Suppr超能文献

C/EBPβ 在 K134 位点的 PAR 化与 SUMO 化之间的串扰参与病理性心肌肥厚。

The cross-talk between PARylation and SUMOylation in C/EBPβ at K134 site participates in pathological cardiac hypertrophy.

机构信息

Department of Pharmacology and Toxicology, School of Pharmaceutical Sciences, Sun Yat-Sen University, Guangdong, China.

Laboratory of Hematopathology & Drug Discovery, School of Medicine, South China University of Technology, Guangdong, China.

出版信息

Int J Biol Sci. 2022 Jan 1;18(2):783-799. doi: 10.7150/ijbs.65211. eCollection 2022.

Abstract

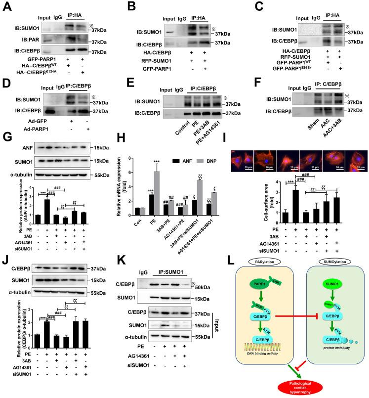
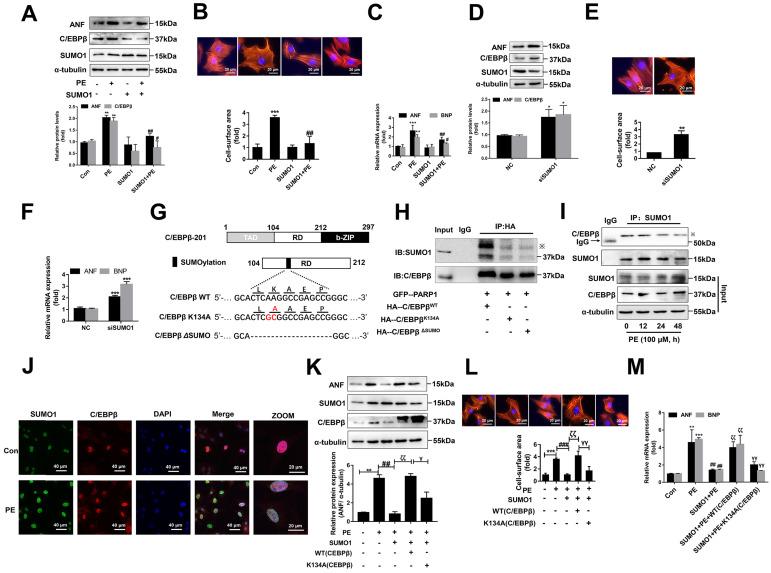
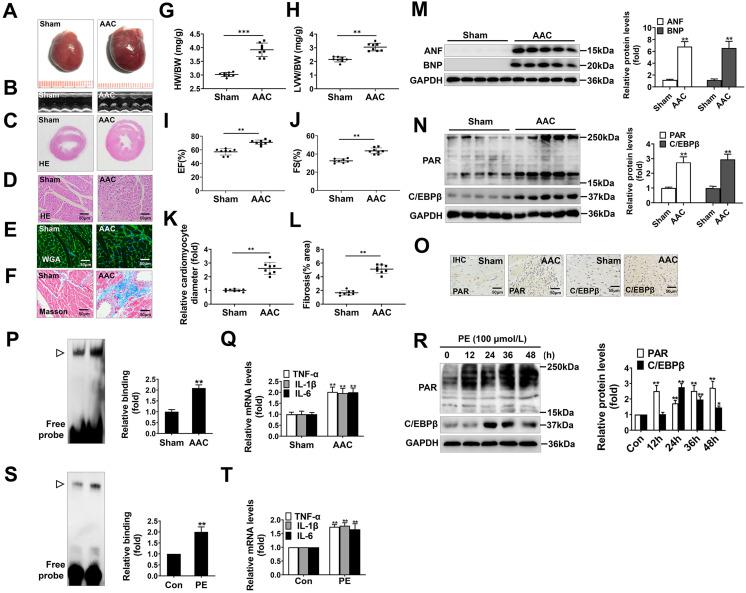
Poly(ADP-ribosyl)ation (PARylation) and SUMO modification (SUMOylation) are novel post-translational modifications (PTMs) mainly induced by PARP1 and SUMO1. Growing evidence has revealed that C/EBPβ plays multiple roles in biological processes and participates in cardiovascular diseases. However, the cross-talk between C/EBPβ PARylation and SUMOylation during cardiovascular diseases is unknown. This study aims to investigate the effects of C/EBPβ PTMs on cardiac hypertrophy and its underlying mechanism. Abdominal aortic constriction (AAC) and phenylephrine (PE) were conducted to induce cardiac hypertrophy. Intramyocardial delivery of recombinant adenovirus (Ad-PARP1) was taken to induce PARP1 overexpression. In this study, we found C/EBPβ participates in PARP1-induced cardiac hypertrophy. C/EBPβ K134 residue could be both PARylated and SUMOylated individually by PARP1 and SUMO1. Moreover, the accumulation of PARylation on C/EBPβ at K134 site exhibits downregulation of C/EBPβ SUMOylation at the same site. Importantly, C/EBPβ K134 site SUMOylation could decrease C/EBPβ protein stability and participates in PARP1-induced cardiac hypertrophy. Taken together, these findings highlight the importance of the cross-talk between C/EBPβ PTMs at K134 site in determining its protein level and function, suggesting that multi-target pharmacological strategies inhibiting PARP1 and activating C/EBPβ SUMOylation would be potential for treating pathological cardiac hypertrophy.

摘要

聚(ADP-核糖)化(PARylation)和 SUMO 修饰(SUMOylation)是主要由 PARP1 和 SUMO1 诱导的新型翻译后修饰(PTMs)。越来越多的证据表明,C/EBPβ 在生物学过程中发挥多种作用,并参与心血管疾病。然而,C/EBPβ PARylation 和 SUMOylation 之间在心血管疾病中的相互作用尚不清楚。本研究旨在探讨 C/EBPβ PTMs 对心肌肥大的影响及其潜在机制。腹主动脉缩窄(AAC)和苯肾上腺素(PE)用于诱导心肌肥大。采用心肌内注射重组腺病毒(Ad-PARP1)诱导 PARP1 过表达。在本研究中,我们发现 C/EBPβ 参与 PARP1 诱导的心肌肥大。PARP1 和 SUMO1 可分别使 C/EBPβ 的 K134 残基发生 PARylation 和 SUMOylation。此外,C/EBPβ K134 位 PARylation 的积累导致该位点的 C/EBPβ SUMOylation 下调。重要的是,C/EBPβ K134 位 SUMOylation 可降低 C/EBPβ 蛋白稳定性,并参与 PARP1 诱导的心肌肥大。总之,这些发现强调了 C/EBPβ K134 位点 PTMs 之间相互作用在决定其蛋白水平和功能中的重要性,表明抑制 PARP1 和激活 C/EBPβ SUMOylation 的多靶点药理学策略可能是治疗病理性心肌肥大的潜在方法。

https://cdn.ncbi.nlm.nih.gov/pmc/blobs/7119/8741850/79ead399dd16/ijbsv18p0783g001.jpg

文献检索

告别复杂PubMed语法,用中文像聊天一样搜索,搜遍4000万医学文献。AI智能推荐,让科研检索更轻松。

立即免费搜索

文件翻译

保留排版,准确专业,支持PDF/Word/PPT等文件格式,支持 12+语言互译。

免费翻译文档

深度研究

AI帮你快速写综述,25分钟生成高质量综述,智能提取关键信息,辅助科研写作。

立即免费体验