Suppr超能文献

在使用新型四基因多重PCR技术对侵入性和非侵入性来源进行性别早期判定时,胎儿有核红细胞比游离胎儿DNA更具优势。

Fetal Nucleated Red Blood Cells Preferable Than Cell-Free Fetal DNA for Early Determination of Gender Among Invasive and Non-Invasive Source Using Novel Four Genes Multiplex PCR.

作者信息

Alhur Norah F, Al Qahtani Nourah H, AlSuhaibani Entissar S, Alsulmi Eman, Almandil Noor B, AbdulAzeez Sayed, Borgio J Francis

机构信息

College of Science, Zoology Department, King Saud University, Riyadh, Saudi Arabia.

Obstetrics and Gynecology Department, College of Medicine, Imam Abdulrahman Bin Faisal University, Dammam, Saudi Arabia.

出版信息

Int J Gen Med. 2021 Dec 13;14:9697-9705. doi: 10.2147/IJGM.S345345. eCollection 2021.

Abstract

BACKGROUND

Deoxyribonucleic acid from invasive, non-invasive and 9th week embryo can be a resource for the determination of fetal sex using highly sensitive and specific multiplex PCR.

METHODS

A total of 402 DNA samples were used to test the newly developed novel multiplex PCR including male specific (3 genes: and ) Y-biomarkers and internal control, . The study isolated cffDNA (Cell-free fetal DNA; n = 73) from mother's plasma, serum and urine, fetal DNA from 9th week embryo and cord blood, and fetal DNA from CD71 nucleated red blood cells (fNRBC; n = 73). Paternal and maternal DNA from buccal cells (n = 20) and blood (n = 232) used for male and female confirmation.

RESULTS

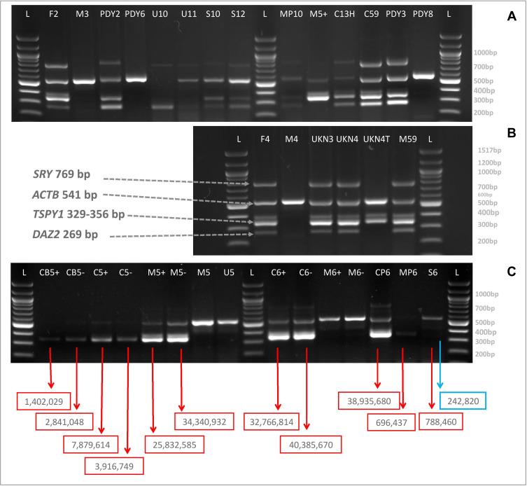
The study observed that alone cannot be a suitable Y-biomarker. Confirmation from any two Y-biomarkers is mandatory for male fetus identification. Direct sequencing of the gel eluted multiplex and single amplicons confirmed the specific sequences. Presence of two out of 3 Y-biomarkers OR single Y-biomarker with >1,000,000 intensity is considered positive for male. The multiplex PCR is suitable for determining sex from all source of fetal DNA including highly degraded cffDNA and can detect the sex using 0.5ng DNA. Individual marker-based real-time qPCR followed by combined melt curve analysis showed distinguished melt curve peaks for the markers.

CONCLUSION

The multiplex PCR achieved 100% accuracy on fetal DNA from fNRBC for early determinations (<13 weeks) of gender. The developed novel and simple multiplex PCR and individual qPCR can be adopted in all types of laboratories for determining human fetal gender using fetal DNA from fNRBC. Early identification of gender can support to prepare for possible X-linked analysis, reduce anxiety in mother, strengthen a bond between mother and fetus, and effective decision making. Non-invasive source of fetal DNA from fNRBC preferred for identifying gender to reduce the risk of invasive procedures in early (8-13 weeks) pregnancy.

摘要

背景

来自侵入性、非侵入性样本以及第9周胚胎的脱氧核糖核酸可作为利用高灵敏度和特异性多重聚合酶链反应(PCR)来确定胎儿性别的资源。

方法

总共402个DNA样本用于测试新开发的新型多重PCR,包括男性特异性(3个基因: 和 )Y生物标志物以及内部对照 。该研究从母亲的血浆、血清和尿液中分离出游离胎儿DNA(cffDNA;n = 73),从第9周胚胎和脐带血中分离出胎儿DNA,以及从CD71有核红细胞(fNRBC;n = 73)中分离出胎儿DNA。来自口腔细胞(n = 20)和血液(n = 232)的父系和母系DNA用于性别确认。

结果

该研究观察到 单独不能作为合适的Y生物标志物。对于男性胎儿的鉴定,必须有任意两个Y生物标志物的确认。对凝胶洗脱的多重扩增子和单个扩增子进行直接测序证实了特定序列。3个Y生物标志物中有2个存在或单个Y生物标志物强度>1,000,000被认为是男性阳性。多重PCR适用于从所有胎儿DNA来源确定性别,包括高度降解的cffDNA,并且可以使用0.5ng DNA检测性别。基于单个标志物的实时定量PCR随后进行组合熔解曲线分析显示了各标志物独特的熔解曲线峰。

结论

多重PCR对来自fNRBC的胎儿DNA进行性别早期测定(<13周)时准确率达到100%。所开发的新型简单多重PCR和单个定量PCR可在所有类型的实验室中采用,以利用来自fNRBC的胎儿DNA确定人类胎儿性别。性别早期鉴定有助于为可能的X连锁分析做准备,减轻母亲的焦虑,加强母婴之间的联系,并进行有效的决策。在孕早期(8 - 13周),首选来自fNRBC的非侵入性胎儿DNA来源进行性别鉴定,以降低侵入性操作的风险。

https://cdn.ncbi.nlm.nih.gov/pmc/blobs/e946/8687708/dbc5bb7cd57a/IJGM-14-9697-g0001.jpg

文献AI研究员

20分钟写一篇综述,助力文献阅读效率提升50倍。

立即体验

用中文搜PubMed

大模型驱动的PubMed中文搜索引擎

马上搜索

文档翻译

学术文献翻译模型,支持多种主流文档格式。

立即体验