Colakerol Aykut, Temiz Mustafa Zafer, Adem Mubarek Bargicho, Ozdogan Kamil, Celebi Fatih, Kandirali Engin, Muslumanoglu Ahmet Yaser
Department of Urology, Bagcilar Training and Research Hospital, Istanbul, Turkey.
Department of General Surgery, Urology Unit, St. Paul's Hospital Millennium Medical College, Addis Ababa, Ethiopia.
Case Rep Urol. 2021 Dec 31;2021:8221488. doi: 10.1155/2021/8221488. eCollection 2021.
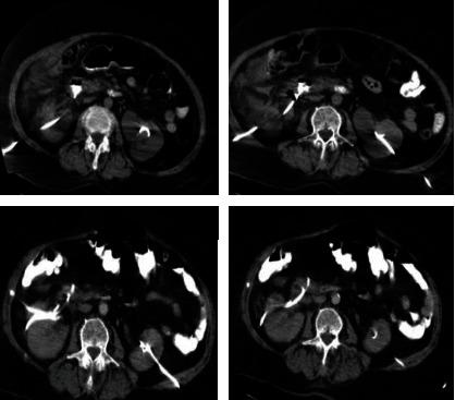
Herein, we reported a duodenal perforation case as an intestinal injury during a percutaneous nephrostomy procedure. A 73-year-old woman with bilateral nephrostomy catheters was applied to the emergency service with right flank pain. Early in the day, her bilateral nephrostomy catheters had been changed. On physical examination, she had a defense and rebound at her right quadrant, and costovertebral angle tenderness was also positive. In the contrast-enhanced abdominal computed tomography scan, the right nephrostomy catheter was located in the second part of the duodenum, and the contrast agent did not leak into the peritoneum from the injury area. We decided on conservative management of the case with active surveillance using daily blood tests and physical examinations. The nephrostomy catheter in the duodenum was left to prevent fistula between the duodenum and the skin, and a new one was placed in the right kidney. The broad spectrum antibiotherapy regime was applied, and the patient was followed up closely. The catheter in the duodenum was removed on the 20th day, uneventfully, and the patient was discharged successfully on the 24th day with her permanent bilateral nephrostomy tubes. On the first follow-up, one month later, the patient had no active medical complaint.
在此,我们报告一例经皮肾造瘘术期间十二指肠穿孔作为肠道损伤的病例。一名73岁双侧肾造瘘管的女性因右侧胁腹疼痛被送往急诊。当天早些时候,她的双侧肾造瘘管已更换。体格检查时,她右下腹有防御性反应和反跳痛,肋脊角压痛也呈阳性。在腹部增强计算机断层扫描中,右肾造瘘管位于十二指肠第二部,造影剂未从损伤部位漏入腹膜。我们决定对该病例进行保守治疗,通过每日血液检查和体格检查进行积极监测。十二指肠内的肾造瘘管予以保留以防止十二指肠与皮肤之间形成瘘管,并在右肾置入一根新的造瘘管。应用广谱抗生素治疗方案,并对患者进行密切随访。十二指肠内的导管在第20天顺利拔除,患者在第24天带着永久性双侧肾造瘘管成功出院。在1个月后的首次随访中,患者无活动性医疗主诉。