Suppr超能文献

复杂的阑尾憩室炎。

Complicated appendicular diverticulitis.

机构信息

Department of Medical Imaging, Royal Brisbane and Women's Hospital, Queensland, Australia.

Department of Medical Imaging, Townsville University Hospital, Townsville, Queensland, Australia.

出版信息

J Med Radiat Sci. 2022 Sep;69(3):407-410. doi: 10.1002/jmrs.573. Epub 2022 Feb 23.

Abstract

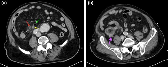
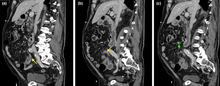
Appendiceal diverticulitis, a frequently underdiagnosed entity, differs from typical appendicitis by the presence of an inflamed appendiceal diverticulum. Appendiceal diverticulitis is a surgical emergency which has an increased risk of perforation compared to typical appendicitis. We will discuss a surgically and pathologically confirmed case of complicated appendiceal diverticulitis and its management implications.

摘要

阑尾憩室炎是一种经常被漏诊的疾病,其特征是发炎的阑尾憩室。与典型的阑尾炎相比,阑尾憩室炎是一种手术急症,穿孔的风险增加。我们将讨论一例经手术和病理证实的复杂阑尾憩室炎病例及其处理意义。

https://cdn.ncbi.nlm.nih.gov/pmc/blobs/76a1/9442316/07a98193a96e/JMRS-69-407-g001.jpg

文献AI研究员

20分钟写一篇综述,助力文献阅读效率提升50倍。

立即体验

用中文搜PubMed

大模型驱动的PubMed中文搜索引擎

马上搜索

文档翻译

学术文献翻译模型,支持多种主流文档格式。

立即体验