Suppr超能文献

阑尾憩室炎会误诊为急性阑尾炎吗?

Is Appendiceal Diverticulitis Mimicking Acute Appendicitis?

作者信息

AlAli Mohammed N, Alsweed Nardeen I, Alshehri Ameen, Essa Mohamed S, Aldeghaither Saud K, Meaigel Mohammad A, Alrashed Muath, Al-Shoaibi Abdulbaset M, Amer Sadiq M, Alsubaih Mohammed H

机构信息

Department of Surgery, Prince Mohammed Bin Abdulaziz Hospital, Ministry of Health (MOH), Riyadh, SAU.

Department of Clinical Surgery, College of Medicine, Princess Nourah Bint Abdulrahman University, Riyadh, SAU.

出版信息

Cureus. 2023 Dec 28;15(12):e51214. doi: 10.7759/cureus.51214. eCollection 2023 Dec.

Abstract

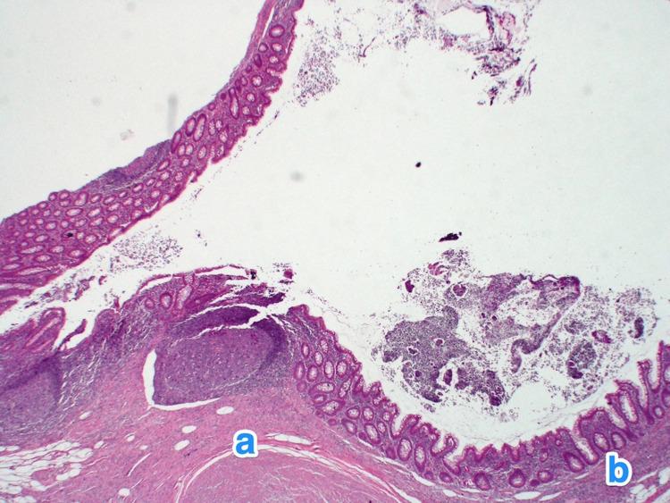
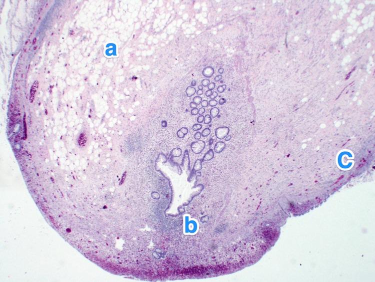
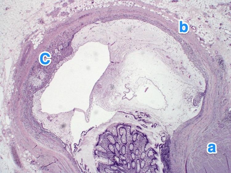
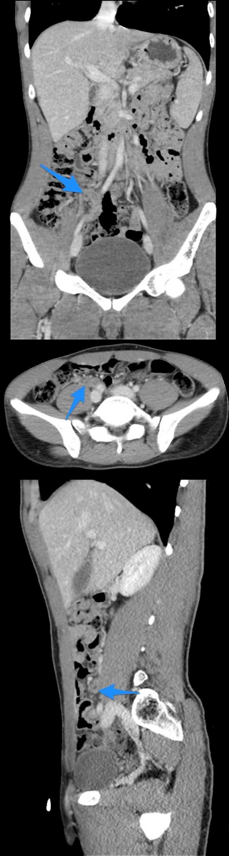
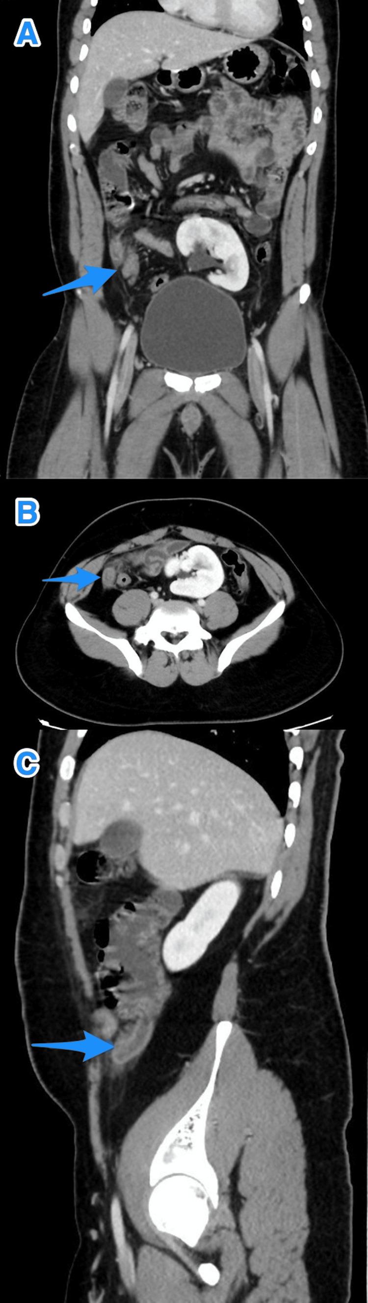
Appendicular diverticulitis (AD) is a rare entity characterized by the inflammation of the arising diverticulum of the appendix. It has been reported to carry a high risk of perioperative complications, such as bleeding and perforation. Furthermore, multiple articles have highlighted the importance of diagnosing AD early due to its strong association with malignancies. Limited published cases concerning AD in our country and globally are available in the literature. Hence, we present in this article a case series of five exciting cases of incidental findings of AD that were initially diagnosed as acute appendicitis based on clinical evaluation and imaging findings. In our series, we performed a retrograde evaluation of the computed tomography scans of all five cases that showed diverticula. In conclusion, histopathological evaluation remains the method of choice to reach the definitive diagnosis; however, it is essential to highlight the relevance of imaging in diagnosing AD preoperatively in the early stages to reduce morbidity and mortality.

摘要

阑尾憩室炎(AD)是一种罕见的疾病,其特征为阑尾起始部憩室的炎症。据报道,它具有较高的围手术期并发症风险,如出血和穿孔。此外,多篇文章强调了早期诊断AD的重要性,因为它与恶性肿瘤密切相关。我国和全球关于AD的已发表病例有限。因此,我们在本文中呈现了一组五例令人关注的AD偶然发现病例,这些病例最初根据临床评估和影像学检查结果被诊断为急性阑尾炎。在我们的系列病例中,我们对所有五例显示憩室的计算机断层扫描进行了回顾性评估。总之,组织病理学评估仍然是确诊的首选方法;然而,必须强调影像学在早期术前诊断AD中的相关性,以降低发病率和死亡率。

https://cdn.ncbi.nlm.nih.gov/pmc/blobs/d58b/10819125/d23e473aebe5/cureus-0015-00000051214-i01.jpg

文献AI研究员

20分钟写一篇综述,助力文献阅读效率提升50倍。

立即体验

用中文搜PubMed

大模型驱动的PubMed中文搜索引擎

马上搜索

文档翻译

学术文献翻译模型,支持多种主流文档格式。

立即体验