Suppr超能文献

青少年起病的成年型糖尿病 5 型,以碱血症伴糖尿病酮症酸中毒为表现:病例报告。

Maturity-onset diabetes of the young type 5, presenting as diabetic ketoacidosis with alkalemia: A report of a case.

机构信息

Department of Gastroenterology and Metabolism, Graduate School of Medical Sciences and Medical School, Nagoya City University, Nagoya, Japan.

Department of Endocrinology and Diabetes, Nagoya City University West Medical Center, Nagoya, Japan.

出版信息

J Diabetes Investig. 2022 May;13(5):923-926. doi: 10.1111/jdi.13737. Epub 2022 Jan 10.

Abstract

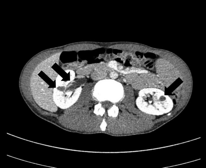
A 34-year-old man visited our Department of Gastroenterology and Metabolism, Nagoya City University Graduate School of Medical Sciences, Nagoya, Japan, because of dry mouth and weight loss. His plasma glucose level was 32.8 mmol/L and serum levels of ketone bodies were increased, but with metabolic alkalemia. He was also suffering from renal tubular hypomagnesemia and hypokalemia. Abdominal computed tomography showed bilateral renal cysts. These findings were suggestive of maturity-onset diabetes of the young type 5. Genetic testing showed heterozygous hepatocyte nuclear factor 1 beta gene deletion. In the present case, it seemed reasonable to view hepatocyte nuclear factor 1 beta gene deletion as the common cause of maturity-onset diabetes of the young type 5-associated diabetic ketoacidosis and tubular malfunction-induced hypokalemic alkalosis. This case exemplifies the importance of hepatocyte nuclear factor 1 beta gene abnormality as a potential cause of diabetic ketoacidosis with alkalemia.

摘要

一位 34 岁男性因口干和体重减轻到日本名古屋市立大学研究生院医学部消化和代谢科就诊。他的血浆葡萄糖水平为 32.8mmol/L,血清酮体水平升高,但伴有代谢性碱中毒。他还患有肾小管低镁血症和低钾血症。腹部计算机断层扫描显示双侧肾囊肿。这些发现提示青年发病的成年型糖尿病 5 型。基因检测显示杂合性肝细胞核因子 1β 基因突变。在本病例中,将肝细胞核因子 1β 基因突变视为青年发病的成年型糖尿病 5 型相关糖尿病酮症酸中毒和管状功能障碍引起的低钾性碱中毒的共同原因似乎是合理的。该病例说明了肝细胞核因子 1β 基因异常作为伴碱中毒的糖尿病酮症酸中毒的潜在病因的重要性。

https://cdn.ncbi.nlm.nih.gov/pmc/blobs/92a4/9077722/b4633282e60a/JDI-13-923-g004.jpg

文献AI研究员

20分钟写一篇综述,助力文献阅读效率提升50倍。

立即体验

用中文搜PubMed

大模型驱动的PubMed中文搜索引擎

马上搜索

文档翻译

学术文献翻译模型,支持多种主流文档格式。

立即体验