Suppr超能文献

CD147 通过与 RanBP1 相互作用支持紫杉醇耐药性。

CD147 supports paclitaxel resistance via interacting with RanBP1.

机构信息

National Translational Science Center for Molecular Medicine & Department of Cell Biology, Fourth Military Medical University, 710032, Xi'an, China.

Department of Obstetrics and Gynecology, Xijing Hospital, Fourth Military Medical University, 710032, Xi'an, China.

出版信息

Oncogene. 2022 Feb;41(7):983-996. doi: 10.1038/s41388-021-02143-3. Epub 2022 Jan 1.

Abstract

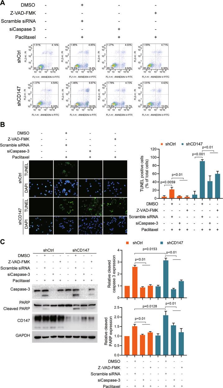
Though the great success of paclitaxel, the variable response of patients to the drug limits its clinical utility and the precise mechanisms underlying the variable response to paclitaxel remain largely unknown. This study aims to verify the role and the underlying mechanisms of CD147 in paclitaxel resistance. Immunostaining was used to analyze human non-small-cell lung cancer (NSCLC) and ovarian cancer tissues. RNA-sequencing was used to identify downstream effectors. Annexin V-FITC/propidium iodide and terminal deoxynucleotidyl transferase dUTP nick end labeling (TUNEL) staining were used to detect apoptosis. Co-immunoprecipitation (Co-IP), fluorescence resonance energy transfer (FRET) and surface plasmon resonance (SPR) were performed to determine protein interactions. Fluorescence recovery after photobleaching (FRAP) was performed to measure the speed of microtubule turnover. Xenograft tumor model was established to evaluate sensitivity of cancer cells to paclitaxel in vivo. In vitro and in vivo assays showed that silencing CD147 sensitized the cancer cells to paclitaxel treatment. CD147 protected cancer cells from paclitaxel-induced caspase-3 mediated apoptosis regardless of p53 status. Truncation analysis showed that the intracellular domain of CD147 (CD147) was indispensable for CD147-regulated sensitivity to paclitaxel. Via screening the interacting proteins of CD147, Ran binding protein 1 (RanBP1) was identified to interact with CD147 via its C-terminal tail. Furthermore, we showed that RanBP1 mediated CD147-regulated microtubule stability and dynamics as well as response to paclitaxel treatment. These results demonstrated that CD147 regulated paclitaxel response by interacting with the C-terminal tail of RanBP1 and targeting CD147 may be a promising strategy for preventing paclitaxel resistant.

摘要

尽管紫杉醇取得了巨大成功,但患者对该药物的反应存在差异,限制了其临床应用,而紫杉醇反应差异的确切机制仍知之甚少。本研究旨在验证 CD147 在紫杉醇耐药中的作用及其潜在机制。采用免疫组化分析人非小细胞肺癌(NSCLC)和卵巢癌组织。采用 RNA 测序鉴定下游效应物。采用 Annexin V-FITC/碘化丙啶和末端脱氧核苷酸转移酶 dUTP 缺口末端标记(TUNEL)染色检测细胞凋亡。采用共免疫沉淀(Co-IP)、荧光共振能量转移(FRET)和表面等离子体共振(SPR)测定蛋白相互作用。采用荧光恢复后漂白(FRAP)测定微管周转率。建立异种移植肿瘤模型以评估体内癌细胞对紫杉醇的敏感性。体内外实验表明,沉默 CD147 可增强癌细胞对紫杉醇的敏感性。无论 p53 状态如何,CD147 均能保护癌细胞免受紫杉醇诱导的 caspase-3 介导的凋亡。截断分析表明,CD147 的细胞内结构域(CD147)对于 CD147 调节对紫杉醇的敏感性是不可或缺的。通过筛选 CD147 的相互作用蛋白,发现 Ran 结合蛋白 1(RanBP1)通过其 C 末端尾巴与 CD147 相互作用。此外,我们还表明,RanBP1 介导了 CD147 调节的微管稳定性和动力学以及对紫杉醇处理的反应。这些结果表明,CD147 通过与 RanBP1 的 C 末端尾巴相互作用来调节紫杉醇的反应,靶向 CD147 可能是预防紫杉醇耐药的一种有前途的策略。

https://cdn.ncbi.nlm.nih.gov/pmc/blobs/4b62/8837534/6830d9bd0c54/41388_2021_2143_Fig1_HTML.jpg

文献AI研究员

20分钟写一篇综述,助力文献阅读效率提升50倍。

立即体验

用中文搜PubMed

大模型驱动的PubMed中文搜索引擎

马上搜索

文档翻译

学术文献翻译模型,支持多种主流文档格式。

立即体验