Suppr超能文献

氯吡格雷引起的嗜酸性粒细胞增多伴高钙血症。

Clopidogrel-induced Eosinophilia with Hypercalcemia.

机构信息

Department of Respiratory Medicine, Osaka Metropolitan University Graduate School of Medicine, Japan.

出版信息

Intern Med. 2022 Sep 1;61(17):2681-2685. doi: 10.2169/internalmedicine.7830-21. Epub 2022 Feb 8.

Abstract

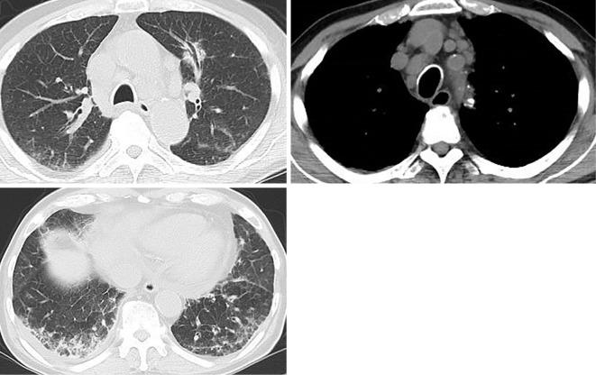
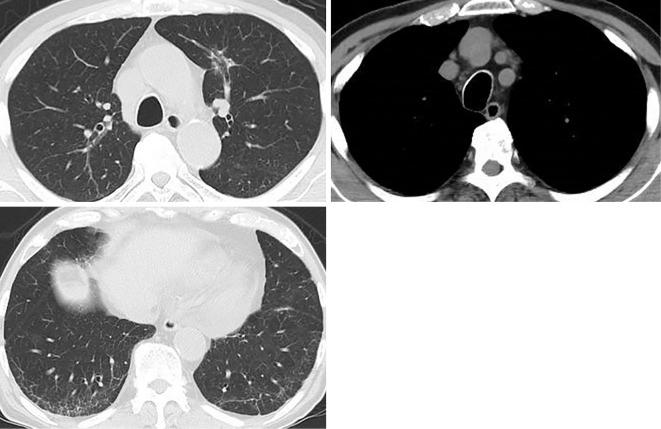
There are few cases describing the association of eosinophilia with hypercalcemia, and drug-induced eosinophilia with hypercalcemia has not been reported. A 74-year-old man had been diagnosed with asthma 4 months earlier. He was admitted due to eosinophilia with hypercalcemia. Chest computed tomography showed a nodule in the left lung and mediastinal lymphadenopathy. By obtaining a detailed medical history, clopidogrel was suspected as the prime cause of eosinophilia. After the discontinuation of clopidogrel, the eosinophilia with hypercalcemia, lung nodule and mediastinal lymphadenopathy improved. Clopidogrel-induced eosinophilia can potentially cause hypercalcemia. Obtaining a detailed clinical history is important in diagnosing the cause of eosinophilia.

摘要

目前仅有少数病例描述了嗜酸粒细胞增多与高钙血症之间的关联,而药物引起的嗜酸粒细胞增多与高钙血症尚未见报道。一名 74 岁男性在 4 个月前被诊断患有哮喘。他因嗜酸粒细胞增多伴高钙血症入院。胸部计算机断层扫描显示左肺结节和纵隔淋巴结病。通过详细询问病史,怀疑氯吡格雷是嗜酸粒细胞增多的主要原因。停用氯吡格雷后,嗜酸粒细胞增多伴高钙血症、肺结节和纵隔淋巴结病改善。氯吡格雷引起的嗜酸粒细胞增多可能导致高钙血症。详细的临床病史对于诊断嗜酸粒细胞增多的病因非常重要。

https://cdn.ncbi.nlm.nih.gov/pmc/blobs/a936/9492498/ac5d57513c9d/1349-7235-61-2681-g001.jpg

文献AI研究员

20分钟写一篇综述,助力文献阅读效率提升50倍。

立即体验

用中文搜PubMed

大模型驱动的PubMed中文搜索引擎

马上搜索

文档翻译

学术文献翻译模型,支持多种主流文档格式。

立即体验