• 文献检索
  • 文档翻译
  • 深度研究
  • 学术资讯
  • Suppr Zotero 插件Zotero 插件
  • 邀请有礼
  • 套餐&价格
  • 历史记录
应用&插件
Suppr Zotero 插件Zotero 插件浏览器插件Mac 客户端Windows 客户端微信小程序
定价
高级版会员购买积分包购买API积分包
服务
文献检索文档翻译深度研究API 文档MCP 服务
关于我们
关于 Suppr公司介绍联系我们用户协议隐私条款
关注我们

Suppr 超能文献

核心技术专利:CN118964589B侵权必究
粤ICP备2023148730 号-1Suppr @ 2026

文献检索

告别复杂PubMed语法,用中文像聊天一样搜索,搜遍4000万医学文献。AI智能推荐,让科研检索更轻松。

立即免费搜索

文件翻译

保留排版,准确专业,支持PDF/Word/PPT等文件格式,支持 12+语言互译。

免费翻译文档

深度研究

AI帮你快速写综述,25分钟生成高质量综述,智能提取关键信息,辅助科研写作。

立即免费体验

通过花生四烯酸途径减少炎症反应的成分在治疗骨关节炎中的相容性。

Compatibility of components in reducing inflammatory response through Arachidonic acid pathway for treatment of Osteoarthritis.

机构信息

Master Bailing Liu's Tianchi Traumatology Inheritance Studio, Shenzhen Bailin Chinese Traditional Orthopaedic Hospital, Shenzhen, China.

Orthopedics Department, The Fourth Clinical Medical College of Guangzhou University of Chinese Medicine, Shenzhen Traditional Chinese Medicine Hospital, Shenzhen, China.

出版信息

Bioengineered. 2022 Jan;13(1):1746-1757. doi: 10.1080/21655979.2021.2020394.

DOI:10.1080/21655979.2021.2020394
PMID:35001833
原文链接:https://pmc.ncbi.nlm.nih.gov/articles/PMC8805818/
Abstract

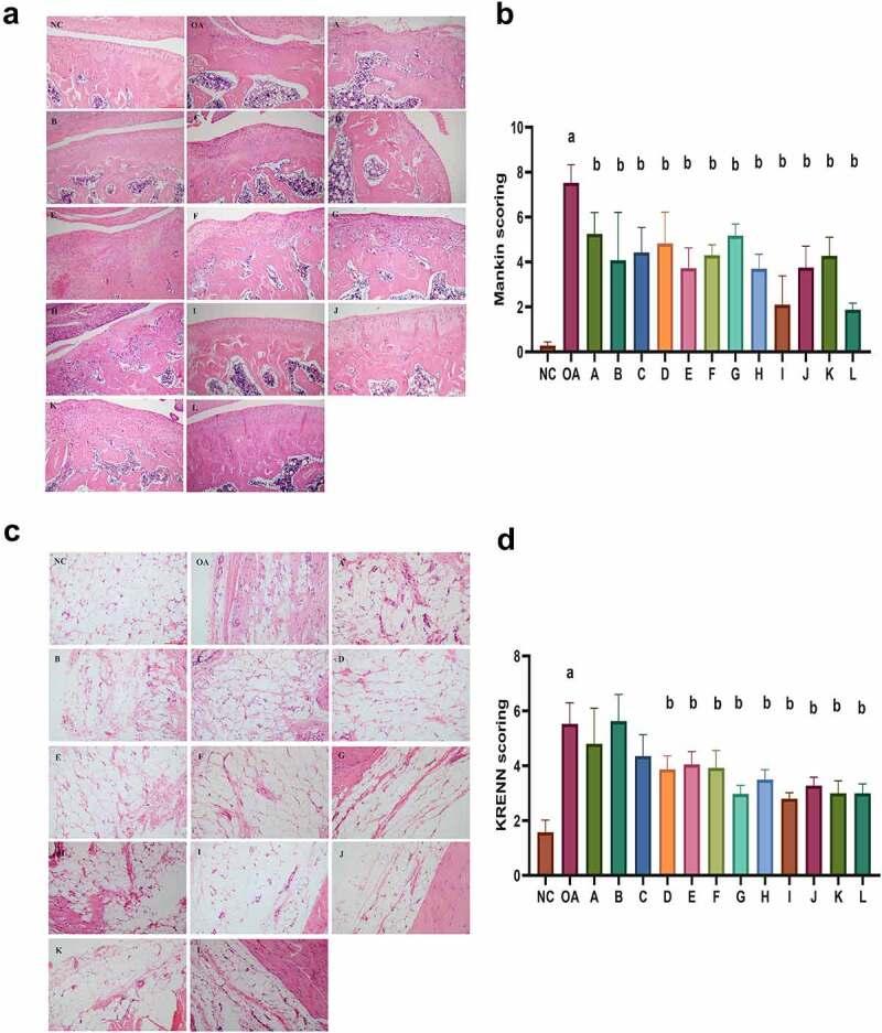
is a common traditional Chinese medicine (TCM) used in treating osteoarthritis (OA). The compatibility between effective components has now become a breakthrough in understanding the mechanism of TCM. This study aimed at determining the optimal compatibility and possible mechanism of for OA treatment. Results showed that the adhesion score of the OA group is higher than NC group, and showed a trend of down-regulation in the intervention group. The and IL-1β in joint fluid of the OA group was significantly increased compared to the sham operation group (NC group). Group G, I, and L exhibited significantly down-regulated , while groups C, F, I, K, and L exhibited reduced IL-1β. Joint adhesion, damage in cartilage, and synovial tissue was found in the OA model, cartilage tissue was found recovered in groups I, J, and L, and synovial tissue was recovered in group G, I, and L. Thus, group I and L were chosen for metabolite analysis, and indole-3-propionic acid was slightly up-regulated, while koeiginequinone A, prostaglandin H2, and 1-hydroxy-3-methoxy-10-methylacridonew were down-regulated in group I and L. According to functional analysis, the arachidonic acid (AA) metabolic pathway is enriched. Down-regulated expression of vital proteins in the AA metabolism pathway, such as PGE2 and 2 in group I and L were verified. In conclusion, at a compatibility of 0.03-μg/mg, 2.0-μg/mg, 20.0-μg/mg or 0.03-μg/mg, 2.0-μg/mg, 10.0-μg/mg, respectively, may be the optimal compatibility of .

摘要

是一种常用的中药(TCM),用于治疗骨关节炎(OA)。有效成分的配伍现在已成为理解中药机制的突破点。本研究旨在确定治疗 OA 的最佳配伍和可能的机制。结果表明,OA 组的粘连评分高于 NC 组,且干预组呈下调趋势。与假手术组(NC 组)相比,OA 组关节液中的 和 IL-1β显著增加。与 C、F、I、K 和 L 组相比,G、I 和 L 组 显著下调,而 IL-1β降低。OA 模型中发现关节粘连、软骨损伤和滑膜组织损伤,I、J 和 L 组中发现软骨组织恢复,G、I 和 L 组中发现滑膜组织恢复。因此,选择 I 和 L 组进行代谢物分析,发现吲哚-3-丙酸略有上调,而 I 和 L 组中的 koegienequinone A、前列腺素 H2 和 1-羟基-3-甲氧基-10-甲基吖啶酮下调。根据功能分析,发现花生四烯酸(AA)代谢途径富集。I 和 L 组中 AA 代谢途径中关键蛋白的表达下调,如 PGE2 和 2 得到验证。综上所述,在 0.03-μg/mg、2.0-μg/mg、20.0-μg/mg 或 0.03-μg/mg、2.0-μg/mg、10.0-μg/mg 的配伍下, 可能是 的最佳配伍。

https://cdn.ncbi.nlm.nih.gov/pmc/blobs/59b5/8805818/a89d1e551934/KBIE_A_2020394_F0005_OC.jpg
https://cdn.ncbi.nlm.nih.gov/pmc/blobs/59b5/8805818/5141a627b21a/KBIE_A_2020394_F0001_B.jpg
https://cdn.ncbi.nlm.nih.gov/pmc/blobs/59b5/8805818/58f81bfcfddf/KBIE_A_2020394_F0002_OC.jpg
https://cdn.ncbi.nlm.nih.gov/pmc/blobs/59b5/8805818/fe6fd151cef3/KBIE_A_2020394_F0003_OC.jpg
https://cdn.ncbi.nlm.nih.gov/pmc/blobs/59b5/8805818/c922a0377708/KBIE_A_2020394_F0004_OC.jpg
https://cdn.ncbi.nlm.nih.gov/pmc/blobs/59b5/8805818/a89d1e551934/KBIE_A_2020394_F0005_OC.jpg
https://cdn.ncbi.nlm.nih.gov/pmc/blobs/59b5/8805818/5141a627b21a/KBIE_A_2020394_F0001_B.jpg
https://cdn.ncbi.nlm.nih.gov/pmc/blobs/59b5/8805818/58f81bfcfddf/KBIE_A_2020394_F0002_OC.jpg
https://cdn.ncbi.nlm.nih.gov/pmc/blobs/59b5/8805818/fe6fd151cef3/KBIE_A_2020394_F0003_OC.jpg
https://cdn.ncbi.nlm.nih.gov/pmc/blobs/59b5/8805818/c922a0377708/KBIE_A_2020394_F0004_OC.jpg
https://cdn.ncbi.nlm.nih.gov/pmc/blobs/59b5/8805818/a89d1e551934/KBIE_A_2020394_F0005_OC.jpg

相似文献

1
Compatibility of components in reducing inflammatory response through Arachidonic acid pathway for treatment of Osteoarthritis.通过花生四烯酸途径减少炎症反应的成分在治疗骨关节炎中的相容性。
Bioengineered. 2022 Jan;13(1):1746-1757. doi: 10.1080/21655979.2021.2020394.
2
Achyranthes bidentate saponins protect rat articular chondrocytes against interleukin-1β-induced inflammation and apoptosis in vitro.牛膝皂苷在体外保护大鼠关节软骨细胞免受白细胞介素-1β诱导的炎症和凋亡。
Kaohsiung J Med Sci. 2017 Feb;33(2):62-68. doi: 10.1016/j.kjms.2016.11.004. Epub 2016 Dec 30.
3
An exploratory metabolomic study reveals the Dipsacus asper-Achyranthes bidentate herb pair against osteoarthritis by modulating imbalance in polyunsaturated fatty acids and energy metabolism.一项探索性代谢组学研究表明,续断-牛膝药对对骨关节炎的作用机制是通过调节多不饱和脂肪酸和能量代谢失衡。
J Pharm Biomed Anal. 2024 Aug 1;245:116196. doi: 10.1016/j.jpba.2024.116196. Epub 2024 May 6.
4
A Systematic Pharmacology and In Vitro Study to Identify the Role of the Active Compounds of Achyranthes bidentata in the Treatment of Osteoarthritis.系统药理学和体外研究鉴定牛膝中活性化合物治疗骨关节炎的作用。
Med Sci Monit. 2020 Sep 14;26:e925545. doi: 10.12659/MSM.925545.
5
Achyranthes bidentate extracts protect the IL-1β-induced osteoarthritis of SW1353 chondrocytes.牛膝提取物保护 IL-1β诱导的 SW1353 软骨细胞骨关节炎。
J Biosci Bioeng. 2023 Dec;136(6):462-470. doi: 10.1016/j.jbiosc.2023.09.008. Epub 2023 Sep 29.
6
Achyranthes bidentata polysaccharides activate the Wnt/β-catenin signaling pathway to promote chondrocyte proliferation.牛膝多糖激活Wnt/β-连环蛋白信号通路以促进软骨细胞增殖。
Int J Mol Med. 2014 Oct;34(4):1045-50. doi: 10.3892/ijmm.2014.1869. Epub 2014 Jul 29.
7
Effect of a Herbal-Leucine mix on the IL-1β-induced cartilage degradation and inflammatory gene expression in human chondrocytes.草本亮氨酸混合物对人软骨细胞中 IL-1β 诱导的软骨降解和炎症基因表达的影响。
BMC Complement Altern Med. 2011 Aug 19;11:66. doi: 10.1186/1472-6882-11-66.
8
Standardized butanol fraction of WIN-34B suppresses cartilage destruction via inhibited production of matrix metalloproteinase and inflammatory mediator in osteoarthritis human cartilage explants culture and chondrocytes.WIN-34B 的标准化正丁醇级分通过抑制骨关节炎人软骨外植体培养和软骨细胞中基质金属蛋白酶和炎症介质的产生来抑制软骨破坏。
BMC Complement Altern Med. 2012 Dec 15;12:256. doi: 10.1186/1472-6882-12-256.
9
Raw and salt-processed Achyranthes bidentata attenuate LPS-induced acute kidney injury by inhibiting ROS and apoptosis via an estrogen-like pathway.生品和盐炙牛膝通过雌激素样途径抑制 ROS 和凋亡来减轻 LPS 诱导的急性肾损伤。
Biomed Pharmacother. 2020 Sep;129:110403. doi: 10.1016/j.biopha.2020.110403. Epub 2020 Jun 20.
10
Achyranthes bidentata polysaccharides induce chondrocyte proliferation via the promotion of the G1/S cell cycle transition.牛膝多糖通过促进 G1/S 细胞周期转换诱导软骨细胞增殖。
Mol Med Rep. 2013 Mar;7(3):935-40. doi: 10.3892/mmr.2013.1286. Epub 2013 Jan 22.

引用本文的文献

1
Exploring the Therapeutic Potential of FSGTC for Osteoarthritis: A Comprehensive Study Combining Nested Case Analysis, Network Pharmacology, and Experimental Validation.探索FSGTC对骨关节炎的治疗潜力:一项结合巢式病例分析、网络药理学和实验验证的综合研究
Drug Des Devel Ther. 2025 Jun 17;19:5123-5141. doi: 10.2147/DDDT.S517935. eCollection 2025.
2
Exosomes derived from hypoxic mesenchymal stem cell ameliorate premature ovarian insufficiency by reducing mitochondrial oxidative stress.缺氧间充质干细胞来源的外泌体通过降低线粒体氧化应激改善卵巢早衰。
Sci Rep. 2025 Mar 10;15(1):8235. doi: 10.1038/s41598-025-90879-3.
3

本文引用的文献

1
Peripheral Anti-nociceptive and Anti-inflammatory Effect of Oleanolic Acid in a Rat Model of Osteoarthritis.齐墩果酸对骨关节炎大鼠模型的外周抗伤害和抗炎作用。
Antiinflamm Antiallergy Agents Med Chem. 2021;20(3):239-249. doi: 10.2174/1871523019999201111191754.
2
A Systematic Pharmacology and In Vitro Study to Identify the Role of the Active Compounds of Achyranthes bidentata in the Treatment of Osteoarthritis.系统药理学和体外研究鉴定牛膝中活性化合物治疗骨关节炎的作用。
Med Sci Monit. 2020 Sep 14;26:e925545. doi: 10.12659/MSM.925545.
3
extract protects chondrocytes functions through suppressing glycolysis and apoptosis via MAPK/AKT signaling axis.
Clinical research on the effectiveness and safety of Uchasingihwan for low back pain with radiculopathy caused by herniated intervertebral disc of the lumbar spine: A multicenter, randomized, controlled equivalence trial.
乌蛇追风丸治疗腰椎间盘突出症所致神经根性腰腿痛的有效性和安全性的临床研究:一项多中心、随机、对照等效性试验。
Integr Med Res. 2024 Dec;13(4):101090. doi: 10.1016/j.imr.2024.101090. Epub 2024 Sep 30.
4
Regulation of chondrocyte apoptosis in osteoarthritis by endoplasmic reticulum stress.内质网应激对骨关节炎中软骨细胞凋亡的调控
Cell Stress Chaperones. 2024 Dec;29(6):750-763. doi: 10.1016/j.cstres.2024.11.001. Epub 2024 Nov 6.
5
Effects of Bushen Huayu Decoction combined with entecavir on liver function and hepatic fibrosis in patients with compensated cirrhosis.补肾化瘀汤联合恩替卡韦对代偿期肝硬化患者肝功能及肝纤维化的影响
Am J Transl Res. 2024 Aug 15;16(8):4163-4173. doi: 10.62347/QDXJ3369. eCollection 2024.
6
Arachidonic acid in aging: New roles for old players.衰老过程中的花生四烯酸:老物质的新作用。
J Adv Res. 2025 Apr;70:79-101. doi: 10.1016/j.jare.2024.05.003. Epub 2024 May 4.
7
Human mesenchymal stem cells derived exosomes improve ovarian function in chemotherapy-induced premature ovarian insufficiency mice by inhibiting ferroptosis through Nrf2/GPX4 pathway.人骨髓间充质干细胞来源的外泌体通过 Nrf2/GPX4 通路抑制铁死亡来改善化疗诱导的卵巢早衰小鼠的卵巢功能。
J Ovarian Res. 2024 Apr 15;17(1):80. doi: 10.1186/s13048-024-01403-6.
8
Total Flavonoids of Rhizoma Drynariae Treat Osteoarthritis by Inhibiting Arachidonic Acid Metabolites Through AMPK/NFκB Pathway.骨碎补总黄酮通过AMPK/NFκB途径抑制花生四烯酸代谢产物治疗骨关节炎
J Inflamm Res. 2023 Sep 20;16:4123-4140. doi: 10.2147/JIR.S418345. eCollection 2023.
9
Biological Functions of Selenoprotein Glutathione Peroxidases (GPXs) and their Expression in Osteoarthritis.硒蛋白谷胱甘肽过氧化物酶(GPXs)的生物学功能及其在骨关节炎中的表达
J Inflamm Res. 2023 Jan 13;16:183-196. doi: 10.2147/JIR.S388934. eCollection 2023.
10
Protective role of polysaccharides against chondrocyte extracellular matrix degeneration through lncRNA GAS5 in osteoarthritis.多糖通过长链非编码RNA GAS5对骨关节炎中软骨细胞外基质退变的保护作用
Exp Ther Med. 2022 Jun 22;24(2):532. doi: 10.3892/etm.2022.11459. eCollection 2022 Aug.
提取物通过丝裂原活化蛋白激酶/蛋白激酶B信号轴抑制糖酵解和细胞凋亡来保护软骨细胞功能。
Am J Transl Res. 2020 Jan 15;12(1):142-152. eCollection 2020.
4
Osteoarthritis: Pathology, Diagnosis, and Treatment Options.骨关节炎:病理学、诊断和治疗选择。
Med Clin North Am. 2020 Mar;104(2):293-311. doi: 10.1016/j.mcna.2019.10.007. Epub 2019 Dec 18.
5
Whole-transcriptome sequencing of knee joint cartilage from osteoarthritis patients.骨关节炎患者膝关节软骨的全转录组测序
Bone Joint Res. 2019 Aug 2;8(7):290-303. doi: 10.1302/2046-3758.87.BJR-2018-0297.R1. eCollection 2019 Jul.
6
Osteoarthritis.骨关节炎。
Lancet. 2019 Apr 27;393(10182):1745-1759. doi: 10.1016/S0140-6736(19)30417-9.
7
A Bioinformatic Profile of Gene Expression of Colorectal Carcinoma Derived Organoids.结直肠癌类器官基因表达的生物信息学特征。
Biomed Res Int. 2018 Sep 27;2018:2594076. doi: 10.1155/2018/2594076. eCollection 2018.
8
Pro-inflammatory cytokines: The link between obesity and osteoarthritis.促炎细胞因子:肥胖与骨关节炎之间的联系。
Cytokine Growth Factor Rev. 2018 Dec;44:38-50. doi: 10.1016/j.cytogfr.2018.10.002. Epub 2018 Oct 11.
9
Application of global metabolomic profiling of synovial fluid for osteoarthritis biomarkers.滑液的全代谢组学分析在骨关节炎生物标志物中的应用。
Biochem Biophys Res Commun. 2018 May 5;499(2):182-188. doi: 10.1016/j.bbrc.2018.03.117. Epub 2018 Mar 24.
10
Metabolomics of osteoarthritis: emerging novel markers and their potential clinical utility.骨关节炎的代谢组学:新兴的新型标志物及其潜在的临床应用。
Rheumatology (Oxford). 2018 Dec 1;57(12):2087-2095. doi: 10.1093/rheumatology/kex497.