Suppr超能文献

3D 打印多孔支架在不植骨情况下重建同侧股骨和胫骨骨缺损:1 例报告。

Reconstruction of Ipsilateral Femoral and Tibial Bone Defect by 3D Printed Porous Scaffold Without Bone Graft: A Case Report.

机构信息

Department of Orthopaedics, Peking University Third Hospital, Beijing, China.

Engineering Research Center of Bone and Joint Precision Medicine, Ministry of Education, Beijing, China.

出版信息

JBJS Case Connect. 2022 Jan 5;12(1):e20.00592. doi: 10.2106/JBJS.CC.20.00592.

Abstract

CASE

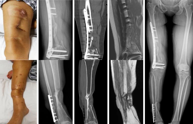
This study reported the case of a 42-year-old woman with traumatic ipsilateral critical bone defect of right femur and tibia after a motor accident. Three-dimensional (3D) printed porous titanium scaffolds were innovatively used to reconstruct this challenging situation. The initial stability was safe enough for early exercise and partial weight bearing. The 26-month follow-up showed osseous integration of the prosthesis-bone interface with short-term satisfactory clinical result.

CONCLUSION

The custom-designed 3D-printed porous scaffold has the potential to become an effective option for reconstructing the segmental irregular-shaped bone defect.

摘要

病例

本研究报告了一例车祸后右侧股骨和胫骨同侧严重创伤性骨缺损的 42 岁女性病例。创新性地使用了三维(3D)打印多孔钛支架来重建这种具有挑战性的情况。初始稳定性足以确保早期运动和部分负重的安全性。26 个月的随访显示假体-骨界面具有骨整合,短期临床效果满意。

结论

定制设计的 3D 打印多孔支架有可能成为重建节段性不规则形状骨缺损的有效选择。

https://cdn.ncbi.nlm.nih.gov/pmc/blobs/d234/10292573/0dff640a2529/jbjscc-12-e20.00592-g001.jpg

文献检索

告别复杂PubMed语法,用中文像聊天一样搜索,搜遍4000万医学文献。AI智能推荐,让科研检索更轻松。

立即免费搜索

文件翻译

保留排版,准确专业,支持PDF/Word/PPT等文件格式,支持 12+语言互译。

免费翻译文档

深度研究

AI帮你快速写综述,25分钟生成高质量综述,智能提取关键信息,辅助科研写作。

立即免费体验