Suppr超能文献

COVID-19 感染与肺部曲霉菌病的迟发表现。

COVID-19 Infection and Late Manifestation of Pulmonary Aspergillosis.

机构信息

Appalachian Regional Healthcare/Internal Medicine Residency Program, Whitesburg, KY, USA.

Grant Government Medical College and Sir J.J. Group of Hospitals, Mumbai, India.

出版信息

J Investig Med High Impact Case Rep. 2022 Jan-Dec;10:23247096211063332. doi: 10.1177/23247096211063332.

Abstract

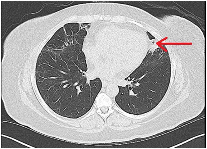
We present the case of a 56-year-old woman who was diagnosed with severe coronavirus disease 2019 (COVID-19) pneumonia complicated by severe acute respiratory distress syndrome who was intubated for 19 days. She recovered from COVID-19 after a month. A computed tomography (CT) scan of the chest, after a month, showed improved infiltrates with a small residual cavity within the lingula. A CT angiogram showed a more confluent density in the lingular portion on follow-up 2 months later. She developed intermittent hemoptysis after 3 months in December 2020, which persisted for almost 6 months, and CT of the chest showed the lingular nodular with resolution of the cavitation. She underwent bronchoscopy with bronchoalveolar lavage, confirming by galactomannan assay and histology showing branching hyphae. Once she started treatment with itraconazole, her hemoptysis resolved. The follow-up CT of the chest after 2 months of treatment did not show a cavity or a nodule in the lingula. Our patient developed invasive pulmonary aspergillosis (IPA) as a sequela of severe COVID-19 infection. COVID-19-associated invasive pulmonary aspergillosis (CAPA) is an underrecognized complication that needs to be investigated on whether prophylactic treatment is required. Our case also demonstrates that the diagnosis of IPA needs to be considered months after COVID-19 infection when a superimposed fungal infection can occur after a viral infection if the patient continues to have persistent symptoms.

摘要

我们报告了一例 56 岁女性,患有严重的 2019 年冠状病毒病(COVID-19)肺炎,并发严重急性呼吸窘迫综合征,气管插管 19 天。一个月后,她从 COVID-19 中康复。一个月后的胸部计算机断层扫描(CT)显示浸润有所改善,舌叶内有一个小残腔。两个月后随访的 CT 血管造影显示舌叶部分的密度更融合。2020 年 12 月,她在 3 个月后出现间歇性咯血,持续近 6 个月,胸部 CT 显示舌叶结节,空洞消失。她接受了支气管镜检查和支气管肺泡灌洗,半乳甘露聚糖检测和组织学检查均证实为分支状菌丝。一旦开始服用伊曲康唑治疗,她的咯血就得到了缓解。治疗 2 个月后的胸部 CT 随访未显示舌叶有空腔或结节。我们的患者因严重 COVID-19 感染而发生侵袭性肺曲霉病(IPA)。COVID-19 相关侵袭性肺曲霉病(CAPA)是一种认识不足的并发症,需要调查是否需要预防性治疗。我们的病例还表明,在 COVID-19 感染后数月,如果患者持续存在症状,可能会发生真菌感染,需要考虑 IPA 的诊断。

https://cdn.ncbi.nlm.nih.gov/pmc/blobs/41e6/8744194/402ebd0a0dda/10.1177_23247096211063332-fig1.jpg

文献AI研究员

20分钟写一篇综述,助力文献阅读效率提升50倍。

立即体验

用中文搜PubMed

大模型驱动的PubMed中文搜索引擎

马上搜索

文档翻译

学术文献翻译模型,支持多种主流文档格式。

立即体验