• 文献检索
  • 文档翻译
  • 深度研究
  • 学术资讯
  • Suppr Zotero 插件Zotero 插件
  • 邀请有礼
  • 套餐&价格
  • 历史记录
应用&插件
Suppr Zotero 插件Zotero 插件浏览器插件Mac 客户端Windows 客户端微信小程序
定价
高级版会员购买积分包购买API积分包
服务
文献检索文档翻译深度研究API 文档MCP 服务
关于我们
关于 Suppr公司介绍联系我们用户协议隐私条款
关注我们

Suppr 超能文献

核心技术专利:CN118964589B侵权必究
粤ICP备2023148730 号-1Suppr @ 2026

文献检索

告别复杂PubMed语法,用中文像聊天一样搜索,搜遍4000万医学文献。AI智能推荐,让科研检索更轻松。

立即免费搜索

文件翻译

保留排版,准确专业,支持PDF/Word/PPT等文件格式,支持 12+语言互译。

免费翻译文档

深度研究

AI帮你快速写综述,25分钟生成高质量综述,智能提取关键信息,辅助科研写作。

立即免费体验

采用胸廓内动脉导管进行冠状动脉旁路移植术后的硬皮病样皮炎

Sclerodermiform Dermatitis After Coronary Artery Bypass Graft With an Internal Thoracic Artery Conduit.

作者信息

Gerhardt Caroline A, Grewe Stefanie, Vera Nora, Reese Alexander, Baldwin Brooke

机构信息

Dermatology, University of South Florida Morsani College of Medicine, Tampa, USA.

Pathology, University of South Florida, Tampa, USA.

出版信息

Cureus. 2021 Nov 18;13(11):e19721. doi: 10.7759/cureus.19721. eCollection 2021 Nov.

DOI:10.7759/cureus.19721
PMID:34934584
原文链接:https://pmc.ncbi.nlm.nih.gov/articles/PMC8684359/
Abstract

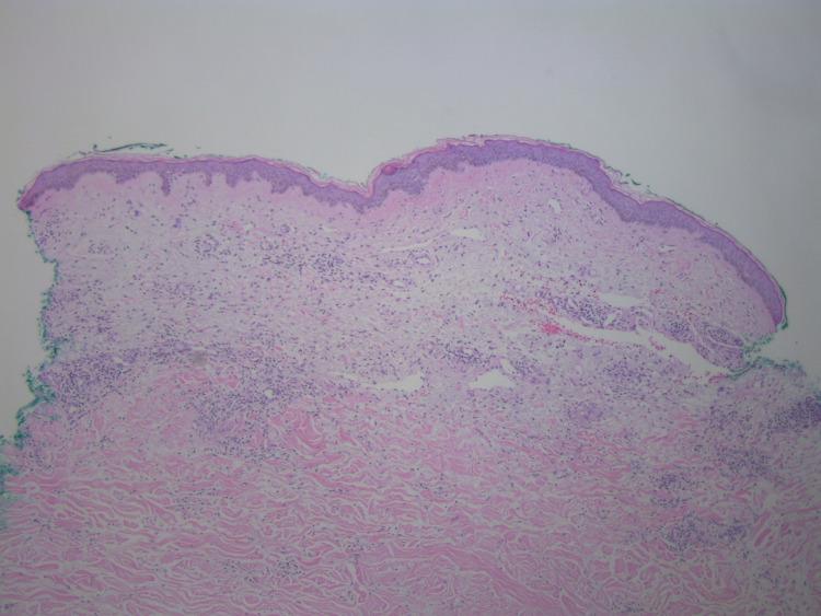
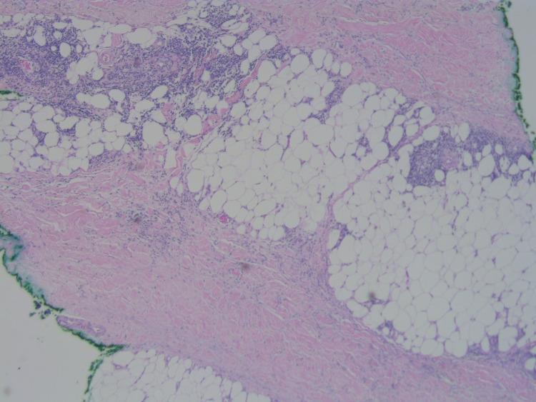
Coronary artery bypass grafting is a common surgical procedure that often uses the saphenous vein, internal thoracic artery, or radial artery as a conduit to improve blood circulation to the heart. When a blockage or impediment to arterial flow is noted, this procedure is undertaken to ensure the myocardium receives the blood it needs to function optimally. Infrequently, dermatoses overlying the conduit site may be observed, notably with the saphenous vein harvest site. Here we report the first case of sclerodermiform dermatitis occurring at the internal thoracic artery donor graft site. This unique case is important for providers to be aware of when evaluating a patient post-operatively who presents with new-onset dermatologic changes at the site of previous donor harvesting to ensure optimal treatment and management.

摘要

冠状动脉搭桥术是一种常见的外科手术,通常使用大隐静脉、胸廓内动脉或桡动脉作为管道来改善心脏的血液循环。当发现动脉血流受阻时,就会进行该手术以确保心肌获得正常运作所需的血液。偶尔会观察到覆盖管道部位的皮肤病,尤其是在大隐静脉采集部位。在此,我们报告首例发生在胸廓内动脉供体移植部位的硬皮病样皮炎病例。这个独特的病例对于医护人员在评估术后患者时很重要,这些患者在先前供体采集部位出现新发皮肤病变化,以确保进行最佳的治疗和管理。

https://cdn.ncbi.nlm.nih.gov/pmc/blobs/edac/8684359/3641a7bdd1a9/cureus-0013-00000019721-i04.jpg
https://cdn.ncbi.nlm.nih.gov/pmc/blobs/edac/8684359/dfeaa3bed141/cureus-0013-00000019721-i01.jpg
https://cdn.ncbi.nlm.nih.gov/pmc/blobs/edac/8684359/aa71f3df3baf/cureus-0013-00000019721-i02.jpg
https://cdn.ncbi.nlm.nih.gov/pmc/blobs/edac/8684359/d045c09b81f9/cureus-0013-00000019721-i03.jpg
https://cdn.ncbi.nlm.nih.gov/pmc/blobs/edac/8684359/3641a7bdd1a9/cureus-0013-00000019721-i04.jpg
https://cdn.ncbi.nlm.nih.gov/pmc/blobs/edac/8684359/dfeaa3bed141/cureus-0013-00000019721-i01.jpg
https://cdn.ncbi.nlm.nih.gov/pmc/blobs/edac/8684359/aa71f3df3baf/cureus-0013-00000019721-i02.jpg
https://cdn.ncbi.nlm.nih.gov/pmc/blobs/edac/8684359/d045c09b81f9/cureus-0013-00000019721-i03.jpg
https://cdn.ncbi.nlm.nih.gov/pmc/blobs/edac/8684359/3641a7bdd1a9/cureus-0013-00000019721-i04.jpg

相似文献

1
Sclerodermiform Dermatitis After Coronary Artery Bypass Graft With an Internal Thoracic Artery Conduit.采用胸廓内动脉导管进行冠状动脉旁路移植术后的硬皮病样皮炎
Cureus. 2021 Nov 18;13(11):e19721. doi: 10.7759/cureus.19721. eCollection 2021 Nov.
2
Bilateral internal thoracic artery on the left side: a propensity score-matched study of impact of the third conduit on the right side.左侧双侧胸廓内动脉:关于右侧第三条移植血管影响的倾向评分匹配研究。
J Thorac Cardiovasc Surg. 2009 Apr;137(4):869-74. doi: 10.1016/j.jtcvs.2008.09.014. Epub 2009 Feb 7.
3
Standard coronary artery bypass grafting and beating heart bypass. Indications and long-term results.标准冠状动脉搭桥术与不停跳心脏搭桥术。适应症及长期疗效。
Jpn J Thorac Cardiovasc Surg. 2000 Dec;48(12):789-94. doi: 10.1007/BF03218253.
4
Is the second internal thoracic artery better than the radial artery in total arterial off-pump coronary artery bypass grafting? A propensity score-matched follow-up study.在非体外循环冠状动脉旁路移植术中,第二根胸廓内动脉是否优于桡动脉?一项倾向评分匹配的随访研究。
J Thorac Cardiovasc Surg. 2014 Feb;147(2):632-8. doi: 10.1016/j.jtcvs.2013.02.012. Epub 2013 Apr 6.
5
Reusing the patent internal mammary artery as a conduit in redo coronary artery bypass surgery.在再次冠状动脉搭桥手术中复用胸廓内动脉作为血管桥。
Interact Cardiovasc Thorac Surg. 2016 Mar;22(3):346-50. doi: 10.1093/icvts/ivv338. Epub 2015 Dec 15.
6
Arterial coronary artery bypass grafting is safe and effective in elderly patients.动脉冠状动脉旁路移植术在老年患者中是安全有效的。
J Thorac Cardiovasc Surg. 2015 Sep;150(3):607-12. doi: 10.1016/j.jtcvs.2015.06.032. Epub 2015 Jun 26.
7
Vascular adaptation of the internal thoracic artery graft early and late after bypass surgery.旁路手术后早期和晚期胸廓内动脉移植物的血管适应性
J Thorac Cardiovasc Surg. 2008 Oct;136(4):876-83. doi: 10.1016/j.jtcvs.2008.05.029.
8
Early outcomes of radial artery use in all-arterial grafting of the coronary arteries in patients 65 years and older.65岁及以上患者冠状动脉全动脉搭桥术中使用桡动脉的早期结果。
Tex Heart Inst J. 2010;37(3):301-6.
9
Saphenous vein graft donor site dermatitis. Case reports and literature review.大隐静脉移植供区皮炎。病例报告及文献综述。
Arch Dermatol. 1993 May;129(5):609-12.
10
The second best arterial graft: a propensity analysis of the radial artery versus the free right internal thoracic artery to bypass the circumflex coronary artery.第二条最佳动脉移植物:桡动脉与游离右内乳动脉旁路回旋支冠状动脉的倾向分析。
J Thorac Cardiovasc Surg. 2014 Jan;147(1):133-40. doi: 10.1016/j.jtcvs.2013.08.040. Epub 2013 Oct 5.

本文引用的文献

1
Assessment of compromised parasternal skin perfusion after left internal mammary artery harvesting with a novel laser Doppler imaging.使用新型激光多普勒成像技术评估左乳内动脉采集术后胸骨旁皮肤灌注受损情况。
J Cardiovasc Surg (Torino). 2019 Dec;60(6):742-748. doi: 10.23736/S0021-9509.19.10832-4. Epub 2019 Oct 4.
2
Fifty years of coronary artery bypass grafting.冠状动脉搭桥术五十年
J Thorac Dis. 2018 Mar;10(3):1960-1967. doi: 10.21037/jtd.2018.02.43.
3
Saphenous vein harvesting site dermatoses in eastern India.印度东部大隐静脉取材部位的皮肤病
Dermatol Online J. 2009 Jul 15;15(7):13.
4
Saphenous vein graft dermatitis in patients with coronary artery bypass graft.冠状动脉搭桥术患者的大隐静脉移植皮炎
Indian J Dermatol Venereol Leprol. 2008 May-Jun;74(3):278-9. doi: 10.4103/0378-6323.41391.
5
Post-stripping sclerodermiform dermatitis.剥脱后硬皮病样皮炎
Arch Dermatol. 1999 Nov;135(11):1387-91. doi: 10.1001/archderm.135.11.1387.
6
Saphenous vein graft donor site dermatitis in Japan.日本的大隐静脉移植供体部位皮炎
J Dermatol. 1995 Sep;22(9):681-5. doi: 10.1111/j.1346-8138.1995.tb03898.x.
7
Saphenous vein graft donor site dermatitis. Case reports and literature review.大隐静脉移植供区皮炎。病例报告及文献综述。
Arch Dermatol. 1993 May;129(5):609-12.
8
Dermatitis at vein graft site.静脉移植部位的皮炎
Arch Dermatol. 1983 Feb;119(2):97.
9
Hypoxia upregulates the synthesis of TGF-beta 1 by human dermal fibroblasts.缺氧可上调人皮肤成纤维细胞中转化生长因子β1(TGF-β1)的合成。
J Invest Dermatol. 1991 Oct;97(4):634-7. doi: 10.1111/1523-1747.ep12483126.