jemermed.2021.01.008. Epub 2021 Jan 22.
5
One-year follow-up-case report of secondary tension pneumothorax in a COVID-19 pneumonia patient.
Infection. 2022 Apr;50(2):525-529. doi: 10.1007/s15010-021-01711-9. Epub 2021 Oct 8.
6
Favourable outcome after a delayed complication secondary to COVID-19.
BMJ Case Rep. 2021 Apr 12;14(4):e241049. doi: 10.1136/bcr-2020-241049.
7
COVID-19 Presenting with Spontaneous Pneumothorax.
J Coll Physicians Surg Pak. 2021 Jan;31(1):S29-S31. doi: 10.29271/jcpsp.2021.01.S29.
8
COVID-19 Presenting with Spontaneous Pneumothorax.
J Coll Physicians Surg Pak. 2021 Jan;31(1):S29-S31. doi: 10.29271/jcpsp.2021.Supp1.S29.
10
Pneumothorax in a COVID-19 Pneumonia Patient without Underlying Risk Factors.
Intern Med. 2020 Nov 15;59(22):2921-2925. doi: 10.2169/internalmedicine.5731-20. Epub 2020 Oct 7.

本文引用的文献

2
Remdesivir for the Treatment of Covid-19 - Preliminary Report. Reply.
N Engl J Med. 2020 Sep 3;383(10):994. doi: 10.1056/NEJMc2022236. Epub 2020 Jul 10.
3
Secondary tension pneumothorax in a COVID-19 pneumonia patient: a case report.
Infection. 2020 Dec;48(6):941-944. doi: 10.1007/s15010-020-01457-w. Epub 2020 Jun 18.
4
Pulmonary post-mortem findings in a series of COVID-19 cases from northern Italy: a two-centre descriptive study.
Lancet Infect Dis. 2020 Oct;20(10):1135-1140. doi: 10.1016/S1473-3099(20)30434-5. Epub 2020 Jun 8.
5
Pneumomediastinum and spontaneous pneumothorax as an extrapulmonary complication of COVID-19 disease.
Emerg Radiol. 2020 Dec;27(6):727-730. doi: 10.1007/s10140-020-01806-0. Epub 2020 Jun 11.
6
Spontaneous pneumothorax and subcutaneous emphysema in COVID-19 patient: Case report.
J Infect Public Health. 2020 Jun;13(6):887-889. doi: 10.1016/j.jiph.2020.05.012. Epub 2020 May 26.
7
SARS-CoV-2 pneumonia with subcutaneous emphysema, mediastinal emphysema, and pneumothorax: A case report.
Medicine (Baltimore). 2020 May;99(20):e20208. doi: 10.1097/MD.0000000000020208.
8
Postmortem Examination of Patients With COVID-19.
JAMA. 2020 Jun 23;323(24):2518-2520. doi: 10.1001/jama.2020.8907.
9
Tension pneumothorax in a patient with COVID-19.
BMJ Case Rep. 2020 May 17;13(5):e235861. doi: 10.1136/bcr-2020-235861.
10
COVID-19 with cystic features on computed tomography: A case report.
Medicine (Baltimore). 2020 May;99(18):e20175. doi: 10.1097/MD.0000000000020175.

文献AI研究员

20分钟写一篇综述,助力文献阅读效率提升50倍。

立即体验

用中文搜PubMed

大模型驱动的PubMed中文搜索引擎

马上搜索

文档翻译

学术文献翻译模型,支持多种主流文档格式。

立即体验