Suppr超能文献

由[具体真菌名称1]和[具体真菌名称2]引起的真菌侵袭性合并感染:一种鼻眶部表现。 (注:原文中“due to and”部分内容缺失,这里是按格式要求补充完整后翻译)

Fungal Invasive Co-Infection Due to and : A Rhino-Orbital Presentation.

作者信息

Ramírez-Hinojosa Juan Pablo, Medrano-Ahumada Salvador, Arenas Roberto, Bravo-Escobar Arturo, Paraguirre-Martínez Sara, Xicohtencatl-Cortes Juan, Martínez-Herrera Erick, Hernández-Castro Rigoberto

机构信息

Departamento de Infectología, Hospital General Dr. Manuel Gea González, Tlalpan 14080, Mexico.

Servicio de Micología, Hospital General Dr. Manuel Gea González, Tlalpan 14080, Mexico.

出版信息

J Fungi (Basel). 2021 Dec 20;7(12):1096. doi: 10.3390/jof7121096.

Abstract

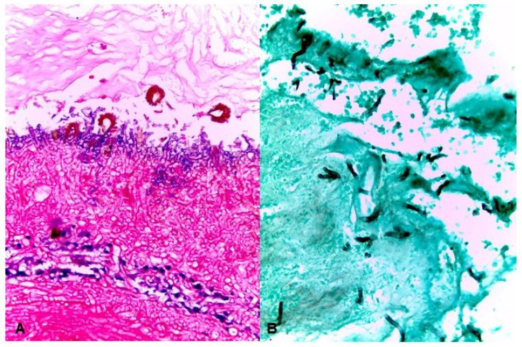
Aspergillosis and mucormycosis are filamentous fungal infections occurring predominantly in immunocompromised patients. Fulminant process with rapid infiltration of the contiguous tissue is distinctive for both type of fungi. The rhinocerebral co-infection by and Mucorales is very rare and is usually associated in immunocompromised patients with a high mortality rate. This rare co-infection leads to difficulties in diagnosis, and therapeutic delays can result in a poor prognosis. Overall, the treatment of choice is surgical debridement and liposomal amphotericin B. This paper describes a combined aspergillosis and mucormycosis case in a diabetes mellitus type 2 patient with chronic ulcerations of the palatal and cheek. To our knowledge, this is the first report of an uncommon co-infection of and in a rhino-orbital presentation.

摘要

曲霉病和毛霉病是主要发生在免疫功能低下患者中的丝状真菌感染。这两种真菌的显著特征是病程凶险,会迅速浸润相邻组织。曲霉和毛霉目真菌的鼻脑合并感染非常罕见,通常发生在免疫功能低下的患者中,死亡率很高。这种罕见的合并感染导致诊断困难,治疗延迟会导致预后不良。总体而言,首选的治疗方法是手术清创和脂质体两性霉素B。本文描述了一名2型糖尿病患者腭部和颊部慢性溃疡合并曲霉病和毛霉病的病例。据我们所知,这是首例关于曲霉和毛霉罕见合并感染导致鼻眶病变的报告。

https://cdn.ncbi.nlm.nih.gov/pmc/blobs/f35d/8704653/cef4995f9013/jof-07-01096-g001.jpg

文献AI研究员

20分钟写一篇综述,助力文献阅读效率提升50倍。

立即体验

用中文搜PubMed

大模型驱动的PubMed中文搜索引擎

马上搜索

文档翻译

学术文献翻译模型,支持多种主流文档格式。

立即体验