Suppr超能文献

肾移植受者中的供体来源的尿路上皮癌

Donor-Derived Urothelial Carcinoma in Renal Transplant Recipients.

作者信息

Qian Zhiyu, Chou Emily, Yang Jing, Zhang Hanwei, Ye HuiHui, Liu Sandy T, Chin Arnold I

机构信息

Division of Urology, Brigham and Women's Hospital, Harvard Medical School, USA.

Department of Urology, David Geffen School of Medicine at UCLA, USA.

出版信息

Case Rep Urol. 2022 Jan 29;2022:3353268. doi: 10.1155/2022/3353268. eCollection 2022.

Abstract

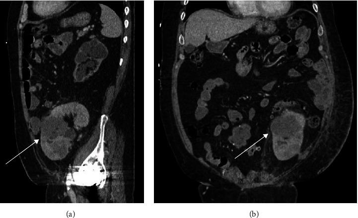
Cancer is a significant cause of morbidity and mortality in recipients of renal transplantation. The vast majority develop from recipient origins, whereas donor-derived malignancies are exceedingly rare. We report 2 cases of poorly differentiated donor-derived urothelial carcinoma (UC) in renal transplantation recipients. The first patient underwent a living-related-donor renal transplantation 24 years prior and presented with back pain, hematuria, and rising creatinine and was found to have a 14 cm mass in the renal allograft with regional lymphadenopathy and liver metastases. Pathology showed UC with small-cell differentiation. The second patient presented with hematuria and rising creatinine and was initially found to have muscle invasive bladder cancer seven years after a deceased donor renal transplantation. Nine months after radical cystectomy, a large 9 cm mass was found on his allograft, for which radical nephrectomy and excision of prior ileal conduit was performed. Pathology showed UC with sarcomatoid differentiation. Short tandem repeat (STR) genotyping confirmed donor-derived origins. Both patient tumors expressed PD-L1 suggesting an additional therapeutic avenue for these rare tumors.

摘要

癌症是肾移植受者发病和死亡的重要原因。绝大多数癌症起源于受者,而供体来源的恶性肿瘤极为罕见。我们报告了2例肾移植受者中低分化供体来源的尿路上皮癌(UC)病例。首例患者24年前接受了亲属活体供肾移植,出现背痛、血尿和肌酐升高,在移植肾中发现一个14厘米的肿块,伴有区域淋巴结病和肝转移。病理显示为小细胞分化的UC。第二例患者出现血尿和肌酐升高,在接受尸体供肾移植7年后最初被发现患有肌层浸润性膀胱癌。根治性膀胱切除术后9个月,在其移植肾中发现一个9厘米的大肿块,为此进行了根治性肾切除术和先前回肠导管切除术。病理显示为肉瘤样分化的UC。短串联重复序列(STR)基因分型证实了供体来源。两名患者的肿瘤均表达PD-L1,提示这些罕见肿瘤有额外的治疗途径。

https://cdn.ncbi.nlm.nih.gov/pmc/blobs/fd14/8817887/e782b10552d8/CRIU2022-3353268.001.jpg

文献AI研究员

20分钟写一篇综述,助力文献阅读效率提升50倍。

立即体验

用中文搜PubMed

大模型驱动的PubMed中文搜索引擎

马上搜索

文档翻译

学术文献翻译模型,支持多种主流文档格式。

立即体验