Department of Hematology, Hospital del Mar, Barcelona, Spain.
Applied Clinical Research in Hematological Malignancies, Hospital del Mar Medical Research Institute (IMIM), Barcelona, Spain.
Front Immunol. 2022 Jan 10;12:798251. doi: 10.3389/fimmu.2021.798251. eCollection 2021.
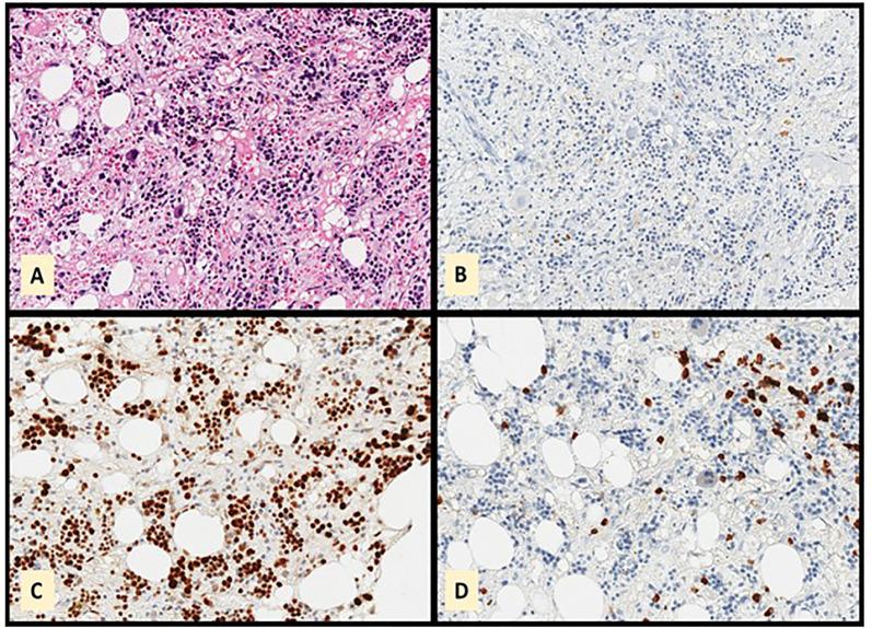
Late onset neutropenia (LON) related to rituximab or rituximab plus chemotherapy is defined as an unexplained absolute neutrophil count of ≤1.5 × 10/L starting at least four weeks after the last rituximab administration. LON is infrequent and its pathophysiology remains unknown. There are no guidelines or consensus strategies for the optimal management of patients developing LON. The majority of the patients recover promptly with no specific treatment and only some cases need to be managed with granulocytic colony stimulating factor (G-CSF), usually with a rapid response. Here, we describe a 69-year-old patient with Waldenström's macroglobulinemia who presented a septic event in the context of severe LON after rituximab plus bendamustine. The diagnosed of agranulocytosis was established by bone marrow examination. Interestingly, anti-neutrophil antibodies bound to the patient's granulocytes were found suggesting an autoimmune mechanism. The patient did not respond to G-CSF but achieved a rapid response after high doses of intravenous immunoglobulins with full white blood cell recovery.
利妥昔单抗或利妥昔单抗联合化疗相关的迟发性中性粒细胞减少症(LON)定义为在最后一次利妥昔单抗给药后至少 4 周,出现不明原因的绝对中性粒细胞计数≤1.5×10/L。LON 不常见,其病理生理学仍不清楚。对于发生 LON 的患者,没有最佳管理的指南或共识策略。大多数患者在没有特定治疗的情况下迅速恢复,只有少数情况下需要使用粒细胞集落刺激因子(G-CSF)治疗,通常反应迅速。在这里,我们描述了一例 69 岁患有 Waldenström 巨球蛋白血症的患者,在利妥昔单抗联合苯达莫司汀后出现严重 LON 合并感染性休克。通过骨髓检查确诊为粒细胞减少症。有趣的是,发现患者的中性粒细胞上结合了抗中性粒细胞抗体,提示存在自身免疫机制。该患者对 G-CSF 无反应,但在大剂量静脉注射免疫球蛋白后迅速反应,白细胞完全恢复。