Centre for Youth Bipolar Disorder, Department of Child and Youth Psychiatry, Centre for Addiction and Mental Health, Toronto, Ontario, Canada.
Department of Pharmacology and Toxicology, University of Toronto, Toronto, Ontario, Canada.
Int J Neuropsychopharmacol. 2022 Jun 21;25(6):448-456. doi: 10.1093/ijnp/pyac011.
Bipolar disorder (BD) is associated with elevated body mass index (BMI) and increased rates of obesity. Obesity among individuals with BD is associated with more severe course of illness. Motivated by previous research on BD and BMI in youth as well as brain findings in the reward circuit, the current study investigates differences in cerebral blood flow (CBF) in youth BD with and without comorbid overweight/obesity (OW/OB).
Participants consisted of youth, ages 13-20 years, including BD with OW/OB (BDOW/OB; n = 25), BD with normal weight (BDNW; n = 55), and normal-weight healthy controls (HC; n = 61). High-resolution T1-weighted and pseudo-continuous arterial spin labeling images were acquired using 3 Tesla magnetic resonance imaging. CBF differences were assessed using both region of interest and whole-brain voxel-wise approaches.
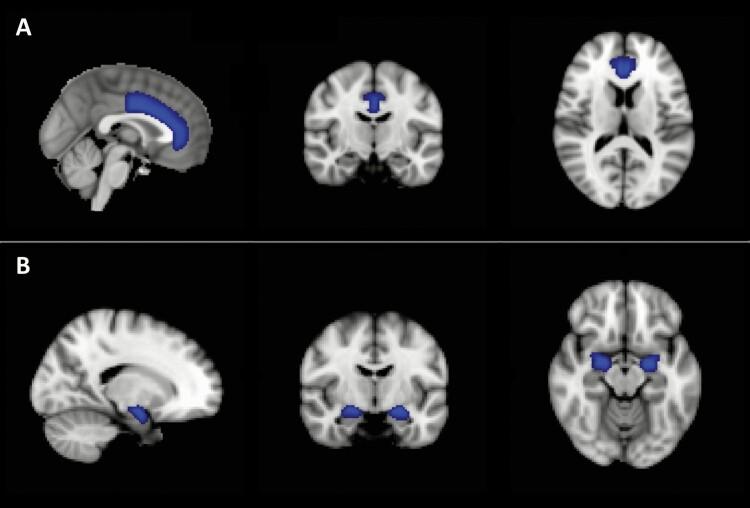
Voxel-wise analysis revealed significantly higher CBF in reward-associated regions in the BDNW group relative to the HC and BDOW/OB groups. CBF did not differ between the HC and BDOW/OB groups. There were no significant region of interest findings.
The current study identified distinct CBF levels relating to BMI in BD in the reward circuit, which may relate to underlying differences in cerebral metabolism, compensatory effects, and/or BD severity. Future neuroimaging studies are warranted to examine for changes in the CBF-OW/OB link over time and in relation to treatment.
双相情感障碍(BD)与体重指数(BMI)升高和肥胖率增加有关。BD 患者的肥胖与更严重的疾病病程有关。鉴于先前关于青少年 BD 和 BMI 的研究以及奖励回路中的大脑发现,本研究调查了伴有和不伴有合并超重/肥胖(OW/OB)的青少年 BD 之间的脑血流(CBF)差异。
参与者包括年龄在 13-20 岁之间的青少年,包括伴有 OW/OB 的 BD(BDOW/OB;n=25)、体重正常的 BD(BDNW;n=55)和体重正常的健康对照组(HC;n=61)。使用 3T 磁共振成像采集高分辨率 T1 加权和伪连续动脉自旋标记图像。使用基于体素和基于感兴趣区的方法评估 CBF 差异。
基于体素的分析显示,BDNW 组与 HC 和 BDOW/OB 组相比,奖励相关区域的 CBF 显著升高。HC 和 BDOW/OB 组之间的 CBF 没有差异。未发现显著的基于感兴趣区的结果。
本研究在奖励回路中确定了与 BD 中 BMI 相关的不同 CBF 水平,这可能与大脑代谢、代偿效应和/或 BD 严重程度的潜在差异有关。未来的神经影像学研究需要检查 CBF-OW/OB 随时间的变化以及与治疗的关系。