Suppr超能文献

阻断 FDPS/Rac1 轴可通过减弱 DNA 损伤反应和抑制性免疫信号来增敏胰腺导管腺癌。

Disruption of FDPS/Rac1 axis radiosensitizes pancreatic ductal adenocarcinoma by attenuating DNA damage response and immunosuppressive signalling.

机构信息

Department of Biochemistry and Molecular Biology, University of Nebraska Medical Center, Omaha, NE 68198-5870, USA.

Department of Biochemistry and Molecular Biology, University of Nebraska Medical Center, Omaha, NE 68198-5870, USA.

出版信息

EBioMedicine. 2022 Jan;75:103772. doi: 10.1016/j.ebiom.2021.103772. Epub 2021 Dec 28.

Abstract

BACKGROUND

Radiation therapy (RT) has a suboptimal effect in patients with pancreatic ductal adenocarcinoma (PDAC) due to intrinsic and acquired radioresistance (RR). Comprehensive bioinformatics and microarray analysis revealed that cholesterol biosynthesis (CBS) is involved in the RR of PDAC. We now tested the inhibition of the CBS pathway enzyme, farnesyl diphosphate synthase (FDPS), by zoledronic acid (Zol) to enhance radiation and activate immune cells.

METHODS

We investigated the role of FDPS in PDAC RR using the following methods: in vitro cell-based assay, immunohistochemistry, immunofluorescence, immunoblot, cell-based cholesterol assay, RNA sequencing, tumouroids (KPC-murine and PDAC patient-derived), orthotopic models, and PDAC patient's clinical study.

FINDINGS

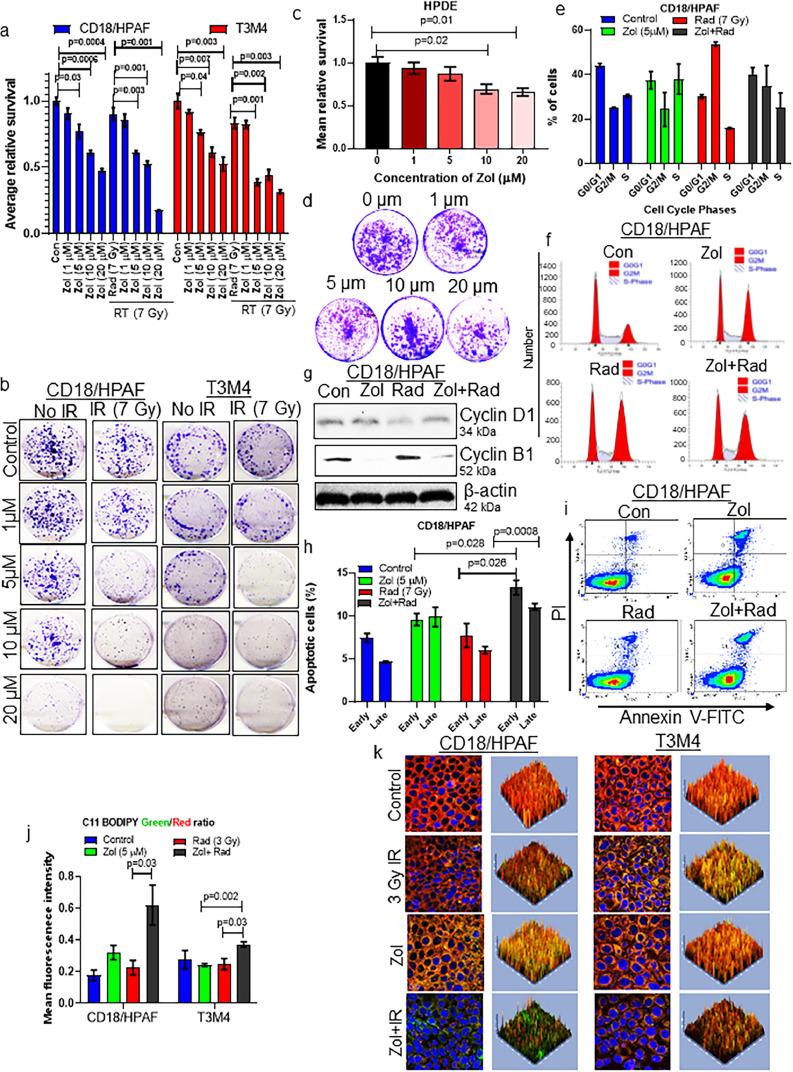
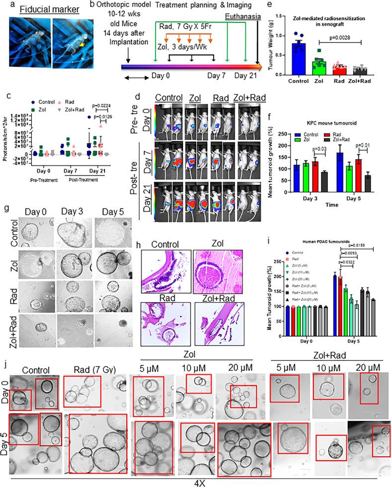
FDPS overexpression in PDAC tissues and cells (P < 0.01 and P < 0.05) is associated with poor RT response and survival (P = 0.024). CRISPR/Cas9 and pharmacological inhibition (Zol) of FDPS in human and mouse syngeneic PDAC cells in conjunction with RT conferred higher PDAC radiosensitivity in vitro (P < 0.05, P < 0.01, and P < 0.001) and in vivo (P < 0.05). Interestingly, murine (P = 0.01) and human (P = 0.0159) tumouroids treated with Zol+RT showed a significant growth reduction. Mechanistically, RNA-Seq analysis of the PDAC xenografts and patients-PBMCs revealed that Zol exerts radiosensitization by affecting Rac1 and Rho prenylation, thereby modulating DNA damage and radiation response signalling along with improved systemic immune cells activation. An ongoing phase I/II trial (NCT03073785) showed improved failure-free survival (FFS), enhanced immune cell activation, and decreased microenvironment-related genes upon Zol+RT treatment.

INTERPRETATION

Our findings suggest that FDPS is a novel radiosensitization target for PDAC therapy. This study also provides a rationale to utilize Zol as a potential radiosensitizer and as an immunomodulator in PDAC and other cancers.

FUNDING

National Institutes of Health (P50, P01, and R01).

摘要

背景

由于内在和获得性放射抵抗(RR),放射治疗(RT)在胰腺导管腺癌(PDAC)患者中的效果并不理想。综合生物信息学和微阵列分析表明,胆固醇生物合成(CBS)参与了 PDAC 的 RR。我们现在通过唑来膦酸(Zol)抑制 CBS 途径酶法尼基二磷酸合酶(FDPS),以增强辐射并激活免疫细胞,来测试这种方法。

方法

我们使用以下方法研究了 FDPS 在 PDAC RR 中的作用:体外基于细胞的测定、免疫组织化学、免疫荧光、免疫印迹、基于细胞的胆固醇测定、RNA 测序、肿瘤(KPC-鼠和 PDAC 患者衍生)、原位模型和 PDAC 患者的临床研究。

结果

PDAC 组织和细胞中 FDPS 的过表达(P < 0.01 和 P < 0.05)与较差的 RT 反应和生存相关(P = 0.024)。在人源和鼠源同源 PDAC 细胞中,CRISPR/Cas9 和 FDPS 的药理学抑制(Zol)与 RT 联合使用,可提高体外(P < 0.05、P < 0.01 和 P < 0.001)和体内(P < 0.05)的 PDAC 放射敏感性。有趣的是,用 Zol+RT 治疗的小鼠(P = 0.01)和人类(P = 0.0159)肿瘤瘤显示出显著的生长减少。从机制上讲,对 PDAC 异种移植物和患者-PBMCs 的 RNA-Seq 分析表明,Zol 通过影响 Rac1 和 Rho 异戊二烯化,从而调节 DNA 损伤和放射反应信号,同时改善系统免疫细胞激活,从而发挥放射增敏作用。一项正在进行的 I/II 期试验(NCT03073785)表明,Zol+RT 治疗可改善无复发生存率(FFS)、增强免疫细胞激活,并降低微环境相关基因。

解释

我们的研究结果表明,FDPS 是 PDAC 治疗的一种新的放射增敏靶标。本研究还为将 Zol 用作 PDAC 和其他癌症的潜在放射增敏剂和免疫调节剂提供了依据。

资助

美国国立卫生研究院(P50、P01 和 R01)。

https://cdn.ncbi.nlm.nih.gov/pmc/blobs/99b0/8718746/dba1810369c8/gr1.jpg

文献检索

告别复杂PubMed语法,用中文像聊天一样搜索,搜遍4000万医学文献。AI智能推荐,让科研检索更轻松。

立即免费搜索

文件翻译

保留排版,准确专业,支持PDF/Word/PPT等文件格式,支持 12+语言互译。

免费翻译文档

深度研究

AI帮你快速写综述,25分钟生成高质量综述,智能提取关键信息,辅助科研写作。

立即免费体验