Suppr超能文献

骨髓间充质干细胞与髓系细胞的串扰代表了衰老的生物标志物,可调节免疫反应和骨质吸收。

The Cross-Talk between Myeloid and Mesenchymal Stem Cells of Human Bone Marrow Represents a Biomarker of Aging That Regulates Immune Response and Bone Reabsorption.

机构信息

Section of Immunology, Department of Medicine, University of Verona, Policlinico GB Rossi, Piazzale L.A. Scuro 10, 37134 Verona, Italy.

Orthopedic and Traumatology Clinic, Department of Surgery, University of Verona, 37134 Verona, Italy.

出版信息

Cells. 2021 Dec 21;11(1):1. doi: 10.3390/cells11010001.

Abstract

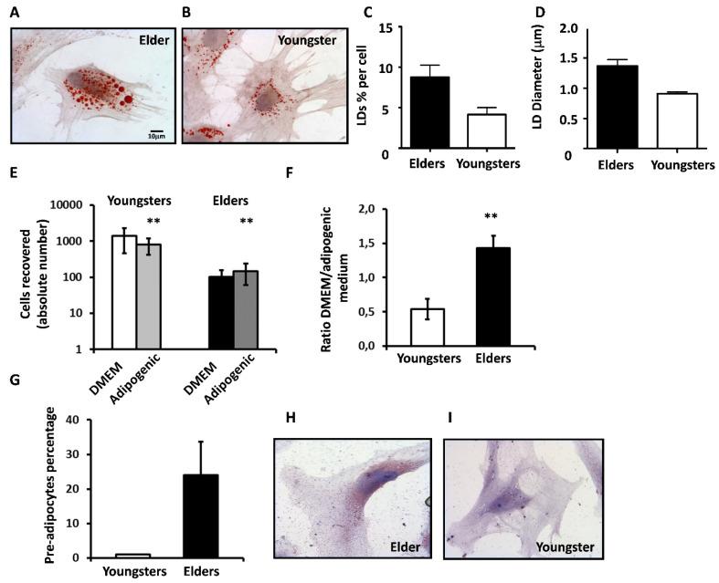
One of the mechanisms that characterizes the aging process of different organs is the accumulation of fat. Different authors have demonstrated that adipose tissue replaces the loss of other cell types, deriving from mesenchymal cells. During aging, there is substitution or trans-differentiation of mesenchymal cells with other cells having the same embryological origin. Newly formed adipocytes were also observed in the trabecular matrix of elderly people's bones, associated with myeloid cells. In this study, we have investigated the relationship between immature myeloid-derived suppressor cells (I-MDSCs) and mesenchymal stem cells (MSCs) in bone marrow (BM) samples harvested from 57 patients subjected to different orthopedic surgeries. Patients aged from 18 to 92 years were considered in order to compare the cellular composition of bone marrow of young and elderly people, considered a biomarker of immunity, inflammation, and bone preservation. The I-MDSC percentage was stable during aging, but in elderly people, it was possible to observe a strong basal immunosuppression of autologous and heterologous T cells' proliferation. We hypothesized that this pattern observed in elders depends on the progressive accumulation in the BM of activating stimuli, including cell-cell contact, or the production of different cytokines and proteins that induce the differentiation of bone marrow mesenchymal stem cells in adipocytes. The collected data provided underline the importance of specific biomarkers of aging that promote a reduction in immune response and incremented inflammatory pathways, leading to bone reabsorption in elderly people.

摘要

脂肪积累是描述不同器官衰老过程的机制之一。不同的作者已经证明,脂肪组织取代了其他细胞类型的损失,这些细胞类型源自间充质细胞。在衰老过程中,间充质细胞会被其他具有相同胚胎起源的细胞取代或转分化。还观察到老年人骨骼小梁基质中存在新形成的脂肪细胞,与髓样细胞有关。在这项研究中,我们研究了从 57 名接受不同骨科手术的患者采集的骨髓 (BM) 样本中未成熟髓系来源的抑制细胞 (I-MDSC) 和间充质干细胞 (MSC) 之间的关系。考虑到患者年龄在 18 至 92 岁之间,以比较年轻人和老年人骨髓的细胞组成,这被认为是免疫、炎症和骨保护的生物标志物。I-MDSC 百分比在衰老过程中保持稳定,但在老年人中,可以观察到自体和异体 T 细胞增殖的强烈基础免疫抑制。我们假设,在老年人中观察到的这种模式取决于 BM 中激活刺激物的逐渐积累,包括细胞-细胞接触,或产生不同的细胞因子和蛋白质,诱导骨髓间充质干细胞向脂肪细胞分化。所收集的数据强调了特定衰老标志物的重要性,这些标志物促进免疫反应的减少和炎症途径的增加,导致老年人的骨质吸收。

https://cdn.ncbi.nlm.nih.gov/pmc/blobs/93e0/8750773/3af4f7af90d7/cells-11-00001-g001.jpg

文献检索

告别复杂PubMed语法,用中文像聊天一样搜索,搜遍4000万医学文献。AI智能推荐,让科研检索更轻松。

立即免费搜索

文件翻译

保留排版,准确专业,支持PDF/Word/PPT等文件格式,支持 12+语言互译。

免费翻译文档

深度研究

AI帮你快速写综述,25分钟生成高质量综述,智能提取关键信息,辅助科研写作。

立即免费体验