• 文献检索
  • 文档翻译
  • 深度研究
  • 学术资讯
  • Suppr Zotero 插件Zotero 插件
  • 邀请有礼
  • 套餐&价格
  • 历史记录
应用&插件
Suppr Zotero 插件Zotero 插件浏览器插件Mac 客户端Windows 客户端微信小程序
定价
高级版会员购买积分包购买API积分包
服务
文献检索文档翻译深度研究API 文档MCP 服务
关于我们
关于 Suppr公司介绍联系我们用户协议隐私条款
关注我们

Suppr 超能文献

核心技术专利:CN118964589B侵权必究
粤ICP备2023148730 号-1Suppr @ 2026

文献检索

告别复杂PubMed语法,用中文像聊天一样搜索,搜遍4000万医学文献。AI智能推荐,让科研检索更轻松。

立即免费搜索

文件翻译

保留排版,准确专业,支持PDF/Word/PPT等文件格式,支持 12+语言互译。

免费翻译文档

深度研究

AI帮你快速写综述,25分钟生成高质量综述,智能提取关键信息,辅助科研写作。

立即免费体验

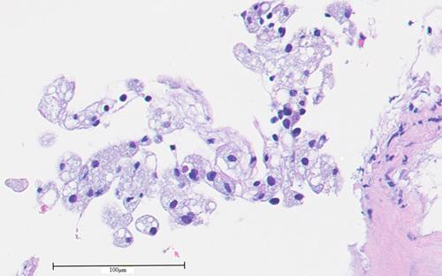
Xanthomatous Pleuritis Associated With Pancreaticopleural Fistula.

作者信息

Nakashima Koki, Demura Yoshiki, Tada Toshihiko, Akai Masaya, Ishizuka Tamotsu

机构信息

Depertment of Respiratory Medicine, Japanese Red Cross Fukui Hospital.

Third Department of Internal Medicine, Faculty of Medical Sciences, University of Fukui, Fukui-ken, Japan.

出版信息

J Bronchology Interv Pulmonol. 2022 Apr 1;29(2):155-157. doi: 10.1097/LBR.0000000000000834.

DOI:10.1097/LBR.0000000000000834
PMID:34907976
原文链接:https://pmc.ncbi.nlm.nih.gov/articles/PMC8942709/
Abstract
摘要
https://cdn.ncbi.nlm.nih.gov/pmc/blobs/0d9b/8942709/740ec285a6d6/lbr-29-155-g003.jpg
https://cdn.ncbi.nlm.nih.gov/pmc/blobs/0d9b/8942709/d67669c44dfe/lbr-29-155-g001.jpg
https://cdn.ncbi.nlm.nih.gov/pmc/blobs/0d9b/8942709/b4e83f35f3d6/lbr-29-155-g002.jpg
https://cdn.ncbi.nlm.nih.gov/pmc/blobs/0d9b/8942709/740ec285a6d6/lbr-29-155-g003.jpg
https://cdn.ncbi.nlm.nih.gov/pmc/blobs/0d9b/8942709/d67669c44dfe/lbr-29-155-g001.jpg
https://cdn.ncbi.nlm.nih.gov/pmc/blobs/0d9b/8942709/b4e83f35f3d6/lbr-29-155-g002.jpg
https://cdn.ncbi.nlm.nih.gov/pmc/blobs/0d9b/8942709/740ec285a6d6/lbr-29-155-g003.jpg

相似文献

1
Xanthomatous Pleuritis Associated With Pancreaticopleural Fistula.与胰胸膜瘘相关的黄色瘤性胸膜炎
J Bronchology Interv Pulmonol. 2022 Apr 1;29(2):155-157. doi: 10.1097/LBR.0000000000000834.
2
Gastrointestinal: Massive right pleural effusion caused by a pancreaticopleural fistula.胃肠道:胰胸膜瘘导致大量右侧胸腔积液。
J Gastroenterol Hepatol. 2020 Apr;35(4):525. doi: 10.1111/jgh.14886. Epub 2019 Dec 29.
3
Pleural effusion caused by a pancreatic pleural fistula.
Gastrointest Endosc. 2012 Aug;76(2):422-4. doi: 10.1016/j.gie.2012.03.1396. Epub 2012 Jun 1.
4
Education and imaging. Gastrointestinal: black pleural effusion induced by pancreaticopleural fistula.教育与影像学。胃肠道:胰胸膜瘘所致黑色胸腔积液。
J Gastroenterol Hepatol. 2013 Dec;28(12):1798. doi: 10.1111/jgh.12409.
5
An unexpected cause of pleural effusion in paediatric emergency medicine.
BMJ Case Rep. 2013 Apr 16;2013:bcr2013009072. doi: 10.1136/bcr-2013-009072.
6
The value of endoscopic pancreatography in the diagnosis of pancreatic pleural effusion: direct demonstration of pancreaticopleural fistula.
Am J Gastroenterol. 1982 Aug;77(8):574-5.
7
[Pleuro-pancreatic fistula diagnosed by ultrasonography].[经超声检查诊断的胰胸膜瘘]
Chir Ital. 2002 May-Jun;54(3):397-400.
8
[Right pleural effusion secondary to a pancreaticopleural fistula in a patient with asymptomatic chronic pancreatitis].[无症状性慢性胰腺炎患者胰胸膜瘘继发右侧胸腔积液]
Gastroenterol Hepatol. 2016 Oct;39(8):529-31. doi: 10.1016/j.gastrohep.2015.07.006. Epub 2015 Nov 6.
9
Left pleural effusion caused by pancreaticopleural fistula with a pancreatic pseudocyst.胰源性胸腔积液伴胰腺假性囊肿导致左侧胸腔积液
BMJ Case Rep. 2016 Aug 24;2016:bcr2016217175. doi: 10.1136/bcr-2016-217175.
10
Pancreaticopleural fistula causing pleural effusion: a case report and review of the literature.胰性胸腔瘘致胸腔积液:病例报告及文献复习。
J Med Case Rep. 2024 Mar 29;18(1):131. doi: 10.1186/s13256-024-04457-8.

引用本文的文献

1
Xantho-granulomatous pleuritis: A rare histopathological entity with diagnostic and therapeutic challenges.黄色肉芽肿性胸膜炎:一种具有诊断和治疗挑战的罕见组织病理学实体。
Lung India. 2025 Sep 1;42(5):471-472. doi: 10.4103/lungindia.lungindia_313_25. Epub 2025 Sep 2.
2
Xanthogranulomatous pleuritis induced by recurrent biliothorax due to a biliopleural fistula: The first case report in the literature.胆汁胸膜瘘致反复胆汁胸引起的黄色肉芽肿性胸膜炎:文献首例报告
Respir Med Case Rep. 2024 Jun 5;50:102065. doi: 10.1016/j.rmcr.2024.102065. eCollection 2024.