Suppr超能文献

-缺陷小鼠在外周神经中出现体感功能障碍和轴突损失。

-deficient mice develop somatosensory dysfunction and axonal loss in the peripheral nerves.

作者信息

Nakai-Shimoda Hiromi, Himeno Tatsuhito, Okawa Tetsuji, Miura-Yura Emiri, Sasajima Sachiko, Kato Makoto, Yamada Yuichiro, Morishita Yoshiaki, Tsunekawa Shin, Kato Yoshiro, Seino Yusuke, Inoue Rieko, Kondo Masaki, Seino Susumu, Naruse Keiko, Kato Koichi, Mizukami Hiroki, Nakamura Jiro, Kamiya Hideki

机构信息

Division of Diabetes, Department of Internal Medicine, Aichi Medical University School of Medicine, Nagakute 480-1185, Japan.

Department of Innovative Diabetes Therapy, Aichi Medical University School of Medicine, Nagakute 480-1185, Japan.

出版信息

iScience. 2021 Dec 11;25(1):103609. doi: 10.1016/j.isci.2021.103609. eCollection 2022 Jan 21.

Abstract

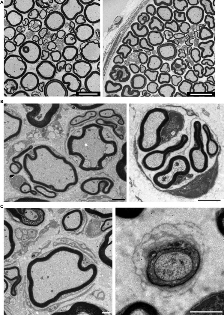
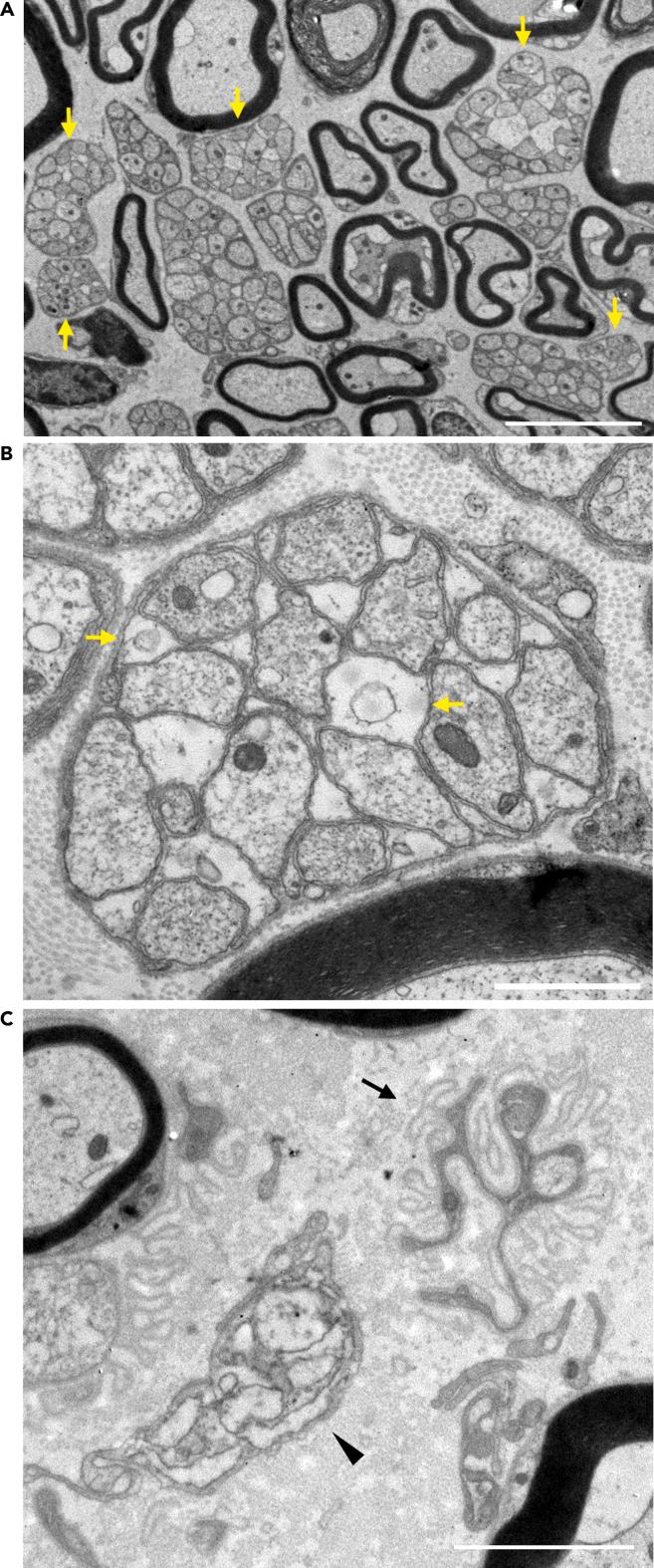
Glucose-responsive ATP-sensitive potassium channels (K) are expressed in a variety of tissues including nervous systems. The depolarization of the membrane potential induced by glucose may lead to hyperexcitability of neurons and induce excitotoxicity. However, the roles of K in the peripheral nervous system (PNS) are poorly understood. Here, we determine the roles of K in the PNS using K-deficient (-deficient) mice. We demonstrate that neurite outgrowth of dorsal root ganglion (DRG) neurons was reduced by channel closers sulfonylureas. However, a channel opener diazoxide elongated the neurite. K subunits were expressed in mouse DRG, and expression of certain subunits including Kir6.2 was increased in diabetic mice. In -deficient mice, the current perception threshold, thermal perception threshold, and sensory nerve conduction velocity were impaired. Electron microscopy revealed a reduction of unmyelinated and small myelinated fibers in the sural nerves. In conclusion, K may contribute to the development of peripheral neuropathy.

摘要

葡萄糖反应性ATP敏感性钾通道(K)在包括神经系统在内的多种组织中表达。葡萄糖诱导的膜电位去极化可能导致神经元过度兴奋并诱发兴奋性毒性。然而,K在外周神经系统(PNS)中的作用却知之甚少。在此,我们使用K缺陷(-缺陷)小鼠来确定K在PNS中的作用。我们证明,通道关闭剂磺脲类药物可减少背根神经节(DRG)神经元的神经突生长。然而,通道开放剂二氮嗪可延长神经突。K亚基在小鼠DRG中表达,并且在糖尿病小鼠中某些亚基(包括Kir6.2)的表达增加。在-缺陷小鼠中,电流感觉阈值、热感觉阈值和感觉神经传导速度均受损。电子显微镜检查显示腓肠神经中无髓鞘和小髓鞘纤维减少。总之,K可能与周围神经病变的发生有关。

https://cdn.ncbi.nlm.nih.gov/pmc/blobs/6566/8719014/84783a740fc2/fx1.jpg

文献检索

告别复杂PubMed语法,用中文像聊天一样搜索,搜遍4000万医学文献。AI智能推荐,让科研检索更轻松。

立即免费搜索

文件翻译

保留排版,准确专业,支持PDF/Word/PPT等文件格式,支持 12+语言互译。

免费翻译文档

深度研究

AI帮你快速写综述,25分钟生成高质量综述,智能提取关键信息,辅助科研写作。

立即免费体验