Suppr超能文献

纵隔胸椎脊髓肿瘤内镜切除术后发生张力性气颅:一例报告

Tension pneumocephalus following endoscopic resection of a mediastinal thoracic spinal tumor: A case report.

作者信息

Chang Chao-Yuan, Hung Cheng-Che, Liu Ju-Mien, Chiu Cheng-Di

机构信息

Department of Neurosurgery, China Medical University Hospital, Taichung 40447, Taiwan.

Department of Pathology, Puli Christian Hospital, Nantou 54041, Taiwan.

出版信息

World J Clin Cases. 2022 Jan 14;10(2):725-732. doi: 10.12998/wjcc.v10.i2.725.

Abstract

BACKGROUND

Pneumocephalus is a rare complication presenting in the postoperative period of a thoracoscopic operation. We report a case in which tension pneumocephalus occurred after thoracoscopic resection as well as the subsequent approach of surgical management.

CASE SUMMARY

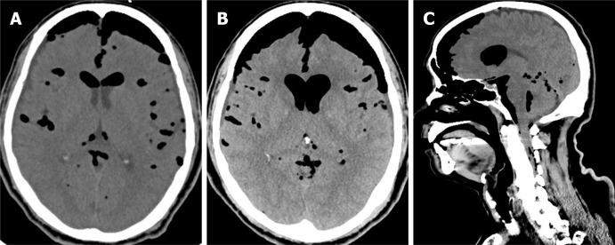
A 66-year-old man who received thoracoscopic resection to remove an intrathoracic, posterior mediastinal, dumbbell-shaped, pathology-proven neurogenic tumor. The patient then reported experiencing progressively severe headaches, especially when in an upright position. A brain computed tomography scan at a local hospital disclosed extensive pneumocephalus. Revision surgery for resection of the pseudomeningocele and repair of the cerebrospinal fluid leakage was thus arranged for the patient. During the operation, we traced the cerebrospinal fluid leakage and found that it might have derived from incomplete endoscopic clipping around the tumor stump near the dural sac at the T3 level. After that, we wrapped and sealed all the possible origins of the leakage with autologous fat, tissue glue, gelfoam, and duraseal layer by layer. The patient recovered well, and the computed tomography images showed resolution of the pneumocephalus.

CONCLUSION

This report and literature review indicated that the risk of developing a tension pneumocephalus cannot be ignored and should be monitored carefully after thoracoscopic tumor resection.

摘要

背景

气颅是胸腔镜手术后罕见的并发症。我们报告一例胸腔镜切除术后发生张力性气颅及后续手术处理方法的病例。

病例摘要

一名66岁男性接受胸腔镜切除术以切除一枚位于胸腔内、后纵隔的哑铃形、病理证实的神经源性肿瘤。患者随后报告头痛逐渐加重,尤其是在直立位时。当地医院的脑部计算机断层扫描显示广泛气颅。因此为患者安排了修复假性脑膜膨出和修复脑脊液漏的翻修手术。手术中,我们追踪脑脊液漏,发现其可能源于T3水平硬脊膜囊附近肿瘤残端周围内镜夹闭不完全。之后,我们用自体脂肪、组织胶、明胶海绵和硬脑膜封闭剂逐层包裹并密封所有可能的漏出部位。患者恢复良好,计算机断层扫描图像显示气颅消失。

结论

本报告及文献复习表明,张力性气颅的发生风险不容忽视,胸腔镜肿瘤切除术后应仔细监测。

https://cdn.ncbi.nlm.nih.gov/pmc/blobs/1edb/8771397/d7df491f6ba7/WJCC-10-725-g001.jpg

文献AI研究员

20分钟写一篇综述,助力文献阅读效率提升50倍。

立即体验

用中文搜PubMed

大模型驱动的PubMed中文搜索引擎

马上搜索

文档翻译

学术文献翻译模型,支持多种主流文档格式。

立即体验