Suppr超能文献

类风湿关节炎合并 EB 病毒感染患者应用甲氨蝶呤后乳腺淋巴增生性疾病自发消退:病例报告及文献复习

Spontaneous regression of breast lymphoproliferative disorders after withdrawal of methotrexate in rheumatoid arthritis patients with Epstein-Barr virus infection: a case report and review of the literature.

机构信息

Department of Breast Surgery, Tokyo Medical and Dental University, 1-5-45 Yushima, Bunkyo-ku, Tokyo, 113-8510, Japan.

Departments of Diagnostic Radiology, Tokyo Medical and Dental University, Tokyo, Japan.

出版信息

J Med Case Rep. 2022 Feb 7;16(1):49. doi: 10.1186/s13256-022-03274-1.

Abstract

BACKGROUND

Lymphoproliferative disorder (LPD) has been shown to occur after treatment with methotrexate (MTX). Currently, MTX-LPD has become widely recognized, but its mechanism and prognostic factors remain unclear.

CASE PRESENTATION

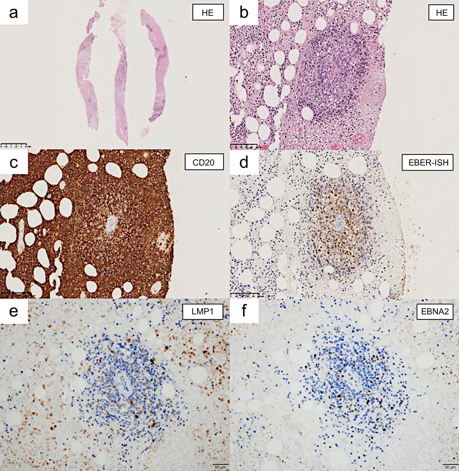
We report the first case of Epstein-Barr virus (EBV)-associated MTX-LPD of the breast. A 63-year-old Asian woman with long-term rheumatoid arthritis presented to our facility with intermittent fever. A physical examination revealed a 3-cm lump in her left breast. She had been taking MTX for the past 15 years. Laboratory studies revealed slightly elevated levels of EBV-viral capsid antigen antibody immunoglobulin G and EBV nuclear antibody. Contrast-enhanced computer tomography revealed a mass in the left breast, a subcutaneous nodule in the abdomen, a mass in the left lung, and a nodule in the left retroperitoneum. The definitive diagnosis was consistent with MTX-LPD merging into an EBV-positive, diffuse large B-cell lymphoma. Six months following the withdrawal of MTX, the breast mass had markedly shrunk and the patient remained in good health for 1 year with no evidence of relapse of LPD.

CONCLUSION

MTX-LPD rarely occurs in the breast, and it is difficult to diagnose because there have only been six reported cases of breast MTX-LPD reported in the literature. EBV-positive MTX-LPD tends to regress spontaneously after MTX withdrawal, and our case also had similar results. It is important to make an appropriate diagnosis of MTX-LPD of the breast based on imaging and pathology to determine the appropriate treatment protocol for this rare disorder.

摘要

背景

已证实甲氨蝶呤(MTX)治疗后会发生淋巴增生性疾病(LPD)。目前,MTX-LPD 已被广泛认识,但发病机制和预后因素仍不清楚。

病例介绍

我们报告首例乳腺 MTX-LPD 合并 EBV 感染。一位 63 岁的亚洲女性患有长期类风湿关节炎,因间歇性发热就诊。体格检查发现左侧乳房有一个 3cm 的肿块。她在过去 15 年里一直服用 MTX。实验室研究显示 EBV 衣壳抗原抗体 IgG 和 EBV 核抗体略有升高。增强计算机断层扫描显示左乳有一个肿块,腹部有一个皮下结节,左肺有一个肿块,左腹膜后有一个结节。明确诊断为 MTX-LPD 合并 EBV 阳性弥漫性大 B 细胞淋巴瘤。停用 MTX 6 个月后,乳腺肿块明显缩小,患者健康状况良好 1 年,无 LPD 复发迹象。

结论

MTX-LPD 很少发生在乳腺,并且由于文献中仅有 6 例乳腺 MTX-LPD 的报道,因此难以诊断。EBV 阳性 MTX-LPD 在停用 MTX 后往往会自发消退,我们的病例也有类似的结果。根据影像学和病理学做出适当的乳腺 MTX-LPD 诊断,对于这种罕见疾病确定合适的治疗方案很重要。

https://cdn.ncbi.nlm.nih.gov/pmc/blobs/36ae/8819973/e95c00868999/13256_2022_3274_Fig1_HTML.jpg

文献AI研究员

20分钟写一篇综述,助力文献阅读效率提升50倍。

立即体验

用中文搜PubMed

大模型驱动的PubMed中文搜索引擎

马上搜索

文档翻译

学术文献翻译模型,支持多种主流文档格式。

立即体验