Suppr超能文献

在对比增强计算机断层扫描后,移位的可动力注射外周置入中心静脉导管的自我纠正。

Self-correction of a migrated power-injectable peripherally inserted central catheter following contrast-enhanced computed tomography.

作者信息

Nakayama Ryuichi, Bunya Naofumi, Yama Naoya, Nonaka Tatsuki

机构信息

Department of Emergency Medicine Sapporo Medical University Sapporo Japan.

Department of Diagnostic Radiology Sapporo Medical University School of Medicine Sapporo Japan.

出版信息

Clin Case Rep. 2022 Feb 1;10(2):e05385. doi: 10.1002/ccr3.5385. eCollection 2022 Feb.

Abstract

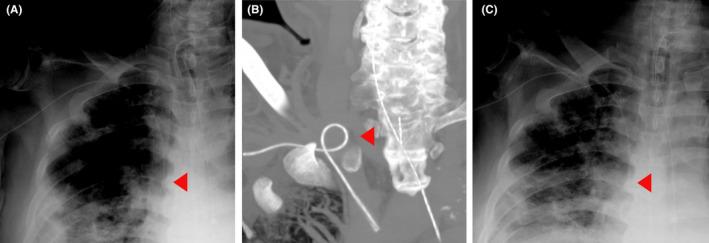
The use of power-injectable peripherally inserted central catheter (PIPICC) is a common practice, but displacement of these lines following injection of contrast media has been reported in 15.4% of cases. This report presents imaging evidence of displacement and self-correction of a PIPICC line following contrast-enhanced computed tomography.

摘要

使用可动力注射的外周静脉穿刺中心静脉导管(PIPICC)是一种常见的做法,但据报道,在注射造影剂后,这些导管移位的情况在15.4%的病例中出现。本报告展示了在对比增强计算机断层扫描后PIPICC导管移位和自行纠正的影像学证据。

https://cdn.ncbi.nlm.nih.gov/pmc/blobs/a217/8807885/2291f75aa5cf/CCR3-10-e05385-g001.jpg

文献AI研究员

20分钟写一篇综述,助力文献阅读效率提升50倍。

立即体验

用中文搜PubMed

大模型驱动的PubMed中文搜索引擎

马上搜索

文档翻译

学术文献翻译模型,支持多种主流文档格式。

立即体验