Suppr超能文献

宫颈同源性癌肉瘤与子宫内膜未分化癌并存:一例免疫组织化学分析及文献复习的病例报告

Coexistence of homologous-type carcinosarcoma of the cervix with undifferentiated carcinoma of the endometrium: A case report with Immunohistochemical analysis and literature review.

作者信息

Giordano Giovanna, Feiroli Elena, Maria Rodolfi Anna, Madaro Serena, Berretta Roberto

机构信息

Department of Medicine and Surgery, Pathology Unit, University of Parma, Italy.

Department of Pathology, Guglielmo da Saliceto Hospital, Piacenza, Italy.

出版信息

Gynecol Oncol Rep. 2022 Jan 7;39:100924. doi: 10.1016/j.gore.2022.100924. eCollection 2022 Feb.

Abstract

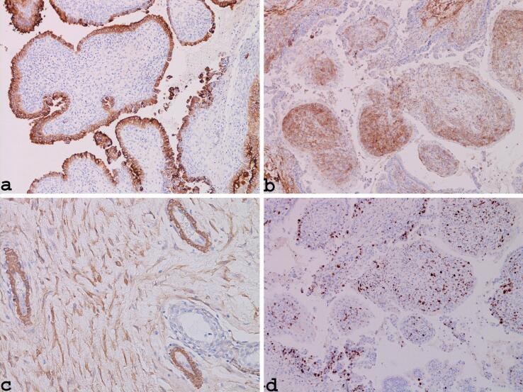
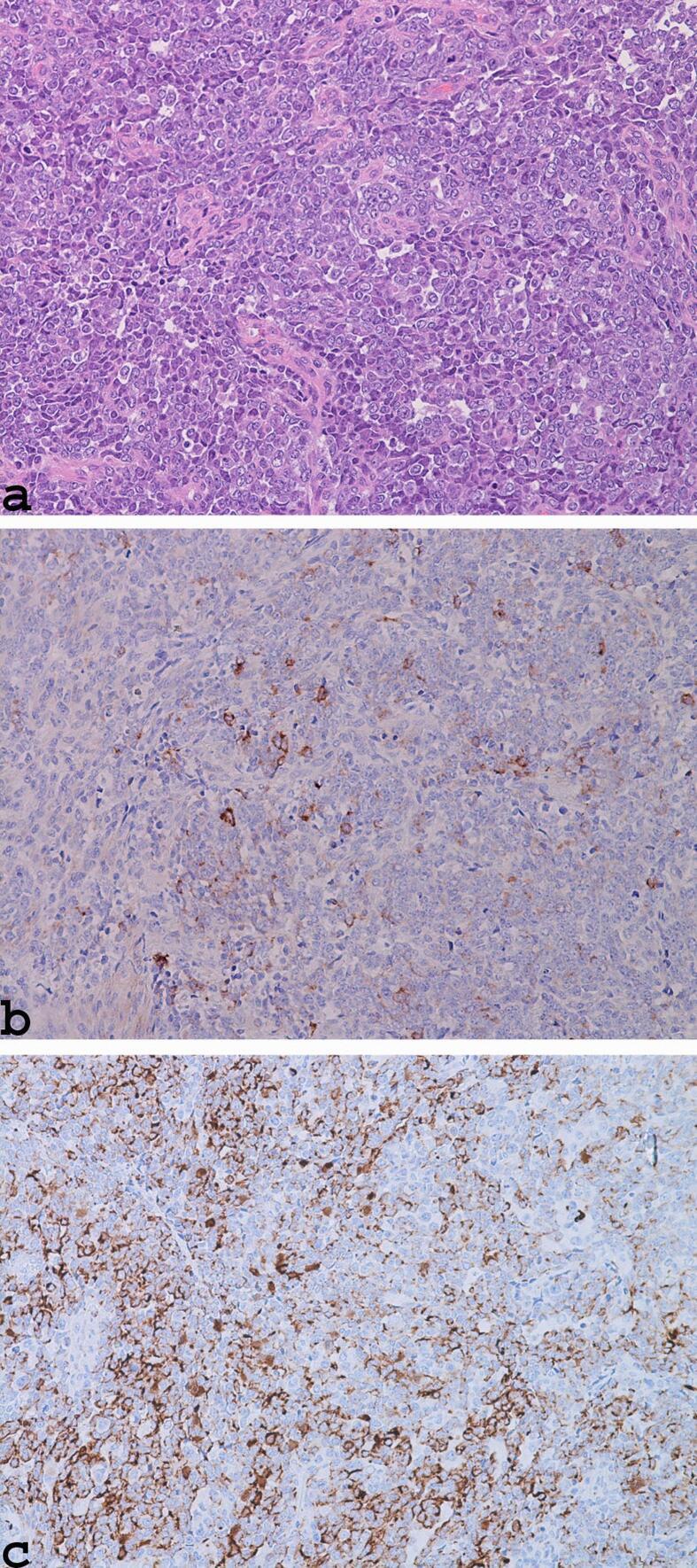
We report a case of undifferentiated carcinoma of the endometrium associated with malignant mixed Müllerian tumour of the uterine cervix. Immunohistochemical analysis with multiple markers was performed to demonstrate the coexistence of highly two aggressive components in the same uterus. Clinical data were collected and followed up, and a careful literature review was performed to establish the occurence of these components in a uterine malignancy.

摘要

我们报告一例子宫内膜未分化癌合并宫颈恶性混合性苗勒管肿瘤的病例。采用多种标志物进行免疫组化分析,以证实同一子宫内存在两种高度侵袭性成分。收集并随访临床资料,并对文献进行仔细回顾,以确定这些成分在子宫恶性肿瘤中的发生率。

https://cdn.ncbi.nlm.nih.gov/pmc/blobs/9363/8761692/92f7902730aa/gr1.jpg

文献AI研究员

20分钟写一篇综述,助力文献阅读效率提升50倍。

立即体验

用中文搜PubMed

大模型驱动的PubMed中文搜索引擎

马上搜索

文档翻译

学术文献翻译模型,支持多种主流文档格式。

立即体验