Suppr超能文献

复杂正畸/修复牙科综合治疗的一期虚拟计划。

One-Stage Virtual Plan of a Complex Orthodontic/Prosthetic Dental Rehabilitation.

机构信息

Dental School, Vita-Salute San Raffaele University, 20132 Milan, Italy.

National Medical Research Centre of Dentistry and Maxillofacial Surgery, 119021 Moscow, Russia.

出版信息

Int J Environ Res Public Health. 2022 Jan 28;19(3):1474. doi: 10.3390/ijerph19031474.

Abstract

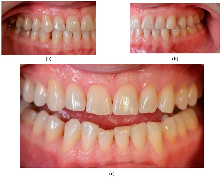
In complex dental treatments, a preliminary virtual plan (VP) can minimise the probability of errors and increase the predictability of the achieved result. Digital technologies and artificial intelligence open more opportunities for such planning, as they can be applied at the early stages of clinical examination to develop a simultaneous VP of all stages of treatment. The present clinical case describes a one-stage entire VP combining all the stages of treatment: gnathological, orthodontic, and prosthetic rehabilitation, until the final result. This approach avoids the accumulation errors associated with multistage VP, in which one stage of planning follows the end of a previous stage. One-step VP also allows demonstrating to the patients the expected results of the restoration, which increases their motivation to initiate the treatment.

摘要

在复杂的牙科治疗中,初步的虚拟计划 (VP) 可以最大程度地降低错误的可能性,并提高预期治疗效果的可预测性。数字技术和人工智能为这种规划提供了更多的机会,因为它们可以在临床检查的早期阶段应用,以开发治疗所有阶段的同时 VP。本临床病例描述了一个结合了所有治疗阶段的单阶段整体 VP:颌学、正畸和修复,直到最终结果。这种方法避免了与多阶段 VP 相关的累积误差,在多阶段 VP 中,一个阶段的规划是在前一个阶段结束后进行的。一步式 VP 还可以向患者展示修复的预期效果,从而提高他们开始治疗的积极性。

https://cdn.ncbi.nlm.nih.gov/pmc/blobs/708c/8835404/f8aa0b08eb06/ijerph-19-01474-g001.jpg

文献AI研究员

20分钟写一篇综述,助力文献阅读效率提升50倍。

立即体验

用中文搜PubMed

大模型驱动的PubMed中文搜索引擎

马上搜索

文档翻译

学术文献翻译模型,支持多种主流文档格式。

立即体验