Suppr超能文献

伴有和不伴有胃肠道症状的重度抑郁症中低频波动模式的共享和独特分数振幅

Shared and Distinct Fractional Amplitude of Low-Frequency Fluctuation Patterns in Major Depressive Disorders With and Without Gastrointestinal Symptoms.

作者信息

Fu Xiaoya, Li Huabing, Yan Meiqi, Chen Jindong, Liu Feng, Zhao Jingping, Guo Wenbin

机构信息

National Clinical Research Center for Mental Disorders, Department of Psychiatry, The Second Xiangya Hospital of Central South University, Changsha, China.

Department of Radiology, The Second Xiangya Hospital of Central South University, Changsha, China.

出版信息

Front Psychiatry. 2021 Dec 2;12:744898. doi: 10.3389/fpsyt.2021.744898. eCollection 2021.

Abstract

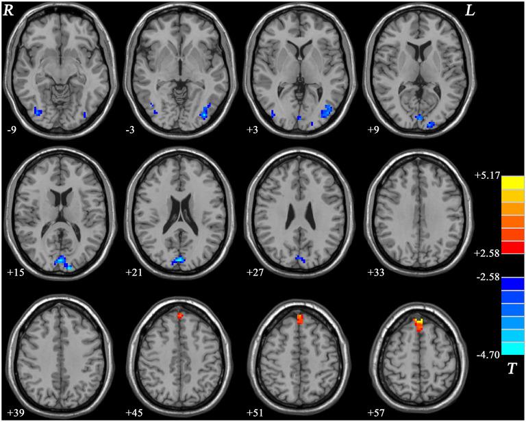
Gastrointestinal (GI) symptoms are fairly common somatic symptoms in depressed patients. The purpose of this study was to explore the influence of concomitant GI symptoms on the fractional amplitude of low-frequency fluctuation (fALFF) patterns in patients with major depressive disorder (MDD) and investigate the connection between aberrant fALFF and clinical characteristics. This study included 35 MDD patients with GI symptoms (GI-MDD patients), 17 MDD patients without GI symptoms (nGI-MDD patients), and 28 healthy controls (HCs). The fALFF method was used to analyze the resting-state functional magnetic resonance imaging data. Correlation analysis and pattern classification were employed to investigate the relationship of the fALFF patterns with the clinical characteristics of patients. GI-MDD patients exhibited higher scores in the HRSD-17 and suffered more severe insomnia, anxiety/somatization, and weight loss than nGI-MDD patients. GI-MDD patients showed higher fALFF in the right superior frontal gyrus (SFG)/middle frontal gyrus (MFG) and lower fALFF in the left superior medial prefrontal cortex (MPFC) compared with nGI-MDD patients. A combination of the fALFF values of these two clusters could be applied to discriminate GI-MDD patients from nGI-MDD patients, with accuracy, sensitivity, and specificity of 86.54, 94.29, and 70.59%, respectively. GI-MDD patients showed more severe depressive symptoms. Increased fALFF in the right SFG/MFG and decreased fALFF in the left superior MPFC might be distinctive neurobiological features of MDD patients with GI symptoms.

摘要

胃肠道(GI)症状是抑郁症患者中相当常见的躯体症状。本研究的目的是探讨伴发的GI症状对重度抑郁症(MDD)患者低频振幅分数(fALFF)模式的影响,并研究异常fALFF与临床特征之间的联系。本研究纳入了35例有GI症状的MDD患者(GI-MDD患者)、17例无GI症状的MDD患者(非GI-MDD患者)和28名健康对照者(HCs)。采用fALFF方法分析静息态功能磁共振成像数据。采用相关性分析和模式分类来研究fALFF模式与患者临床特征的关系。与非GI-MDD患者相比,GI-MDD患者在17项汉密尔顿抑郁量表(HRSD-17)上得分更高,且失眠、焦虑/躯体化和体重减轻更严重。与非GI-MDD患者相比,GI-MDD患者右侧额上回(SFG)/额中回(MFG)的fALFF更高,而左侧额内侧前额叶皮质(MPFC)的fALFF更低。这两个脑区簇的fALFF值组合可用于区分GI-MDD患者和非GI-MDD患者,准确率、敏感性和特异性分别为86.54%、94.29%和70.59%。GI-MDD患者表现出更严重的抑郁症状。右侧SFG/MFG的fALFF增加和左侧额内侧MPFC的fALFF降低可能是有GI症状的MDD患者独特的神经生物学特征。

https://cdn.ncbi.nlm.nih.gov/pmc/blobs/029c/8674438/916b045378c9/fpsyt-12-744898-g0001.jpg

文献AI研究员

20分钟写一篇综述,助力文献阅读效率提升50倍。

立即体验

用中文搜PubMed

大模型驱动的PubMed中文搜索引擎

马上搜索

文档翻译

学术文献翻译模型,支持多种主流文档格式。

立即体验