Suppr超能文献

Rare case of extra-peritoneal brown fat (hibernoma) mimicking dumbbell-shaped liposarcoma.

作者信息

Kiu Alex, Fung Tiffany, Jung Sungmi, Jaffer Rehana, Martin Marie-Helen

机构信息

Department of Diagnostic Radiology, McGill University Health Center, MontrealQC, Canada.

Department of Pathology, McGill University Health Center, MontrealQC, Canada.

出版信息

BJR Case Rep. 2021 May 12;7(5):20200162. doi: 10.1259/bjrcr.20200162. eCollection 2021 Sep 8.

Abstract

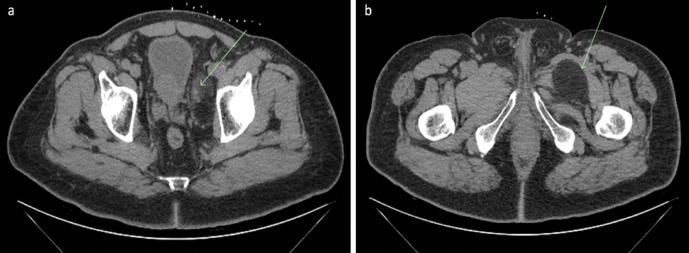
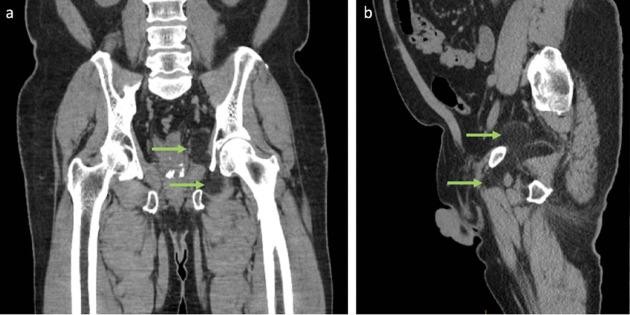
Hibernomas are a very rare and benign soft tissue tumour that originate from brown adipose tissue. While they are not histologically malignant, they may be indistinguishable from aggressive tumours such as liposarcomas on imaging. It is, therefore, important to consider it as a differential diagnosis when a suspicious fatty lesion is seen on imaging. This may prevent unnecessary invasive surgery and patient stress. This paper illustrates the clinical presentation, radiological features, and histological diagnosis of a patient with a rare dumbbell-shaped hibernoma in the pelvis.

摘要
https://cdn.ncbi.nlm.nih.gov/pmc/blobs/24cd/8803248/a5c0d6cfd86f/bjrcr.20200162.g001.jpg

文献AI研究员

20分钟写一篇综述,助力文献阅读效率提升50倍。

立即体验

用中文搜PubMed

大模型驱动的PubMed中文搜索引擎

马上搜索

文档翻译

学术文献翻译模型,支持多种主流文档格式。

立即体验